Suppr超能文献

在劳氏肉瘤病毒颗粒中鉴定出一种包装的细胞信使核糖核酸。

Identification of a packaged cellular mRNA in virions of rous sarcoma virus.

作者信息

Adkins B, Hunter T

出版信息

J Virol. 1981 Aug;39(2):471-80. doi: 10.1128/JVI.39.2.471-480.1981.

Abstract

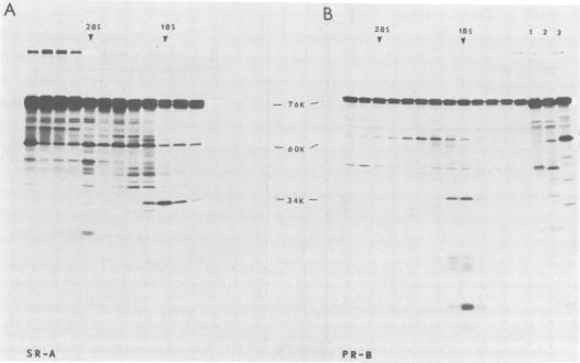
A novel messenger activity has been identified by in vitro translation of the 70S virion RNAs of a variety of avian leukosis and avian sarcoma viruses. When the 70S virion RNA complex was heat dissociated and the polyadenylated RNA was fractionated on neutral sucrose gradients, a polypeptide of 34,000 daltons (34K) was observed in the translation products of 18S polyadenylic acid-containing virion RNA. Aside from the p60(src)-related subgenomic messenger activities, this was the only prominent messenger activity that sedimented at <20S. It was determined that the 34K protein was not virally coded because (i) messenger activity for the 34K protein was not generated by mild alkaline hydrolysis of 35S genomic RNA, (ii) the 34K proteins synthesized in response to different virion RNAs had identical tryptic peptide maps, and (iii) the tryptic peptide map of the 34K protein coded for by virion RNA was identical to that of a major in vitro translation product of 34,000 daltons made from 18S uninfected chick cell polyadenylated RNA. The 18S RNA was shown to be contained within virion particles, rather than part of a cellular structure copurifying with virus preparations, by demonstrating the presence of 34K messenger activity in virion cores made from detergent-disrupted virus. This cellular mRNA, however, was not observed in the virion RNAs of Rous-associated virus types 0 and 2 avian leukosis viruses and therefore is not packaged by all avian retroviruses. Since no other cellular message has been detected by this assay, it seems likely that the 34K mRNA found in 70S virion RNA is the result of selective packaging of an abundant host cell mRNA by certain avian retroviruses.

摘要

通过对多种禽白血病病毒和禽肉瘤病毒的70S病毒粒子RNA进行体外翻译,已鉴定出一种新的信使活性。当70S病毒粒子RNA复合物经热解离,且多聚腺苷酸化RNA在中性蔗糖梯度上分级分离时,在含18S多聚腺苷酸的病毒粒子RNA的翻译产物中观察到一种34,000道尔顿(34K)的多肽。除了与p60(src)相关的亚基因组信使活性外,这是唯一一种沉降系数小于20S的显著信使活性。已确定34K蛋白不是病毒编码的,因为:(i)35S基因组RNA经温和碱性水解不会产生34K蛋白的信使活性;(ii)针对不同病毒粒子RNA合成的34K蛋白具有相同的胰蛋白酶肽图;(iii)病毒粒子RNA编码的34K蛋白的胰蛋白酶肽图与由18S未感染鸡细胞多聚腺苷酸化RNA产生的34,000道尔顿的主要体外翻译产物的肽图相同。通过证明由去污剂破坏的病毒制成的病毒核心中存在34K信使活性,表明18S RNA存在于病毒粒子内,而不是与病毒制剂共纯化的细胞结构的一部分。然而,在劳斯相关病毒0型和2型禽白血病病毒的病毒粒子RNA中未观察到这种细胞mRNA,因此并非所有禽逆转录病毒都会包装它。由于通过该检测未检测到其他细胞信息,70S病毒粒子RNA中发现的34K mRNA似乎是某些禽逆转录病毒选择性包装丰富的宿主细胞mRNA的结果。

https://cdn.ncbi.nlm.nih.gov/pmc/blobs/7cb7/171357/4b7c0fdbb4ea/jvirol00008-0151-a.jpg

文献AI研究员

20分钟写一篇综述,助力文献阅读效率提升50倍。

立即体验

用中文搜PubMed

大模型驱动的PubMed中文搜索引擎

马上搜索

文档翻译

学术文献翻译模型,支持多种主流文档格式。

立即体验