Suppr超能文献

大鼠T细胞白血病中的睾丸浸润、复发及脑膜受累情况

Testicular invasion and relapse and meningeal involvement in a rat T-cell leukaemia.

作者信息

Jackson H, Jackson N C, Bock M, Lendon M

出版信息

Br J Cancer. 1984 Nov;50(5):617-24. doi: 10.1038/bjc.1984.228.

Abstract

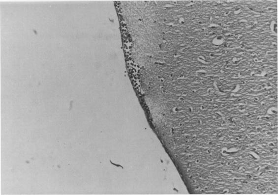
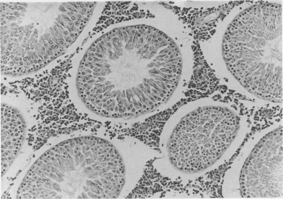
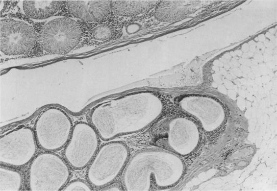
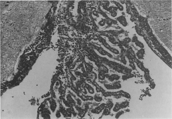
During the haematogenous dissemination of this acute rat T-cell (Roser) leukaemia, infiltration of both epididymal and testicular interstitial tissue has now been demonstrated, probably as an invariable occurrence. The gonadal duct system itself was not invaded. In contrast to an earlier histopathological study with this leukaemia, meningeal invasion has also been encountered during routine passage. Furthermore, subsequent to remissions induced by carmustine (BCNU), relapse could occur as long as 80 days after the 20 day end point in control animals. This was associated with extensive infiltration of the meninges as well as in the male gonadal interstitium, the proximal epididymis being particularly vulnerable. Two doses of carmustine at intervals of one week could eradicate the disease even during the phase of logarithmic growth of the leukaemic cells, this result depending upon the level of treatment and time of dosing post-inoculation with leukaemic cells. Females carrying the disease were shown to be more readily cured than males, probably related to entry of leukaemia cells into the gonadal interstitium. This T-cell leukaemia appears to be an excellent model for the study and prospective chemotherapy of testicular relapse in acute lymphoblastic leukaemia.

摘要

在这种急性大鼠T细胞(罗泽)白血病经血行播散期间,现已证实附睾和睾丸间质组织均有浸润,这可能是一种必然现象。性腺导管系统本身未受侵犯。与此前对这种白血病的组织病理学研究不同,在常规传代过程中也发现了脑膜浸润。此外,在卡莫司汀(BCNU)诱导缓解后,在对照动物20天终点后长达80天仍可能发生复发。这与脑膜以及男性性腺间质的广泛浸润有关,近端附睾尤其易受影响。即使在白血病细胞对数生长期,每隔一周给予两剂卡莫司汀也可根除疾病,这一结果取决于治疗水平和接种白血病细胞后的给药时间。携带该疾病的雌性比雄性更容易治愈,这可能与白血病细胞进入性腺间质有关。这种T细胞白血病似乎是研究急性淋巴细胞白血病睾丸复发及进行前瞻性化疗的理想模型。

https://cdn.ncbi.nlm.nih.gov/pmc/blobs/0c11/1976988/329537ac781e/brjcancer00109-0040-a.jpg

文献检索

告别复杂PubMed语法,用中文像聊天一样搜索,搜遍4000万医学文献。AI智能推荐,让科研检索更轻松。

立即免费搜索

文件翻译

保留排版,准确专业,支持PDF/Word/PPT等文件格式,支持 12+语言互译。

免费翻译文档

深度研究

AI帮你快速写综述,25分钟生成高质量综述,智能提取关键信息,辅助科研写作。

立即免费体验