Suppr超能文献

拉塞尔小体的免疫球蛋白性质。

The immunoglobulin nature of Russell bodies.

作者信息

Matthews J B

出版信息

Br J Exp Pathol. 1983 Jun;64(3):331-5.

Abstract

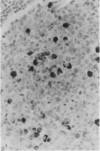
Although Russell bodies have been widely regarded as aggregates of immunoglobulin (Ig) their true nature remains controversial. This report reinvestigates the Ig reactivity of Russell bodies using an immunoperoxidase technique to detect IgG, IgA, IgM, kappa and lambda light chains and J chain on formalin fixed paraffin embedded tissue. Both intracellular and extracellular Russell bodies stained for Ig heavy and light chain determinants. Generally staining was most intense at the surface of these structures although many appeared to have detectable Ig determinants within the Russell body cores. The results suggest that Russell bodies, irrespective of size or site, are associated with intact Ig molecules.

摘要

尽管拉塞尔小体一直被广泛认为是免疫球蛋白(Ig)的聚集体,但其真实性质仍存在争议。本报告使用免疫过氧化物酶技术,对福尔马林固定石蜡包埋组织中的IgG、IgA、IgM、κ和λ轻链以及J链进行检测,从而重新研究拉塞尔小体的Ig反应性。细胞内和细胞外的拉塞尔小体均显示出Ig重链和轻链决定簇的染色。一般来说,这些结构表面的染色最为强烈,尽管许多拉塞尔小体核心内部似乎也有可检测到的Ig决定簇。结果表明,无论大小或位置如何,拉塞尔小体都与完整的Ig分子相关。

https://cdn.ncbi.nlm.nih.gov/pmc/blobs/960b/2040673/0a3f6486f6e2/brjexppathol00099-0098-a.jpg

文献检索

告别复杂PubMed语法,用中文像聊天一样搜索,搜遍4000万医学文献。AI智能推荐,让科研检索更轻松。

立即免费搜索

文件翻译

保留排版,准确专业,支持PDF/Word/PPT等文件格式,支持 12+语言互译。

免费翻译文档

深度研究

AI帮你快速写综述,25分钟生成高质量综述,智能提取关键信息,辅助科研写作。

立即免费体验