• 文献检索
  • 文档翻译
  • 深度研究
  • 学术资讯
  • Suppr Zotero 插件Zotero 插件
  • 邀请有礼
  • 套餐&价格
  • 历史记录
应用&插件
Suppr Zotero 插件Zotero 插件浏览器插件Mac 客户端Windows 客户端微信小程序
定价
高级版会员购买积分包购买API积分包
服务
文献检索文档翻译深度研究API 文档MCP 服务
关于我们
关于 Suppr公司介绍联系我们用户协议隐私条款
关注我们

Suppr 超能文献

核心技术专利:CN118964589B侵权必究
粤ICP备2023148730 号-1Suppr @ 2026

文献检索

告别复杂PubMed语法,用中文像聊天一样搜索,搜遍4000万医学文献。AI智能推荐,让科研检索更轻松。

立即免费搜索

文件翻译

保留排版,准确专业,支持PDF/Word/PPT等文件格式,支持 12+语言互译。

免费翻译文档

深度研究

AI帮你快速写综述,25分钟生成高质量综述,智能提取关键信息,辅助科研写作。

立即免费体验

单克隆抗体可检测正常和营养不良的人类骨骼肌中的一种血影蛋白样蛋白。

Monoclonal antibodies detect a spectrin-like protein in normal and dystrophic human skeletal muscle.

作者信息

Appleyard S T, Dunn M J, Dubowitz V, Scott M L, Pittman S J, Shotton D M

出版信息

Proc Natl Acad Sci U S A. 1984 Feb;81(3):776-80. doi: 10.1073/pnas.81.3.776.

DOI:10.1073/pnas.81.3.776
PMID:6583676
原文链接:https://pmc.ncbi.nlm.nih.gov/articles/PMC344919/
Abstract

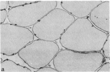
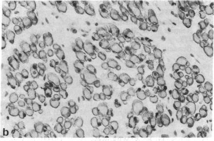
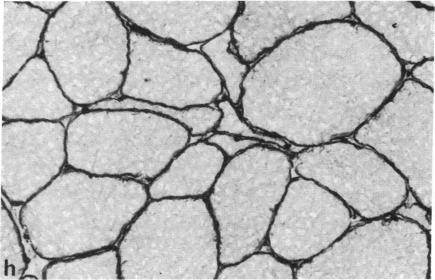
Spectrin is the major protein of the erythrocyte membrane skeleton, which is bound to the cytoplasmic surface of the membrane's lipid bilayer and is responsible for cell shape and membrane elasticity. Inability to identify spectrin in other cell types led to the assumption that this protein was unique to erythrocytes. However, spectrin-like proteins have been demonstrated recently in a variety of cell types, including skeletal and cardiac muscle, in several species. We used monoclonal antibodies against human erythrocyte spectrin subunits in an immunocytochemical study to detect related proteins in normal and diseased human skeletal muscle. Six of seven monoclonal antibodies against beta-spectrin determinants were bound at the cytoplasmic surface of muscle fiber plasma membranes, whereas none of six monoclonal antibodies against alpha-spectrin determinants was bound. Muscle fibers of patients with neuromuscular diseases showed similar distribution and specificity of antibody binding to those of normal subjects, but the intensity of binding was increased. In contrast, probable regenerating fibers in muscle of patients with muscular dystrophies showed reduced binding of antibodies, but reduced binding was not seen in fetal muscle fibers nor in those of a patient with a myotubular myopathy. We conclude that human skeletal muscle fibers possess a spectrin-related protein associated with their plasma membrane that shows extensive beta-chain similarities to erythrocyte spectrin but differs significantly with respect to the alpha-subunit. Its function may be associated with the maintenance of membrane and myofibril integrity during contraction, and the increased antibody binding in diseased muscle may reflect a structural rearrangement of spectrin or a compensatory increase in spectrin abundance in response to increased stress on these systems.

摘要

血影蛋白是红细胞膜骨架的主要蛋白质,它与膜脂双层的细胞质表面结合,负责细胞形状和膜弹性。在其他细胞类型中未能鉴定出血影蛋白,导致人们认为这种蛋白质是红细胞特有的。然而,最近在包括骨骼肌和心肌在内的多种细胞类型中,在几个物种中都发现了血影蛋白样蛋白。我们在一项免疫细胞化学研究中使用针对人红细胞血影蛋白亚基的单克隆抗体,来检测正常和患病的人骨骼肌中的相关蛋白。针对β-血影蛋白决定簇的七种单克隆抗体中有六种与肌纤维质膜的细胞质表面结合,而针对α-血影蛋白决定簇的六种单克隆抗体均未结合。神经肌肉疾病患者的肌纤维显示出与正常受试者相似的抗体结合分布和特异性,但结合强度增加。相比之下,肌营养不良症患者肌肉中可能正在再生的纤维显示出抗体结合减少,但在胎儿肌纤维或患有肌管性肌病的患者的肌纤维中未观察到结合减少。我们得出结论,人骨骼肌纤维拥有一种与其质膜相关的血影蛋白相关蛋白,该蛋白与红细胞血影蛋白在β链上有广泛的相似性,但在α亚基方面有显著差异。其功能可能与收缩过程中膜和肌原纤维完整性的维持有关,患病肌肉中抗体结合增加可能反映了血影蛋白的结构重排或血影蛋白丰度的代偿性增加,以应对这些系统上增加的压力。

https://cdn.ncbi.nlm.nih.gov/pmc/blobs/0edf/344919/b82d855b71d1/pnas00604-0139-a.jpg
https://cdn.ncbi.nlm.nih.gov/pmc/blobs/0edf/344919/6d9f8248bd7a/pnas00604-0137-a.jpg
https://cdn.ncbi.nlm.nih.gov/pmc/blobs/0edf/344919/2332057f7980/pnas00604-0137-b.jpg
https://cdn.ncbi.nlm.nih.gov/pmc/blobs/0edf/344919/7934e6032dd0/pnas00604-0137-c.jpg
https://cdn.ncbi.nlm.nih.gov/pmc/blobs/0edf/344919/38a30ac6beda/pnas00604-0137-d.jpg
https://cdn.ncbi.nlm.nih.gov/pmc/blobs/0edf/344919/d5810615a24e/pnas00604-0137-e.jpg
https://cdn.ncbi.nlm.nih.gov/pmc/blobs/0edf/344919/cec710e02378/pnas00604-0137-f.jpg
https://cdn.ncbi.nlm.nih.gov/pmc/blobs/0edf/344919/e6b695a25588/pnas00604-0138-a.jpg
https://cdn.ncbi.nlm.nih.gov/pmc/blobs/0edf/344919/7d106c6dc8eb/pnas00604-0138-b.jpg
https://cdn.ncbi.nlm.nih.gov/pmc/blobs/0edf/344919/24200e83cd9a/pnas00604-0138-c.jpg
https://cdn.ncbi.nlm.nih.gov/pmc/blobs/0edf/344919/48ec40eb9c83/pnas00604-0138-d.jpg
https://cdn.ncbi.nlm.nih.gov/pmc/blobs/0edf/344919/67bde2ea754b/pnas00604-0138-e.jpg
https://cdn.ncbi.nlm.nih.gov/pmc/blobs/0edf/344919/6c48ea02dfce/pnas00604-0138-f.jpg
https://cdn.ncbi.nlm.nih.gov/pmc/blobs/0edf/344919/fd70a09365a8/pnas00604-0138-g.jpg
https://cdn.ncbi.nlm.nih.gov/pmc/blobs/0edf/344919/253f3db381c6/pnas00604-0138-h.jpg
https://cdn.ncbi.nlm.nih.gov/pmc/blobs/0edf/344919/b82d855b71d1/pnas00604-0139-a.jpg
https://cdn.ncbi.nlm.nih.gov/pmc/blobs/0edf/344919/6d9f8248bd7a/pnas00604-0137-a.jpg
https://cdn.ncbi.nlm.nih.gov/pmc/blobs/0edf/344919/2332057f7980/pnas00604-0137-b.jpg
https://cdn.ncbi.nlm.nih.gov/pmc/blobs/0edf/344919/7934e6032dd0/pnas00604-0137-c.jpg
https://cdn.ncbi.nlm.nih.gov/pmc/blobs/0edf/344919/38a30ac6beda/pnas00604-0137-d.jpg
https://cdn.ncbi.nlm.nih.gov/pmc/blobs/0edf/344919/d5810615a24e/pnas00604-0137-e.jpg
https://cdn.ncbi.nlm.nih.gov/pmc/blobs/0edf/344919/cec710e02378/pnas00604-0137-f.jpg
https://cdn.ncbi.nlm.nih.gov/pmc/blobs/0edf/344919/e6b695a25588/pnas00604-0138-a.jpg
https://cdn.ncbi.nlm.nih.gov/pmc/blobs/0edf/344919/7d106c6dc8eb/pnas00604-0138-b.jpg
https://cdn.ncbi.nlm.nih.gov/pmc/blobs/0edf/344919/24200e83cd9a/pnas00604-0138-c.jpg
https://cdn.ncbi.nlm.nih.gov/pmc/blobs/0edf/344919/48ec40eb9c83/pnas00604-0138-d.jpg
https://cdn.ncbi.nlm.nih.gov/pmc/blobs/0edf/344919/67bde2ea754b/pnas00604-0138-e.jpg
https://cdn.ncbi.nlm.nih.gov/pmc/blobs/0edf/344919/6c48ea02dfce/pnas00604-0138-f.jpg
https://cdn.ncbi.nlm.nih.gov/pmc/blobs/0edf/344919/fd70a09365a8/pnas00604-0138-g.jpg
https://cdn.ncbi.nlm.nih.gov/pmc/blobs/0edf/344919/253f3db381c6/pnas00604-0138-h.jpg
https://cdn.ncbi.nlm.nih.gov/pmc/blobs/0edf/344919/b82d855b71d1/pnas00604-0139-a.jpg

相似文献

1
Monoclonal antibodies detect a spectrin-like protein in normal and dystrophic human skeletal muscle.单克隆抗体可检测正常和营养不良的人类骨骼肌中的一种血影蛋白样蛋白。
Proc Natl Acad Sci U S A. 1984 Feb;81(3):776-80. doi: 10.1073/pnas.81.3.776.
2
Spatial distribution of beta-spectrin in normal and dystrophic human skeletal muscle.β-血影蛋白在正常和营养不良性人类骨骼肌中的空间分布。
Acta Neuropathol. 1997 Sep;94(3):240-6. doi: 10.1007/s004010050699.
3
Biochemical relationships between muscle and erythrocyte membrane. Interpretations with respect to Duchenne muscular dystrophy.肌肉与红细胞膜之间的生化关系。关于杜氏肌营养不良症的解读
Electroencephalogr Clin Neurophysiol Suppl. 1978(34):463-8.
4
Effect of antibodies to membrane skeletal proteins on the shape of erythrocytes and their ability to respond to shape-modulating agents. Important role of 4.1 protein in the determination/maintenance of the discoid shape of erythrocytes.抗膜骨架蛋白抗体对红细胞形状及其对形状调节因子反应能力的影响。4.1蛋白在决定/维持红细胞盘状形状中的重要作用。
Exp Cell Res. 1995 Jul;219(1):74-81. doi: 10.1006/excr.1995.1206.
5
Immunocytochemical studies of cathepsin D in human skeletal muscle.人骨骼肌中组织蛋白酶D的免疫细胞化学研究。
Ann Neurol. 1983 Feb;13(2):133-42. doi: 10.1002/ana.410130205.
6
Altered alpha1-syntrophin expression in myofibers with Duchenne and Fukuyama muscular dystrophies.杜兴氏和福山型肌营养不良症患者肌纤维中α1-肌养蛋白表达的改变。
Histol Histopathol. 2006 Jan;21(1):23-34. doi: 10.14670/HH-21.23.
7
The distribution of spectrin along the membranes of normal and echinocytic human erythrocytes.血影蛋白在正常人和棘红细胞性人红细胞膜上的分布。
J Cell Sci. 1978 Dec;34:91-101. doi: 10.1242/jcs.34.1.91.
8
Expression of the beta subunit of spectrin in nonerythroid cells.血影蛋白β亚基在非红细胞中的表达。
Proc Natl Acad Sci U S A. 1983 Jan;80(2):363-7. doi: 10.1073/pnas.80.2.363.
9
Dissection of the human erythrocyte spectrin molecule using monoclonal antibodies.利用单克隆抗体对人红细胞血影蛋白分子进行剖析。
EMBO J. 1982;1(4):505-8. doi: 10.1002/j.1460-2075.1982.tb01198.x.
10
Abnormalities in the expression of beta-spectrin in Duchenne muscular dystrophy.杜氏肌营养不良症中β-血影蛋白表达异常。
Neurology. 1994 Jun;44(6):1149-53. doi: 10.1212/wnl.44.6.1149.

引用本文的文献

1
Induction of muscle-regenerative multipotent stem cells from human adipocytes by PDGF-AB and 5-azacytidine.通过血小板衍生生长因子AB(PDGF-AB)和5-氮杂胞苷从人脂肪细胞诱导生成肌肉再生多能干细胞。
Sci Adv. 2021 Jan 13;7(3). doi: 10.1126/sciadv.abd1929. Print 2021 Jan.
2
A sensitive, reproducible and objective immunofluorescence analysis method of dystrophin in individual fibers in samples from patients with duchenne muscular dystrophy.一种用于杜氏肌营养不良症患者样本中单个肌纤维肌营养不良蛋白的灵敏、可重复且客观的免疫荧光分析方法。
PLoS One. 2014 Sep 22;9(9):e107494. doi: 10.1371/journal.pone.0107494. eCollection 2014.
3
Developmental expression of spectrins in rat skeletal muscle.

本文引用的文献

1
An F-actin- and calmodulin-binding protein from isolated intestinal brush borders has a morphology related to spectrin.从分离出的小肠刷状缘中得到的一种F-肌动蛋白和钙调蛋白结合蛋白,其形态与血影蛋白有关。
Cell. 1982 Apr;28(4):843-54. doi: 10.1016/0092-8674(82)90063-0.
2
Actin polymerization induced by calspectin, a calmodulin-binding spectrin-like protein.钙调蛋白结合血影蛋白样蛋白钙视蛋白诱导的肌动蛋白聚合。
FEBS Lett. 1982 Nov 8;148(2):221-5. doi: 10.1016/0014-5793(82)80811-9.
3
Brain spectrin, a membrane-associated protein related in structure and function to erythrocyte spectrin.
血影蛋白在大鼠骨骼肌中的发育表达。
Mol Biol Cell. 1998 Jan;9(1):47-61. doi: 10.1091/mbc.9.1.47.
4
Robert Feulgen Prize Lecture 1995. Electronic light microscopy: present capabilities and future prospects.1995年罗伯特·福尔根奖讲座。电子光学显微镜:当前的能力与未来的前景。
Histochem Cell Biol. 1995 Aug;104(2):97-137. doi: 10.1007/BF01451571.
5
Complementary distributions of vinculin and dystrophin define two distinct sarcolemma domains in smooth muscle.纽蛋白和肌营养不良蛋白的互补分布定义了平滑肌中两个不同的肌膜结构域。
J Cell Biol. 1993 Mar;120(5):1159-67. doi: 10.1083/jcb.120.5.1159.
6
Dystrophin abnormalities in Duchenne and Becker dystrophy carriers: correlation with cytoskeletal proteins and myosins.杜兴氏和贝克氏肌营养不良症携带者的肌营养不良蛋白异常:与细胞骨架蛋白和肌球蛋白的相关性
J Neurol. 1993 Sep;240(8):455-61. doi: 10.1007/BF00874112.
7
Immunocytochemical study of dystrophin in muscle cultures from patients with Duchenne muscular dystrophy and unaffected control patients.对杜氏肌营养不良症患者和未受影响的对照患者的肌肉培养物中肌营养不良蛋白进行免疫细胞化学研究。
Am J Pathol. 1988 Sep;132(3):410-6.
8
Increased concentration of spectrin is observed in avian dystrophic muscle.在禽类营养不良性肌肉中观察到血影蛋白浓度增加。
Proc Natl Acad Sci U S A. 1986 Feb;83(3):802-6. doi: 10.1073/pnas.83.3.802.
9
Asymmetric distribution of dystrophin in developing and adult Torpedo marmorata electrocyte: evidence for its association with the acetylcholine receptor-rich membrane.发育中和成年斑纹电鳐电细胞中肌营养不良蛋白的不对称分布:其与富含乙酰胆碱受体的膜相关联的证据
Proc Natl Acad Sci U S A. 1990 May;87(10):3938-41. doi: 10.1073/pnas.87.10.3938.
10
Localization of dystrophin relative to acetylcholine receptor domains in electric tissue and adult and cultured skeletal muscle.肌营养不良蛋白在电组织以及成年和培养的骨骼肌中相对于乙酰胆碱受体结构域的定位。
J Cell Biol. 1991 Jun;113(5):1133-44. doi: 10.1083/jcb.113.5.1133.
脑血影蛋白,一种在结构和功能上与红细胞血影蛋白相关的膜相关蛋白。
Nature. 1982 Sep 9;299(5879):126-31. doi: 10.1038/299126a0.
4
F-actin-binding and cross-linking properties of porcine brain fodrin, a spectrin-related molecule.猪脑 fodrin(一种与血影蛋白相关的分子)的 F-肌动蛋白结合和交联特性。
J Biol Chem. 1982 Aug 25;257(16):9781-7.
5
Collagen types in neuromuscular diseases.神经肌肉疾病中的胶原类型。
J Neurol Sci. 1982 Jan;53(1):45-62. doi: 10.1016/0022-510x(82)90079-x.
6
Morphological changes in dystrophic muscle.营养不良性肌肉的形态学变化。
Br Med Bull. 1980 May;36(2):145-22. doi: 10.1093/oxfordjournals.bmb.a071630.
7
Erythroid spectrin, brain fodrin, and intestinal brush border proteins (TW-260/240) are related molecules containing a common calmodulin-binding subunit bound to a variant cell type-specific subunit.红细胞血影蛋白、脑肌动蛋白和肠刷状缘蛋白(TW-260/240)是相关分子,它们含有一个与不同细胞类型特异性亚基结合的共同钙调蛋白结合亚基。
Proc Natl Acad Sci U S A. 1982 Jul;79(13):4002-5. doi: 10.1073/pnas.79.13.4002.
8
Identification of a spectrin-like protein in nonerythroid cells.非红细胞中一种血影蛋白样蛋白的鉴定。
Proc Natl Acad Sci U S A. 1981 Dec;78(12):7570-4. doi: 10.1073/pnas.78.12.7570.
9
Expression of spectrin in nonerythroid cells.血影蛋白在非红细胞中的表达。
Cell. 1982 Dec;31(3 Pt 2):505-8. doi: 10.1016/0092-8674(82)90306-3.
10
Location of a protein of the fodrin-spectrin-TW260/240 family in the mouse intestinal brush border.肌动蛋白-血影蛋白-TW260/240家族的一种蛋白质在小鼠小肠刷状缘中的定位。
Cell. 1983 Mar;32(3):953-65. doi: 10.1016/0092-8674(83)90080-6.