Woodhall P B, Tisher C C, Simonton C A, Robinson R R
J Clin Invest. 1978 May;61(5):1320-9. doi: 10.1172/JCI109049.
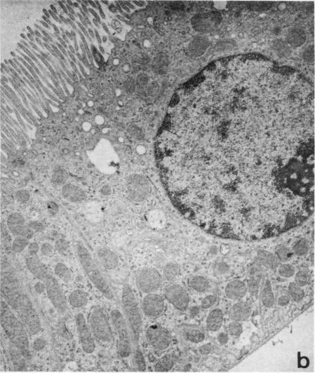
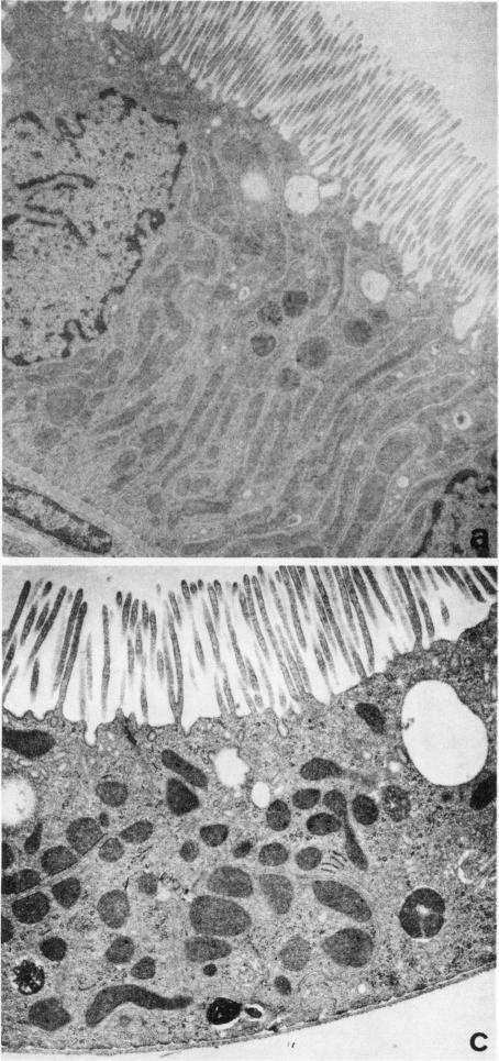
Previous studies in the mammalian proximal tubule have suggested that para-aminohippurate (PAH) secretion is approximately threefold greater in the straight segment, or pars recta, than in the convoluted segment, or pars convoluta. However, the possibility that the site of maximal PAH secretion might be related better to particular tubule segments as identified by cell type had not been explored. In addition, the presence or absence of differences in PAH secretion between morphologically identical regions of superficial (SF) vs. juxtamedullary (JM) proximal tubules has not been examined. These issues were studied using a combination of histologic methods and measurement of [(3)H]PAH secretion in isolated perfused tubules. Measurements of microdissected SF and JM proximal tubules from young and adult rabbits revealed that SF proximal tubules were slightly but significantly longer than JM tubules ([young rabbits: SF, 8.69+/-SE 0.14 mm vs. JM, 7.97+/-SE 0.13 mm; P < 0.01] [adult rabbits: SF, 10.61+/-SE 0.28 mm; JM, 9.17+/-SE 0.19 mm; P < 0.001]). Light and electron microscopy revealed three sequential segments (S(1), S(2), and S(3)) along the length of SF and JM proximal tubules as defined by cell type. PAH secretion was measured in each of these three segments by the isolated perfused tubule technique. Net PAH secretion in fmol/mm per min in SF proximal tubules was: S(1), 281+/-SE 21; S(2), 1,508+/-SE 104; S(3), 318+/-SE 46. Corresponding values in JM proximal tubules were 353+/-SE 31, 1,391+/-SE 72, and 188+/-SE 23. Net PAH secretion did not differ between comparable segments of SF and JM proximal tubules. It is concluded that differences in PAH secretion along the proximal tubule correlate best with cell type rather than the arbitrary division of the proximal tubule into pars convoluta and pars recta according to its external configuration. Evidence of functional heterogeneity between comparable segments of SF and JM proximal tubules was not observed.
以往在哺乳动物近端小管的研究表明,对氨基马尿酸(PAH)在直段(即髓放线)的分泌量比在曲段(即近曲小管)大约高三倍。然而,PAH分泌量最大的部位可能与根据细胞类型确定的特定肾小管节段有更好关联这一可能性尚未得到探究。此外,浅表(SF)与近髓(JM)近端小管形态相同区域之间PAH分泌是否存在差异也未进行过研究。本研究结合组织学方法和对分离灌注小管中[³H]PAH分泌的测量来探讨这些问题。对幼年和成年兔的微切割SF和JM近端小管进行测量发现,SF近端小管比JM小管略长但差异显著([幼年兔:SF,8.69±标准误0.14毫米对JM,7.97±标准误0.13毫米;P<0.01] [成年兔:SF,10.61±标准误0.28毫米;JM,9.17±标准误0.19毫米;P<0.001])。光镜和电镜显示,根据细胞类型,SF和JM近端小管全长有三个连续节段(S₁、S₂和S₃)。通过分离灌注小管技术测量这三个节段中每个节段的PAH分泌。SF近端小管中PAH的净分泌量(fmol/mm每分钟)为:S₁,281±标准误21;S₂,1508±标准误104;S₃,318±标准误46。JM近端小管的相应值为353±标准误31、1391±标准误72和188±标准误23。SF和JM近端小管可比节段之间的PAH净分泌量没有差异。得出的结论是,近端小管中PAH分泌的差异与细胞类型的相关性最好,而不是根据其外部形态将近端小管任意分为近曲小管和髓放线。未观察到SF和JM近端小管可比节段之间功能异质性的证据。