• 文献检索
  • 文档翻译
  • 深度研究
  • 学术资讯
  • Suppr Zotero 插件Zotero 插件
  • 邀请有礼
  • 套餐&价格
  • 历史记录
应用&插件
Suppr Zotero 插件Zotero 插件浏览器插件Mac 客户端Windows 客户端微信小程序
定价
高级版会员购买积分包购买API积分包
服务
文献检索文档翻译深度研究API 文档MCP 服务
关于我们
关于 Suppr公司介绍联系我们用户协议隐私条款
关注我们

Suppr 超能文献

核心技术专利:CN118964589B侵权必究
粤ICP备2023148730 号-1Suppr @ 2026

文献检索

告别复杂PubMed语法,用中文像聊天一样搜索,搜遍4000万医学文献。AI智能推荐,让科研检索更轻松。

立即免费搜索

文件翻译

保留排版,准确专业,支持PDF/Word/PPT等文件格式,支持 12+语言互译。

免费翻译文档

深度研究

AI帮你快速写综述,25分钟生成高质量综述,智能提取关键信息,辅助科研写作。

立即免费体验

正常人骨髓巨噬细胞在液体培养中的分化。电子显微镜检查与细胞化学

Differentiation of macrophages from normal human bone marrow in liquid culture. Electron microscopy and cytochemistry.

作者信息

Bainton D R, Golde D W

出版信息

J Clin Invest. 1978 Jun;61(6):1555-69. doi: 10.1172/JCI109076.

DOI:10.1172/JCI109076
PMID:659615
原文链接:https://pmc.ncbi.nlm.nih.gov/articles/PMC372682/
Abstract

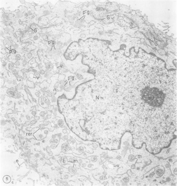
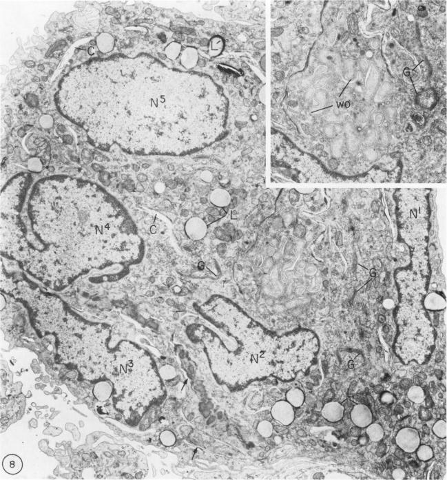
To study the various stages of human mononuclear phagocyte maturation, we cultivated bone marrow in an in vitro diffusion chamber with the cells growing in suspension and upon a dialysis membrane. At 2, 7, and 14 days, the cultured cells were examined by electron microscopy and cytochemical techniques for peroxidase and for more limited analysis of acid phosphatase and arylsulfatase. Peroxidase was being synthesized in promonocytes of 2- and 7-day cultures, as evidenced by reaction product in the rough-surfaced endoplasmic reticulum, Golgi complex, and storage granules. Peroxidase synthesis had ceased in monocytes and the enzyme appeared only in some granules. By 7 days, large macrophages predominated, containing numerous peroxidase-positive storage granules, and heterophagy of dying cells was evident. By 14 days, the most prevalent cell type was the large peroxidase-negative macrophage. Thus, peroxidase is present in high concentrations in immature cells but absent at later stages, presumably a result of degranulation of peroxidase-positive storage granules. Clusters of peroxidase-negative macrophages with indistinct borders (epithelioid cells), as well as obvious multinucleated giant cells, were noted. Frequently, the interdigitating plasma membranes of neighboring macrophages showed a modification resembling a septate junction--to our knowledge, representing the first documentation of this specialized cell contact between normal macrophages. We suggest that such junctions may serve as zones of adhesion between epithelioid cells.

摘要

为了研究人类单核吞噬细胞成熟的各个阶段,我们在体外扩散小室中培养骨髓,细胞在悬浮状态下以及透析膜上生长。在第2天、第7天和第14天,通过电子显微镜和细胞化学技术对培养的细胞进行过氧化物酶检测,并对酸性磷酸酶和芳基硫酸酯酶进行更有限的分析。在培养2天和7天的原单核细胞中可检测到过氧化物酶的合成,粗面内质网、高尔基体复合体和储存颗粒中的反应产物可证明这一点。单核细胞中过氧化物酶的合成已经停止,该酶仅出现在一些颗粒中。到第7天时,大型巨噬细胞占主导地位,含有大量过氧化物酶阳性储存颗粒,并且明显可见对死亡细胞的异噬作用。到第14天时,最普遍的细胞类型是大型过氧化物酶阴性巨噬细胞。因此,过氧化物酶在未成熟细胞中浓度较高,但在后期阶段不存在,推测这是过氧化物酶阳性储存颗粒脱颗粒的结果。注意到边界不清晰的过氧化物酶阴性巨噬细胞簇(上皮样细胞)以及明显的多核巨细胞。相邻巨噬细胞相互交错的质膜经常显示出一种类似于分隔连接的改变——据我们所知,这是正常巨噬细胞之间这种特殊细胞接触的首次记录。我们认为这种连接可能作为上皮样细胞之间的黏附区域。

https://cdn.ncbi.nlm.nih.gov/pmc/blobs/19db/372682/4f01ee8422d3/jcinvest00666-0150-a.jpg
https://cdn.ncbi.nlm.nih.gov/pmc/blobs/19db/372682/1f9838ca6120/jcinvest00666-0151-a.jpg
https://cdn.ncbi.nlm.nih.gov/pmc/blobs/19db/372682/3f48bfd995ab/jcinvest00666-0141-a.jpg
https://cdn.ncbi.nlm.nih.gov/pmc/blobs/19db/372682/8e3f124c159d/jcinvest00666-0143-a.jpg
https://cdn.ncbi.nlm.nih.gov/pmc/blobs/19db/372682/3240668cc535/jcinvest00666-0144-a.jpg
https://cdn.ncbi.nlm.nih.gov/pmc/blobs/19db/372682/11a76dff683a/jcinvest00666-0145-a.jpg
https://cdn.ncbi.nlm.nih.gov/pmc/blobs/19db/372682/9e71eb538f38/jcinvest00666-0146-a.jpg
https://cdn.ncbi.nlm.nih.gov/pmc/blobs/19db/372682/9e2d3dcab0d7/jcinvest00666-0147-a.jpg
https://cdn.ncbi.nlm.nih.gov/pmc/blobs/19db/372682/c0316393a5ce/jcinvest00666-0148-a.jpg
https://cdn.ncbi.nlm.nih.gov/pmc/blobs/19db/372682/08b91e1a6a9b/jcinvest00666-0149-a.jpg
https://cdn.ncbi.nlm.nih.gov/pmc/blobs/19db/372682/4f01ee8422d3/jcinvest00666-0150-a.jpg
https://cdn.ncbi.nlm.nih.gov/pmc/blobs/19db/372682/1f9838ca6120/jcinvest00666-0151-a.jpg
https://cdn.ncbi.nlm.nih.gov/pmc/blobs/19db/372682/3f48bfd995ab/jcinvest00666-0141-a.jpg
https://cdn.ncbi.nlm.nih.gov/pmc/blobs/19db/372682/8e3f124c159d/jcinvest00666-0143-a.jpg
https://cdn.ncbi.nlm.nih.gov/pmc/blobs/19db/372682/3240668cc535/jcinvest00666-0144-a.jpg
https://cdn.ncbi.nlm.nih.gov/pmc/blobs/19db/372682/11a76dff683a/jcinvest00666-0145-a.jpg
https://cdn.ncbi.nlm.nih.gov/pmc/blobs/19db/372682/9e71eb538f38/jcinvest00666-0146-a.jpg
https://cdn.ncbi.nlm.nih.gov/pmc/blobs/19db/372682/9e2d3dcab0d7/jcinvest00666-0147-a.jpg
https://cdn.ncbi.nlm.nih.gov/pmc/blobs/19db/372682/c0316393a5ce/jcinvest00666-0148-a.jpg
https://cdn.ncbi.nlm.nih.gov/pmc/blobs/19db/372682/08b91e1a6a9b/jcinvest00666-0149-a.jpg
https://cdn.ncbi.nlm.nih.gov/pmc/blobs/19db/372682/4f01ee8422d3/jcinvest00666-0150-a.jpg

相似文献

1
Differentiation of macrophages from normal human bone marrow in liquid culture. Electron microscopy and cytochemistry.正常人骨髓巨噬细胞在液体培养中的分化。电子显微镜检查与细胞化学
J Clin Invest. 1978 Jun;61(6):1555-69. doi: 10.1172/JCI109076.
2
Ultrastructural localization of peroxidase in leukocytes of rat bone marrow and blood.过氧化物酶在大鼠骨髓和血液白细胞中的超微结构定位
Anat Rec. 1977 Feb;187(2):219-40. doi: 10.1002/ar.1091870208.
3
Endogenous peroxidase activity in mononuclear phagocytes.单核吞噬细胞中的内源性过氧化物酶活性。
Prog Histochem Cytochem. 1984;15(2):1-58. doi: 10.1016/s0079-6336(84)80003-0.
4
Differentiation of monocytes. Origin, nature, and fate of their azurophil granules.单核细胞的分化。其嗜天青颗粒的起源、性质及命运。
J Cell Biol. 1971 Aug;50(2):498-515. doi: 10.1083/jcb.50.2.498.
5
Long-term culture of human bone marrow macrophages: macrophage development is associated with the production of granulomonopoietic enhancing activity (GM-EA).人骨髓巨噬细胞的长期培养:巨噬细胞发育与粒单核系增强活性(GM-EA)的产生相关。
J Immunol. 1985 Aug;135(2):1186-93.
6
Ultrastructure of mouse mononuclear phagocytes in bone marrow colonies grown in vitro.体外培养的小鼠骨髓集落中单核吞噬细胞的超微结构
Lab Invest. 1976 Apr;34(4):440-50.
7
Morphology and peroxidase cytochemistry of mouse promonocytes, monocytes, and macrophages.小鼠前单核细胞、单核细胞和巨噬细胞的形态学及过氧化物酶细胞化学
J Exp Med. 1970 Oct 1;132(4):794-812. doi: 10.1084/jem.132.4.794.
8
Multinucleated cells formed on calcified dentine from mouse bone marrow cells treated with 1 alpha,25-dihydroxyvitamin D3 have ruffled borders and resorb dentine.用1α,25 - 二羟基维生素D3处理的小鼠骨髓细胞在钙化牙本质上形成的多核细胞具有皱褶缘并能吸收牙本质。
Anat Rec. 1989 Jul;224(3):379-91. doi: 10.1002/ar.1092240307.
9
Hepatic granulomas induced by glucan. An ultrastructural and peroxidase-cytochemical study.葡聚糖诱导的肝肉芽肿。超微结构和过氧化物酶细胞化学研究。
Lab Invest. 1980 Aug;43(2):172-81.
10
Morphological studies on long-term culture of marrow cells: characterization of the adherent stromal cells and their interactions in maintaining the proliferation of hemopoietic stem cells.骨髓细胞长期培养的形态学研究:贴壁基质细胞的特性及其在维持造血干细胞增殖中的相互作用。
Am J Anat. 1982 Jun;164(2):91-111. doi: 10.1002/aja.1001640202.

引用本文的文献

1
Comparison of human macrophages derived from peripheral blood and bone marrow.源自外周血和骨髓的人类巨噬细胞的比较。
J Immunol. 2025 Apr 1;214(4):714-725. doi: 10.1093/jimmun/vkae032.
2
Expression of SAA1, SAA2 and SAA4 genes in human primary monocytes and monocyte-derived macrophages.人原代单核细胞和单核细胞衍生巨噬细胞中 SAA1、SAA2 和 SAA4 基因的表达。
PLoS One. 2019 May 17;14(5):e0217005. doi: 10.1371/journal.pone.0217005. eCollection 2019.
3
Regulation of monocyte differentiation by specific signaling modules and associated transcription factor networks.

本文引用的文献

1
THE DIFFERENTIATION OF MONONUCLEAR PHAGOCYTES. MORPHOLOGY, CYTOCHEMISTRY, AND BIOCHEMISTRY.单核吞噬细胞的分化。形态学、细胞化学与生物化学
J Exp Med. 1965 Jan 1;121(1):153-70. doi: 10.1084/jem.121.1.153.
2
The early stages of absorption of injected horseradish peroxidase in the proximal tubules of mouse kidney: ultrastructural cytochemistry by a new technique.注入的辣根过氧化物酶在小鼠肾近端小管吸收的早期阶段:一种新技术的超微结构细胞化学研究
J Histochem Cytochem. 1966 Apr;14(4):291-302. doi: 10.1177/14.4.291.
3
Transformation of monocytes in tissue culture into macrophages, epithelioid cells, and multinucleated giant cells. An electron microscope study.
特定信号模块和相关转录因子网络对单核细胞分化的调控。
Cell Mol Life Sci. 2014 Jan;71(1):63-92. doi: 10.1007/s00018-013-1322-4. Epub 2013 Mar 24.
4
A Novel in vitro Human Macrophage Model to Study the Persistence of Mycobacterium tuberculosis Using Vitamin D(3) and Retinoic Acid Activated THP-1 Macrophages.一种利用维生素D(3)和视黄酸激活的THP-1巨噬细胞研究结核分枝杆菌持续性的新型体外人类巨噬细胞模型。
Front Microbiol. 2011 Apr 18;2:67. doi: 10.3389/fmicb.2011.00067. eCollection 2011.
5
Murine macrophages cultured with IL-4 acquire a phenotype similar to that of epithelioid cells from granulomatous inflammation.用白细胞介素-4培养的小鼠巨噬细胞获得了与肉芽肿性炎症中上皮样细胞相似的表型。
Inflammation. 2003 Aug;27(4):201-11. doi: 10.1023/a:1025084413767.
6
Toxoplasma gondii alters eicosanoid release by human mononuclear phagocytes: role of leukotrienes in interferon gamma-induced antitoxoplasma activity.弓形虫改变人单核吞噬细胞类花生酸的释放:白三烯在γ干扰素诱导的抗弓形虫活性中的作用
J Exp Med. 1994 Nov 1;180(5):1637-48. doi: 10.1084/jem.180.5.1637.
7
Genetic study of oxygen resistance and melanization in Cryptococcus neoformans.新型隐球菌抗氧性与黑化作用的遗传学研究。
Infect Immun. 1994 Dec;62(12):5694-7. doi: 10.1128/iai.62.12.5694-5697.1994.
8
Identification of alpha-naphthyl butyrate esterase as a plasma membrane ectoenzyme of monocytes and as a discrete intracellular membrane-bounded organelle in lymphocytes.鉴定α-萘丁酸酯酶为单核细胞的质膜外切酶以及淋巴细胞中一种离散的细胞内膜结合细胞器。
J Exp Med. 1981 Jan 1;153(1):182-95. doi: 10.1084/jem.153.1.182.
9
The effect of complement in adherent immune complexes on Fc and C3 receptor expression in human monocytes.黏附性免疫复合物中的补体对人单核细胞Fc和C3受体表达的影响。
Immunology. 1981 Dec;44(4):717-25.
10
Activated human monocytes inhibit the intracellular multiplication of Legionnaires' disease bacteria.活化的人类单核细胞可抑制军团病杆菌的细胞内增殖。
J Exp Med. 1981 Nov 1;154(5):1618-35. doi: 10.1084/jem.154.5.1618.
组织培养中单核细胞向巨噬细胞、上皮样细胞和多核巨细胞的转化。一项电子显微镜研究。
J Cell Biol. 1966 Feb;28(2):303-32. doi: 10.1083/jcb.28.2.303.
4
Cytochemical studies of lysosomes, golgi apparatus and endoplasmic reticulum in secretion and protein uptake by adrenal medulla cells of the rat.大鼠肾上腺髓质细胞分泌及蛋白质摄取过程中溶酶体、高尔基体和内质网的细胞化学研究
J Histochem Cytochem. 1968 May;16(5):320-36. doi: 10.1177/16.5.320.
5
Ultrastructural observations on experimentally induced foreign-body and organized epithelioid-cell granulomas in man.人体实验性诱导异物性和组织化上皮样细胞肉芽肿的超微结构观察
Am J Pathol. 1968 Jun;52(6):1207-23.
6
Ultrastructural localization of horseradish peroxidase and endogenous peroxidase activity in guinea pig peritoneal macrophages.豚鼠腹腔巨噬细胞中辣根过氧化物酶的超微结构定位及内源性过氧化物酶活性
J Immunol. 1970 Dec;105(6):1536-46.
7
Electron microscopic study of inhibition of macrophage migration in delayed hypersensitivity.迟发型超敏反应中巨噬细胞迁移抑制的电子显微镜研究
J Immunol. 1970 Dec;105(6):1360-74.
8
The fine structure of sarcoid and tuberculous granulomas.结节病和结核性肉芽肿的精细结构。
Postgrad Med J. 1970 Aug;46(538):496-500. doi: 10.1136/pgmj.46.538.496.
9
Plasmalemmal and subsurface complexes in human leukemic cells: membrane bonding by zipperlike junctions.人类白血病细胞中的质膜和表面下复合体:通过拉链状连接实现膜结合
Science. 1970 Jun 19;168(3938):1458-60. doi: 10.1126/science.168.3938.1458.
10
Fine structural cytochemical localization of peroxidase activity in rat peritoneal cells: mononuclear cells, eosinophils and mast cells.大鼠腹膜细胞中过氧化物酶活性的精细结构细胞化学定位:单核细胞、嗜酸性粒细胞和肥大细胞。
J Histochem Cytochem. 1971 Sep;19(9):571-5. doi: 10.1177/19.9.571.