Suppr超能文献

用从苏丹皮肤利什曼病分离出的利什曼原虫皮内感染小鼠和仓鼠后,胸腺依赖区的内脏播散性耗竭及淀粉样变性。

Visceral spreading depletion of thymus-dependent regions and amyloidosis in mice and hamsters infected intradermally with Leishmania isolated from Sudanese cutaneous leishmaniasis.

作者信息

Veress B, Abdalla R E, El Hassan A M

出版信息

Br J Exp Pathol. 1983 Oct;64(5):505-14.

Abstract

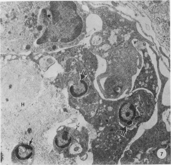
Eighteen outbred mice and 21 golden hamsters were each inoculated intradermally with 2 X 10(6) Leishmania amastigotes obtained from 1 case of Sudanese cutaneous leishmaniasis. The skin lesions, spleen, lymph nodes, liver and kidney were examined by light-, polarizing-, and electron microscope at 5, 9 and 18 weeks after inoculation. The aim of the investigations was to follow the development of the inflammatory reaction and the change of the morphology of the lymphoid organs during the infection. In all the mice and in the majority of the hamsters visceral leishmaniasis developed which was characterized by a "noncure" type of cellular reaction, a selective T-cell depletion in the lymph nodes and the spleen, and the development of a reactive, systemic amyloidosis. These findings point to the failure of the acquired resistance against Leishmania to develop. In some of the hamsters the response was of the "cure" type without the development of amyloidosis. At the site of the inoculation the lesions healed suggesting the positive role of necrosis and the elimination of the parasites through the ulcer in the healing process. Electron microscopy showed erythrophagocytosis in the spleen of the 2 mice examined presenting an experimental evidence of the destruction of the red blood cells, which is a common feature of human kala-azar.

摘要

将18只远交系小鼠和21只金黄仓鼠分别皮内接种从1例苏丹皮肤利什曼病患者获得的2×10⁶利什曼原虫无鞭毛体。在接种后5周、9周和18周,通过光学显微镜、偏振光显微镜和电子显微镜检查皮肤病变、脾脏、淋巴结、肝脏和肾脏。研究目的是追踪感染期间炎症反应的发展以及淋巴器官形态的变化。所有小鼠和大多数仓鼠均发生内脏利什曼病,其特征为“不愈”型细胞反应、淋巴结和脾脏中T细胞选择性耗竭以及反应性全身性淀粉样变性的发生。这些发现表明获得性抗利什曼原虫抵抗力未能形成。部分仓鼠的反应为“治愈”型,未发生淀粉样变性。在接种部位病变愈合,提示坏死在愈合过程中通过溃疡清除寄生虫方面发挥了积极作用。电子显微镜检查显示,所检查的2只小鼠脾脏中有红细胞吞噬现象,这为红细胞破坏提供了实验证据,而红细胞破坏是人类黑热病的一个常见特征。

https://cdn.ncbi.nlm.nih.gov/pmc/blobs/cb59/2040808/ff31af567ed8/brjexppathol00101-0044-a.jpg

文献检索

告别复杂PubMed语法,用中文像聊天一样搜索,搜遍4000万医学文献。AI智能推荐,让科研检索更轻松。

立即免费搜索

文件翻译

保留排版,准确专业,支持PDF/Word/PPT等文件格式,支持 12+语言互译。

免费翻译文档

深度研究

AI帮你快速写综述,25分钟生成高质量综述,智能提取关键信息,辅助科研写作。

立即免费体验