Suppr超能文献

绵羊的实验性T-2中毒

Experimental T-2 toxicosis in sheep.

作者信息

Friend S C, Hancock D S, Schiefer H B, Babiuk L A

出版信息

Can J Comp Med. 1983 Jul;47(3):291-7.

Abstract

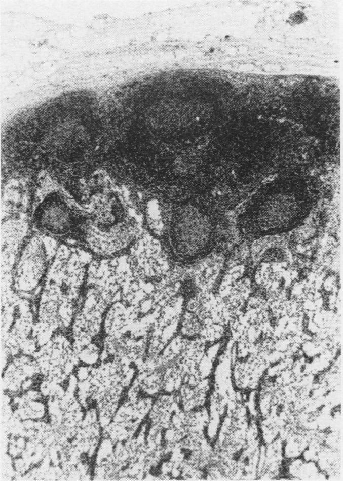
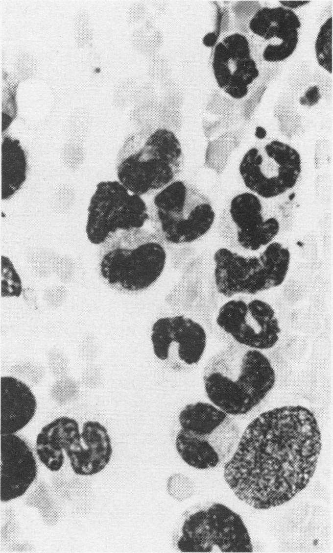
Lambs received T-2 toxin at a rate of 0.6 or 0.3 mg/kg body weight per day in a protein reduced diet for 21 days to study the immunological and pathological effects of T-2 toxin in sheep. Blood was collected before T-2 treatment and on days 7, 14 and 21 of the trial for hematological and biochemical examination and for the separation of peripheral blood lymphocytes for the mitogen assay. Myeloid:erythroid ratios were determined from sternal bone marrow samples taken a day before T-2 treatment began, on day 12 and at death (day 22). Lambs treated with 0.6 mg/kg body weight of T-2 toxin daily were leukopenic on day 7 and lymphopenic on days 7 and 14. Also, on day 7, the mitogenic responses of these lambs to the B-cell mitogen, lipopolysaccharide, were significantly depressed and prothrombin times were prolonged. At necropsy, lymphoid atrophy of mesenteric lymph nodes and spleens was most marked in lambs treated with 0.6 mg/kg body weight of T-2 toxin per day. To the authors' knowledge, this is the first report of leukopenia, lymphopenia and lymphoid depletion in ruminants fed T-2 toxin.

摘要

为研究T-2毒素对绵羊的免疫和病理影响,将羔羊置于蛋白质含量降低的日粮中,按每天0.6或0.3毫克/千克体重的剂量给予T-2毒素,持续21天。在T-2处理前以及试验的第7、14和21天采集血液,用于血液学和生化检查,并分离外周血淋巴细胞进行有丝分裂原测定。从T-2处理开始前一天、第12天和死亡时(第22天)采集的胸骨骨髓样本中测定髓系:红系比例。每天接受0.6毫克/千克体重T-2毒素处理的羔羊在第7天出现白细胞减少,在第7天和第14天出现淋巴细胞减少。此外,在第7天,这些羔羊对B细胞有丝分裂原脂多糖的促有丝分裂反应显著降低,凝血酶原时间延长。尸检时,每天接受0.6毫克/千克体重T-2毒素处理的羔羊肠系膜淋巴结和脾脏的淋巴样萎缩最为明显。据作者所知,这是关于饲喂T-2毒素的反刍动物出现白细胞减少、淋巴细胞减少和淋巴样耗竭的首次报告。

https://cdn.ncbi.nlm.nih.gov/pmc/blobs/fe43/1235941/5296a2ce7a4a/compmed00011-0056-a.jpg

文献AI研究员

20分钟写一篇综述,助力文献阅读效率提升50倍。

立即体验

用中文搜PubMed

大模型驱动的PubMed中文搜索引擎

马上搜索

文档翻译

学术文献翻译模型,支持多种主流文档格式。

立即体验