Ghoshal A K, Ahluwalia M, Farber E
Am J Pathol. 1983 Dec;113(3):309-14.
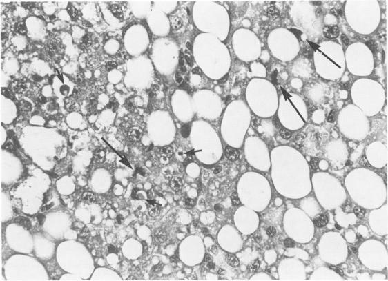
This study was undertaken to test the hypothesis that the basis for the cell proliferation seen in the livers of rats fed a choline-deficient methionine-low (CMD) diet is regeneration following hepatocyte cell death and necrosis. Exposure of rats to a CMD diet for 2 weeks was found to induce liver cell loss and necrosis as monitored by three different approaches: 1) histologic examination, 2) serum sorbitol dehydrogenase assay, and 3) measurement of the total radioactivity in liver DNA prelabeled during a prior period of regeneration. These observations suggest that the basis for liver cell proliferation in rats fed a CMD diet probably resides in the cell loss and necrosis induced in the liver by the deficient diet.
喂食胆碱缺乏且蛋氨酸含量低(CMD)饮食的大鼠肝脏中出现的细胞增殖,其基础是肝细胞死亡和坏死后的再生。通过三种不同方法监测发现,大鼠食用CMD饮食2周会导致肝细胞损失和坏死:1)组织学检查;2)血清山梨醇脱氢酶测定;3)测量先前再生期预先标记的肝脏DNA中的总放射性。这些观察结果表明,喂食CMD饮食的大鼠肝细胞增殖的基础可能在于缺乏饮食导致的肝脏细胞损失和坏死。