Suppr超能文献

珊瑚鱼(波纹唇鱼,居维叶)胃中肌间神经丛和黏膜下神经丛的精细结构

Fine structure of the myenteric and submucous plexuses in the stomach of a coral fish, Chelmon rostratus Cuvier.

作者信息

Wong W C, Tan C K

出版信息

J Anat. 1978 Jun;126(Pt 2):291-301.

Abstract

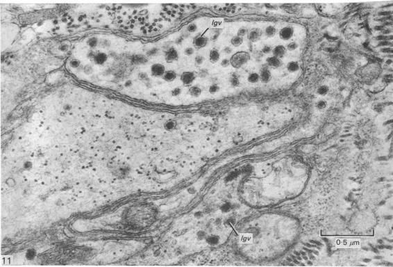
The fine structure of the teleostean myenteric and submucous plexuses has been studied in the stomach of the coral fish, Chelmon rostratus Cuvier. The myenteric plexus is a prominent loose mesh containing nerve cells, myelinated and unmyelinated axon profiles, vesiculated axon profiles, Schwann cells, collagen and capillaries. Unmyelinated axons greatly outnumber the myelinated ones. Vesiculated axon profiles were uncommon, and synapses were rarely observed. Compared with the myenteric plexus, the submucous plexus was more modest in size; it was devoid of nerve cells and myelin sheaths were only occasionally seen.

摘要

对珊瑚鱼长吻鼻鱼(Chelmon rostratus Cuvier)胃中的硬骨鱼肌间神经丛和黏膜下神经丛的精细结构进行了研究。肌间神经丛是一个明显的松散网络,包含神经细胞、有髓和无髓轴突轮廓、含囊泡轴突轮廓、施万细胞、胶原蛋白和毛细血管。无髓轴突的数量远多于有髓轴突。含囊泡轴突轮廓不常见,且很少观察到突触。与肌间神经丛相比,黏膜下神经丛的规模较小;它没有神经细胞,仅偶尔可见髓鞘。

https://cdn.ncbi.nlm.nih.gov/pmc/blobs/168a/1235689/6878c776a43e/janat00357-0069-a.jpg

文献检索

告别复杂PubMed语法,用中文像聊天一样搜索,搜遍4000万医学文献。AI智能推荐,让科研检索更轻松。

立即免费搜索

文件翻译

保留排版,准确专业,支持PDF/Word/PPT等文件格式,支持 12+语言互译。

免费翻译文档

深度研究

AI帮你快速写综述,25分钟生成高质量综述,智能提取关键信息,辅助科研写作。

立即免费体验