• 文献检索
  • 文档翻译
  • 深度研究
  • 学术资讯
  • Suppr Zotero 插件Zotero 插件
  • 邀请有礼
  • 套餐&价格
  • 历史记录
应用&插件
Suppr Zotero 插件Zotero 插件浏览器插件Mac 客户端Windows 客户端微信小程序
定价
高级版会员购买积分包购买API积分包
服务
文献检索文档翻译深度研究API 文档MCP 服务
关于我们
关于 Suppr公司介绍联系我们用户协议隐私条款
关注我们

Suppr 超能文献

核心技术专利:CN118964589B侵权必究
粤ICP备2023148730 号-1Suppr @ 2026

文献检索

告别复杂PubMed语法,用中文像聊天一样搜索,搜遍4000万医学文献。AI智能推荐,让科研检索更轻松。

立即免费搜索

文件翻译

保留排版,准确专业,支持PDF/Word/PPT等文件格式,支持 12+语言互译。

免费翻译文档

深度研究

AI帮你快速写综述,25分钟生成高质量综述,智能提取关键信息,辅助科研写作。

立即免费体验

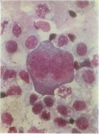
浆膜腔积液中淋巴瘤的细胞学诊断

Cytological diagnosis of lymphoma in serous effusions.

作者信息

Spriggs A I, Vanhegan R I

出版信息

J Clin Pathol. 1981 Dec;34(12):1311-25. doi: 10.1136/jcp.34.12.1311.

DOI:10.1136/jcp.34.12.1311
PMID:6895757
原文链接:https://pmc.ncbi.nlm.nih.gov/articles/PMC494587/
Abstract

A consecutive series is presented of 100 cases of malignant lymphoma in which a correlation could be made between the histological findings and the cytology of pleural or peritoneal fluid or both. Using the Kiel classification, 80 cases could be given a histological label, while 20 remain unclassified. In those cases in which lymphoma cells were identifiable in the serous fluid, their morphology was studied and was found in general to correlate well with the cell-type expected from the histology. It is not claimed that the type of lymphoma can be reliably diagnosed from the cytology of pleural or peritoneal fluid, but an opinion can be provided as to the grade (high or low), and in some cases it is also possible to give an indication of the cell-type involved.

摘要

本文呈现了100例恶性淋巴瘤的连续病例系列,其中可将组织学结果与胸腔或腹腔积液或两者的细胞学进行关联。采用 Kiel 分类法,80例可给出组织学标签,而20例仍未分类。在那些可在浆液中识别出淋巴瘤细胞的病例中,研究了它们的形态,发现总体上与组织学预期的细胞类型相关性良好。并未声称可从胸腔或腹腔积液的细胞学可靠诊断淋巴瘤类型,但可提供关于分级(高或低)的意见,并且在某些情况下还可给出所涉及细胞类型的指示。

https://cdn.ncbi.nlm.nih.gov/pmc/blobs/f93e/494587/96fdc41d723f/jclinpath00493-0012-a.jpg
https://cdn.ncbi.nlm.nih.gov/pmc/blobs/f93e/494587/da4738fdc2a0/jclinpath00493-0003-a.jpg
https://cdn.ncbi.nlm.nih.gov/pmc/blobs/f93e/494587/1ac362d172b0/jclinpath00493-0004-a.jpg
https://cdn.ncbi.nlm.nih.gov/pmc/blobs/f93e/494587/e34fa8804335/jclinpath00493-0004-b.jpg
https://cdn.ncbi.nlm.nih.gov/pmc/blobs/f93e/494587/5a2c0e68171d/jclinpath00493-0004-c.jpg
https://cdn.ncbi.nlm.nih.gov/pmc/blobs/f93e/494587/a3b9a35b8483/jclinpath00493-0004-d.jpg
https://cdn.ncbi.nlm.nih.gov/pmc/blobs/f93e/494587/0b8bd42923bb/jclinpath00493-0005-a.jpg
https://cdn.ncbi.nlm.nih.gov/pmc/blobs/f93e/494587/d40ffb8c3d00/jclinpath00493-0006-a.jpg
https://cdn.ncbi.nlm.nih.gov/pmc/blobs/f93e/494587/fefd1c13ba34/jclinpath00493-0006-b.jpg
https://cdn.ncbi.nlm.nih.gov/pmc/blobs/f93e/494587/74ffbeb523a2/jclinpath00493-0006-c.jpg
https://cdn.ncbi.nlm.nih.gov/pmc/blobs/f93e/494587/8a93c99fc107/jclinpath00493-0006-d.jpg
https://cdn.ncbi.nlm.nih.gov/pmc/blobs/f93e/494587/22afd03aa5ad/jclinpath00493-0007-a.jpg
https://cdn.ncbi.nlm.nih.gov/pmc/blobs/f93e/494587/1b5968ebaa72/jclinpath00493-0010-a.jpg
https://cdn.ncbi.nlm.nih.gov/pmc/blobs/f93e/494587/2a1398ecd572/jclinpath00493-0010-b.jpg
https://cdn.ncbi.nlm.nih.gov/pmc/blobs/f93e/494587/30b8f822c672/jclinpath00493-0010-c.jpg
https://cdn.ncbi.nlm.nih.gov/pmc/blobs/f93e/494587/c71100deeba2/jclinpath00493-0010-d.jpg
https://cdn.ncbi.nlm.nih.gov/pmc/blobs/f93e/494587/96fdc41d723f/jclinpath00493-0012-a.jpg
https://cdn.ncbi.nlm.nih.gov/pmc/blobs/f93e/494587/da4738fdc2a0/jclinpath00493-0003-a.jpg
https://cdn.ncbi.nlm.nih.gov/pmc/blobs/f93e/494587/1ac362d172b0/jclinpath00493-0004-a.jpg
https://cdn.ncbi.nlm.nih.gov/pmc/blobs/f93e/494587/e34fa8804335/jclinpath00493-0004-b.jpg
https://cdn.ncbi.nlm.nih.gov/pmc/blobs/f93e/494587/5a2c0e68171d/jclinpath00493-0004-c.jpg
https://cdn.ncbi.nlm.nih.gov/pmc/blobs/f93e/494587/a3b9a35b8483/jclinpath00493-0004-d.jpg
https://cdn.ncbi.nlm.nih.gov/pmc/blobs/f93e/494587/0b8bd42923bb/jclinpath00493-0005-a.jpg
https://cdn.ncbi.nlm.nih.gov/pmc/blobs/f93e/494587/d40ffb8c3d00/jclinpath00493-0006-a.jpg
https://cdn.ncbi.nlm.nih.gov/pmc/blobs/f93e/494587/fefd1c13ba34/jclinpath00493-0006-b.jpg
https://cdn.ncbi.nlm.nih.gov/pmc/blobs/f93e/494587/74ffbeb523a2/jclinpath00493-0006-c.jpg
https://cdn.ncbi.nlm.nih.gov/pmc/blobs/f93e/494587/8a93c99fc107/jclinpath00493-0006-d.jpg
https://cdn.ncbi.nlm.nih.gov/pmc/blobs/f93e/494587/22afd03aa5ad/jclinpath00493-0007-a.jpg
https://cdn.ncbi.nlm.nih.gov/pmc/blobs/f93e/494587/1b5968ebaa72/jclinpath00493-0010-a.jpg
https://cdn.ncbi.nlm.nih.gov/pmc/blobs/f93e/494587/2a1398ecd572/jclinpath00493-0010-b.jpg
https://cdn.ncbi.nlm.nih.gov/pmc/blobs/f93e/494587/30b8f822c672/jclinpath00493-0010-c.jpg
https://cdn.ncbi.nlm.nih.gov/pmc/blobs/f93e/494587/c71100deeba2/jclinpath00493-0010-d.jpg
https://cdn.ncbi.nlm.nih.gov/pmc/blobs/f93e/494587/96fdc41d723f/jclinpath00493-0012-a.jpg

相似文献

1
Cytological diagnosis of lymphoma in serous effusions.浆膜腔积液中淋巴瘤的细胞学诊断
J Clin Pathol. 1981 Dec;34(12):1311-25. doi: 10.1136/jcp.34.12.1311.
2
Serous effusions in malignant lymphomas: a review.恶性淋巴瘤中的浆液性积液:综述
Diagn Cytopathol. 2006 May;34(5):335-47. doi: 10.1002/dc.20432.
3
The value of cytology in diagnosis of serous effusions in malignant lymphomas: An experience of a tertiary care center.细胞学在恶性淋巴瘤浆液性积液诊断中的价值:一家三级医疗中心的经验
Diagn Cytopathol. 2019 Aug;47(8):776-782. doi: 10.1002/dc.24197. Epub 2019 May 15.
4
The cytodiagnosis of malignant lymphomas and Hodgkin's disease in cerebrospinal, pleural and ascitic fluids.脑脊液、胸水及腹水中恶性淋巴瘤和霍奇金病的细胞诊断
Acta Cytol. 1975 Nov-Dec;19(6):547-56.
5
Megakaryocytes in pleural and peritoneal fluids: prevalence, significance, morphology, and cytohistological correlation.胸膜和腹膜液中的巨核细胞:患病率、意义、形态学及细胞组织学相关性
J Clin Pathol. 1980 Dec;33(12):1153-9. doi: 10.1136/jcp.33.12.1153.
6
[Cytological evaluation of fluids from body cavities. 3. Malignant lymphoma cells].[体腔液的细胞学评估。3. 恶性淋巴瘤细胞]
Nowotwory. 1971 Jan-Mar;21(1):31-6.
7
Cytomorphology, Immunophenotype, and cytogenetic profile of leukemic serous effusions.白血病浆膜腔积液的细胞形态学、免疫表型和细胞遗传学特征。
Diagn Cytopathol. 2021 Aug;49(8):948-958. doi: 10.1002/dc.24772. Epub 2021 May 11.
8
[Cytological study of malignant neoplasms identified in serous fluids].[浆液性液体中鉴定出的恶性肿瘤的细胞学研究]
Rev Chil Obstet Ginecol. 1978;43(1):6-8.
9
Application of molecular genetics to the diagnosis of lymphoid-rich effusions: study of 95 cases with concomitant immunophenotyping.分子遗传学在富含淋巴细胞积液诊断中的应用:95例伴免疫表型分析的研究
Diagn Cytopathol. 2002 Aug;27(2):90-5. doi: 10.1002/dc.10150.
10
Management of concurrent pleural effusion in patients with lymphoma: thoracoscopy a useful tool in diagnosis and treatment.淋巴瘤患者并发胸腔积液的管理:胸腔镜检查在诊断和治疗中的有用工具
Monaldi Arch Chest Dis. 1997 Aug;52(4):330-4.

引用本文的文献

1
A comparative study of diagnostic accuracy in 3026 pleural biopsies and matched pleural effusion cytology with clinical correlation.3026 例胸膜活检与配对胸腔积液细胞学检查的诊断准确性比较研究,并与临床相关性进行比较。
Cancer Med. 2023 Jan;12(2):1471-1481. doi: 10.1002/cam4.5038. Epub 2022 Jul 18.
2
Flow cytometry, molecular analysis, and other special techniques (in Serous Fluid Cytopathology).流式细胞术、分子分析及其他特殊技术(浆液性液体细胞病理学方面)
Cytojournal. 2022 Mar 19;19:18. doi: 10.25259/CMAS_02_13_2021. eCollection 2022.
3
Multiple lymphomatous polyposis and the role of fine needle aspiration cytology.

本文引用的文献

1
[Phase contrast studies in dermatology].[皮肤病学中的相差显微镜研究]
Acta Haematol. 1949 Dec;2(6):399-426. doi: 10.1159/000203485.
2
Cytologic studies of sputum, secretions and serous fluids in malignant lymphoma.恶性淋巴瘤痰液、分泌物及浆液性液体的细胞学研究
Am J Clin Pathol. 1955 May;25(5):480-8. doi: 10.1093/ajcp/25.5.480.
3
INTRARETICULAR CELL MULTIPLICATION OF LEUKEMIC LYMPHOBLASTS IN THYMIC TISSUE CULTURES.胸腺组织培养中白血病淋巴母细胞的网内细胞增殖
多发性淋巴瘤性息肉病及细针穿刺抽吸细胞学检查的作用
Postgrad Med J. 1993 May;69(811):401-2. doi: 10.1136/pgmj.69.811.401.
4
Cytodiagnosis of non-Hodgkin's lymphoma. A morphological analysis of 215 biopsy proven cases.
Virchows Arch A Pathol Anat Histopathol. 1984;403(3):213-33. doi: 10.1007/BF00694898.
5
Immunocytochemical staining of T and B lymphocytes in serous effusions.浆液性积液中T和B淋巴细胞的免疫细胞化学染色
J Clin Pathol. 1985 Jun;38(6):608-12. doi: 10.1136/jcp.38.6.608.
6
Immunocytochemical characterization of lymphocytes in benign and malignant lymphocyte-rich serous effusions.良性和恶性富含淋巴细胞的浆液性积液中淋巴细胞的免疫细胞化学特征
Virchows Arch A Pathol Anat Histopathol. 1986;409(2):211-21. doi: 10.1007/BF00708329.
J Natl Cancer Inst. 1964 Feb;32:339-59.
4
[Identification of cells of germination center in lymph node smears].[淋巴结涂片中生发中心细胞的鉴定]
Klin Wochenschr. 1957 Nov 15;35(22):1130-2. doi: 10.1007/BF01489419.
5
Biological interaction between lymphocytes and other cells.淋巴细胞与其他细胞之间的生物相互作用。
Br J Haematol. 1956 Jul;2(3):283-94. doi: 10.1111/j.1365-2141.1956.tb06700.x.
6
A histocytologic and electron microscopic study of effusions associated with malignant disease.一项关于与恶性疾病相关的积液的组织细胞学和电子显微镜研究。
Ann N Y Acad Sci. 1956 Mar 30;63(6):1331-47. doi: 10.1111/j.1749-6632.1956.tb32141.x.
7
A histocytological study of effusions. II. Effusions associated with malignant tumors.渗出液的组织细胞学研究。II. 与恶性肿瘤相关的渗出液。
Cancer. 1954 Nov;7(6):1167-81. doi: 10.1002/1097-0142(195411)7:6<1167::aid-cncr2820070607>3.0.co;2-8.
8
The significance of hematogones in blood, bone marrow and lymph node aspiration in giant follicular lymphoblastoma.原始造血细胞在巨大滤泡性淋巴母细胞瘤血液、骨髓及淋巴结穿刺物中的意义
Acta Haematol. 1952 Dec;8(6):368-77. doi: 10.1159/000204186.
9
Differential diagnosis of malignant lymphomas by imprint cytology.通过印片细胞学对恶性淋巴瘤进行鉴别诊断。
Acta Cytol. 1980 Jan-Feb;24(1):16-25.
10
Histopathological definition of Burkitt's tumour.伯基特淋巴瘤的组织病理学定义。
Bull World Health Organ. 1969 Apr;40(4):601-7.