• 文献检索
  • 文档翻译
  • 深度研究
  • 学术资讯
  • Suppr Zotero 插件Zotero 插件
  • 邀请有礼
  • 套餐&价格
  • 历史记录
应用&插件
Suppr Zotero 插件Zotero 插件浏览器插件Mac 客户端Windows 客户端微信小程序
定价
高级版会员购买积分包购买API积分包
服务
文献检索文档翻译深度研究API 文档MCP 服务
关于我们
关于 Suppr公司介绍联系我们用户协议隐私条款
关注我们

Suppr 超能文献

核心技术专利:CN118964589B侵权必究
粤ICP备2023148730 号-1Suppr @ 2026

文献检索

告别复杂PubMed语法,用中文像聊天一样搜索,搜遍4000万医学文献。AI智能推荐,让科研检索更轻松。

立即免费搜索

文件翻译

保留排版,准确专业,支持PDF/Word/PPT等文件格式,支持 12+语言互译。

免费翻译文档

深度研究

AI帮你快速写综述,25分钟生成高质量综述,智能提取关键信息,辅助科研写作。

立即免费体验

胸腺切除和放疗后发生自身免疫性甲状腺炎的甲状腺移植。

Thyroid transplantation developing autoimmune thyroiditis following thymectomy and irradiation.

作者信息

Ahmed S A, Penhale W J

出版信息

Clin Exp Immunol. 1981 Sep;45(3):480-6.

PMID:6896018
原文链接:https://pmc.ncbi.nlm.nih.gov/articles/PMC1537404/
Abstract

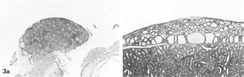
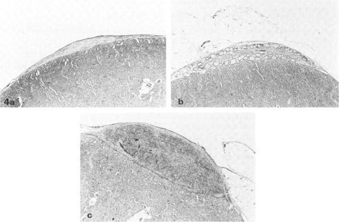
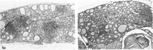
Post-irradiation transplantation of normal thyroids under the renal capsule of syngenetic thymectomized and irradiated (Tx-X) rats leads to the development of thyroiditis in the ectopic grafted thyroids. A close correlation was observed between the extent of the lesions in the grafted and recipient's own thyroid. The histopathology of both grafted and recipient thyroid was similar and was characterized by infiltration with mononuclear cells together with some plasma cells. Conversely, grafting of affected thyroids from Tx-X rats to normal animals resulted in the regression of the lesion in the graft and no evidence thyroiditis was observed in either the graft or the recipient's thyroid when these were examined 60 days post-grafting. Thyroids derived from normal animals grafted to syngenetic normal rats were found to remain healthy and intact over a 60-day period. In contrast to normal animals, Tx-X rats were unable to reject totally in transplanted allogeneic thyroids by 28 days post-grafting, suggesting that some impairment of cell-mediated immunity follows this treatment. These findings indicate that the pathological change occurring in the thyroid gland of Tx-X rats is not attributable to the local effect of irradiation of the thyroids and adds further support to the concept that the process is immunologically mediated by thyroid-specific circulating components in the absence of normal immune regulatory function.

摘要

在同基因胸腺切除并受照射(Tx-X)的大鼠肾被膜下移植正常甲状腺,会导致异位移植的甲状腺发生甲状腺炎。观察到移植甲状腺和受体自身甲状腺的病变程度之间存在密切相关性。移植甲状腺和受体甲状腺的组织病理学相似,其特征为单核细胞连同一些浆细胞浸润。相反,将Tx-X大鼠的病变甲状腺移植到正常动物体内,会导致移植甲状腺的病变消退,并且在移植后60天检查时,无论是移植甲状腺还是受体甲状腺,均未观察到甲状腺炎的迹象。将正常动物的甲状腺移植到同基因正常大鼠体内,发现这些甲状腺在60天内保持健康完整。与正常动物不同,Tx-X大鼠在移植后28天内无法完全排斥移植的同种异体甲状腺,这表明这种处理会导致细胞介导免疫的某种损伤。这些发现表明,Tx-X大鼠甲状腺发生的病理变化并非归因于甲状腺局部照射的影响,进一步支持了这样一种概念,即该过程是在缺乏正常免疫调节功能的情况下,由甲状腺特异性循环成分免疫介导的。

https://cdn.ncbi.nlm.nih.gov/pmc/blobs/d17e/1537404/ffd42c06f869/clinexpimmunol00180-0038-b.jpg
https://cdn.ncbi.nlm.nih.gov/pmc/blobs/d17e/1537404/5d4add320dee/clinexpimmunol00180-0036-a.jpg
https://cdn.ncbi.nlm.nih.gov/pmc/blobs/d17e/1537404/a6663596a525/clinexpimmunol00180-0038-a.jpg
https://cdn.ncbi.nlm.nih.gov/pmc/blobs/d17e/1537404/ffd42c06f869/clinexpimmunol00180-0038-b.jpg
https://cdn.ncbi.nlm.nih.gov/pmc/blobs/d17e/1537404/5d4add320dee/clinexpimmunol00180-0036-a.jpg
https://cdn.ncbi.nlm.nih.gov/pmc/blobs/d17e/1537404/a6663596a525/clinexpimmunol00180-0038-a.jpg
https://cdn.ncbi.nlm.nih.gov/pmc/blobs/d17e/1537404/ffd42c06f869/clinexpimmunol00180-0038-b.jpg

相似文献

1
Thyroid transplantation developing autoimmune thyroiditis following thymectomy and irradiation.胸腺切除和放疗后发生自身免疫性甲状腺炎的甲状腺移植。
Clin Exp Immunol. 1981 Sep;45(3):480-6.
2
Beneficial effect of testosterone in the treatment of chronic autoimmune thyroiditis in rats.
J Immunol. 1986 Jan;136(1):143-7.
3
Thyroid antibodies in spontaneous autoimmune thyroiditis in the Buffalo rat.布法罗大鼠自发性自身免疫性甲状腺炎中的甲状腺抗体
J Immunol. 1976 Nov;117(5 Pt 1):1447-55.
4
Animal model of human disease. Lymphocytic thyroiditis. Autoimmune thyroiditis in rats induced by thymectomy and irradiation.人类疾病的动物模型。淋巴细胞性甲状腺炎。胸腺切除和辐射诱导的大鼠自身免疫性甲状腺炎。
Am J Pathol. 1982 Feb;106(2):300-2.
5
The influence of testosterone on the development of autoimmune thyroiditis in thymectomized and irradiated rats.睾酮对胸腺切除及受照射大鼠自身免疫性甲状腺炎发展的影响。
Clin Exp Immunol. 1982 May;48(2):367-74.
6
Spontaneous development of autoimmune thyroiditis in neonatally thymectomized mice.新生期胸腺切除小鼠自身免疫性甲状腺炎的自发发展
Lab Invest. 1976 Jun;34(6):550-7.
7
Factors affecting transfer of experimental autoimmune thyroiditis in rats.影响大鼠实验性自身免疫性甲状腺炎转移的因素。
Immunology. 1973 May;24(5):859-70.
8
Prevention of autoimmune thyroiditis in T cell-depleted rats by injections of crude thyroid extract.通过注射粗制甲状腺提取物预防T细胞耗竭大鼠的自身免疫性甲状腺炎。
Clin Exp Immunol. 1977 Sep;29(3):474-9.
9
Spontaneous autoimmune thyroiditis in the rat accelerated by thymectomy and low doses of irradiation: mechanisms implicated in the pathogenesis.胸腺切除和低剂量辐射加速大鼠自发性自身免疫性甲状腺炎:发病机制探讨
Clin Exp Immunol. 1981 Aug;45(2):329-37.
10
Peripheral autoantigen induces regulatory T cells that prevent autoimmunity.外周自身抗原诱导调节性T细胞,从而预防自身免疫。
J Exp Med. 1999 Mar 1;189(5):877-82. doi: 10.1084/jem.189.5.877.

引用本文的文献

1
The influence of testosterone on the development of autoimmune thyroiditis in thymectomized and irradiated rats.睾酮对胸腺切除及受照射大鼠自身免疫性甲状腺炎发展的影响。
Clin Exp Immunol. 1982 May;48(2):367-74.
2
Sites of autoantibody production in rats with thyroiditis.甲状腺炎大鼠自身抗体产生的部位。
Immunology. 1982 Jun;46(2):465-72.
3
Animal model of human disease. Lymphocytic thyroiditis. Autoimmune thyroiditis in rats induced by thymectomy and irradiation.人类疾病的动物模型。淋巴细胞性甲状腺炎。胸腺切除和辐射诱导的大鼠自身免疫性甲状腺炎。

本文引用的文献

1
Immunological function of the thymus.胸腺的免疫功能。
Lancet. 1961 Sep 30;2(7205):748-9. doi: 10.1016/s0140-6736(61)90693-6.
2
Role of the thymus in immune ractions in rats. I. The immunologic response to bovine serum albumin (antibody formation, Arthus reactivity, and delayed hypersensitivity) in rats thymectomized or splenectomized at various times after birth.胸腺在大鼠免疫反应中的作用。I. 出生后不同时间进行胸腺切除或脾切除的大鼠对牛血清白蛋白的免疫反应(抗体形成、阿瑟斯反应和迟发型超敏反应)
J Exp Med. 1962 Aug 1;116(2):159-76. doi: 10.1084/jem.116.2.159.
3
Delayed hypersensitive reactions in bursectomized chickens.
Am J Pathol. 1982 Feb;106(2):300-2.
4
The effects of female sex steroids on the development of autoimmune thyroiditis in thymectomized and irradiated rats.雌性甾体激素对胸腺切除及受照射大鼠自身免疫性甲状腺炎发展的影响。
Clin Exp Immunol. 1983 Nov;54(2):351-8.
5
Sex hormones, immune responses, and autoimmune diseases. Mechanisms of sex hormone action.性激素、免疫反应与自身免疫性疾病。性激素的作用机制。
Am J Pathol. 1985 Dec;121(3):531-51.
Nature. 1963 Apr 20;198:298-9. doi: 10.1038/198298a0.
4
Experimental allergic thyroiditis in the guinea pig. I. Relationship of delayed hypersensitivity and circulating antibody to the development of thyroiditis.豚鼠实验性过敏性甲状腺炎。I. 迟发型超敏反应和循环抗体与甲状腺炎发生的关系。
Lab Invest. 1963 Jan;12:119-29.
5
The relationship of delayed hypersensitivity and circulating antibody to experimental allergic thyroditis in inbred guinea pigs.近交系豚鼠中迟发型超敏反应及循环抗体与实验性变应性甲状腺炎的关系。
J Exp Med. 1961 Apr 1;113(4):611-24. doi: 10.1084/jem.113.4.611.
6
H-2 gene products influence susceptibility of target thyroid gland to damage in experimental autoimmune thyroiditis.H-2基因产物影响实验性自身免疫性甲状腺炎中靶甲状腺对损伤的易感性。
Eur J Immunol. 1980 Feb;10(2):156-9. doi: 10.1002/eji.1830100216.
7
Migration inhibition studies in human disease.人类疾病中的迁移抑制研究。
Proc R Soc Med. 1970 Sep;63(9):905-6. doi: 10.1177/003591577006300919.
8
Spontaneous thyroiditis in laboratory rats.
Experientia. 1969 Dec 15;25(12):1325-7. doi: 10.1007/BF01897529.
9
The functions of the thymus system and the bursa system in the chicken.鸡的胸腺系统和法氏囊系统的功能。
J Exp Med. 1966 Jan 1;123(1):75-102. doi: 10.1084/jem.123.1.75.
10
Autoimmunity in methylcholanthrene-induced and spontaneous thyroiditis in Buffalo strain rats.甲基胆蒽诱导的和布法罗品系大鼠自发性甲状腺炎中的自身免疫
Proc Soc Exp Biol Med. 1971 Nov;138(2):579-84. doi: 10.3181/00379727-138-35945.