Suppr超能文献

脑活检在蕈样肉芽肿性脑病诊断中的应用

Brain biopsy in the diagnosis of cerebral mycosis fungoides.

作者信息

Tremblay G F, Anderson J M, Davidson D L

出版信息

J Neurol Neurosurg Psychiatry. 1982 Feb;45(2):175-8. doi: 10.1136/jnnp.45.2.175.

Abstract

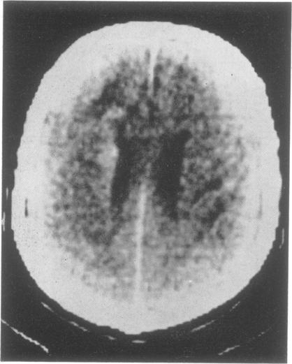
A case of cerebral mycosis fungoides co-existing with progressive multifocal leucoencephalopathy presented with dementia. Brain biopsy established the diagnosis of mycosis fungoides after cerebrospinal fluid examinations and computerised tomographic scanning of the brain produced non-specific abnormalities.

摘要

一例蕈样霉菌病合并进行性多灶性白质脑病的患者表现为痴呆。在脑脊液检查及脑部计算机断层扫描显示非特异性异常后,脑活检确诊为蕈样霉菌病。

https://cdn.ncbi.nlm.nih.gov/pmc/blobs/63ef/1083049/63faa46a41fc/jnnpsyc00046-0090-a.jpg

文献检索

告别复杂PubMed语法,用中文像聊天一样搜索,搜遍4000万医学文献。AI智能推荐,让科研检索更轻松。

立即免费搜索

文件翻译

保留排版,准确专业,支持PDF/Word/PPT等文件格式,支持 12+语言互译。

免费翻译文档

深度研究

AI帮你快速写综述,25分钟生成高质量综述,智能提取关键信息,辅助科研写作。

立即免费体验