Suppr超能文献

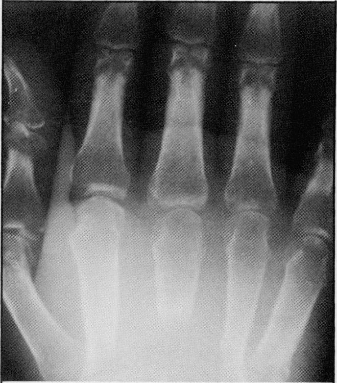
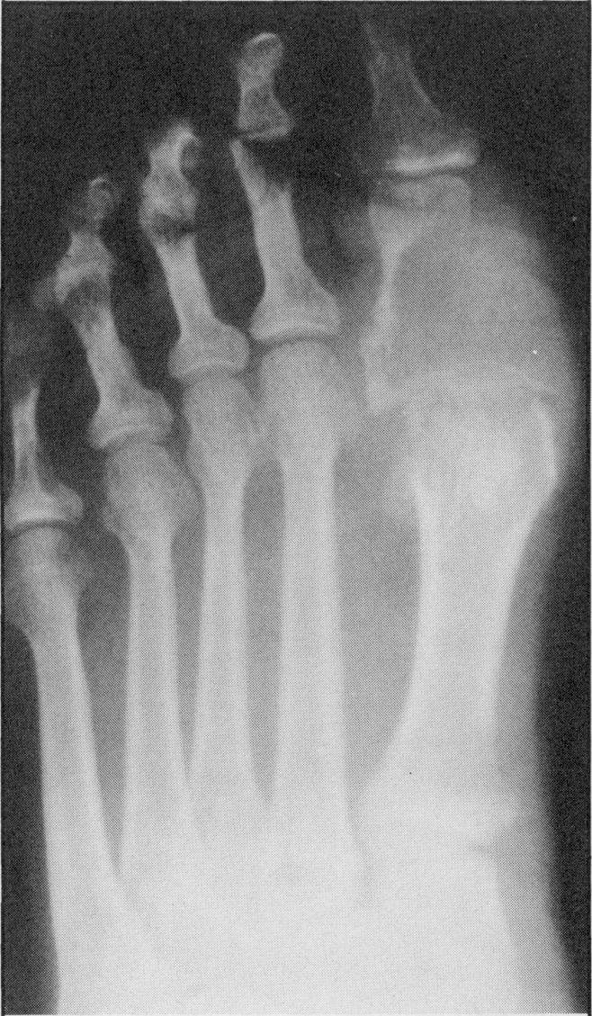
转移至手和足部骨骼。

Metastases to bones of the hands and feet.

作者信息

Kumar P P, Kovi J

出版信息

J Natl Med Assoc. 1978 Nov;70(11):837-40.

Abstract

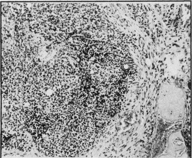
Although metastases to bones from solid tumors are very common, involvement of small bones of the hands and feet is extremely rare. One half of the cases reported in literature resulted from a primary tumor in the lung. Four cases seen over the last four years with metastases to bones of the hand and one case with metastases to foot bones are discussed. None of these patients had a lung primary tumor. Three of the four patients who had metastases to hand bones had the disease on the right side.

摘要

尽管实体瘤骨转移很常见,但手足小骨受累极为罕见。文献报道的病例中有一半源于原发性肺癌。本文讨论了过去四年中见到的4例手部骨转移病例和1例足部骨转移病例。这些患者均无原发性肺癌。4例手部骨转移患者中有3例病变位于右侧。

https://cdn.ncbi.nlm.nih.gov/pmc/blobs/85c6/2537179/63d35d1600b7/jnma00019-0060-a.jpg

文献检索

告别复杂PubMed语法,用中文像聊天一样搜索,搜遍4000万医学文献。AI智能推荐,让科研检索更轻松。

立即免费搜索

文件翻译

保留排版,准确专业,支持PDF/Word/PPT等文件格式,支持 12+语言互译。

免费翻译文档

深度研究

AI帮你快速写综述,25分钟生成高质量综述,智能提取关键信息,辅助科研写作。

立即免费体验