• 文献检索
  • 文档翻译
  • 深度研究
  • 学术资讯
  • Suppr Zotero 插件Zotero 插件
  • 邀请有礼
  • 套餐&价格
  • 历史记录
应用&插件
Suppr Zotero 插件Zotero 插件浏览器插件Mac 客户端Windows 客户端微信小程序
定价
高级版会员购买积分包购买API积分包
服务
文献检索文档翻译深度研究API 文档MCP 服务
关于我们
关于 Suppr公司介绍联系我们用户协议隐私条款
关注我们

Suppr 超能文献

核心技术专利:CN118964589B侵权必究
粤ICP备2023148730 号-1Suppr @ 2026

文献检索

告别复杂PubMed语法,用中文像聊天一样搜索,搜遍4000万医学文献。AI智能推荐,让科研检索更轻松。

立即免费搜索

文件翻译

保留排版,准确专业,支持PDF/Word/PPT等文件格式,支持 12+语言互译。

免费翻译文档

深度研究

AI帮你快速写综述,25分钟生成高质量综述,智能提取关键信息,辅助科研写作。

立即免费体验

Effects of bile acids and hydrogen ion on the fine structure of oesophageal epithelium.

作者信息

Hopwood D, Bateson M C, Milne G, Bouchier I A

出版信息

Gut. 1981 Apr;22(4):306-11. doi: 10.1136/gut.22.4.306.

DOI:10.1136/gut.22.4.306
PMID:7239322
原文链接:https://pmc.ncbi.nlm.nih.gov/articles/PMC1419165/
Abstract

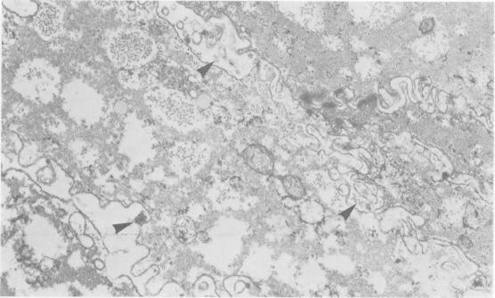
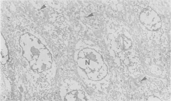
Oesophageal mucosal biopsies were incubated in 20, 0, and 0.2mM solutions of cholic, chenodeoxycholic, ursodeoxycholic, and deoxycholic bile acids. Both conjugated and unconjugated bile acids were studied at pH 1 and 7 singly and in combination. Observations were also made using 0.1 N hydrochloric acid and human gastric juice at pH 1-3 and 7-8. After incubation for up to 15 minutes the mucosa was examined under transmission electron microscopy. We concluded that high and moderate concentration of all the common bile acids damaged the oesophagus irrespective of the pH, that low concentrations of bile acids were damaging only at high acid levels, and that damage to the epithelium did not occur when the pH of the gastric juice had been raised.

摘要
https://cdn.ncbi.nlm.nih.gov/pmc/blobs/c554/1419165/bb322c6292af/gut00425-0065-a.jpg
https://cdn.ncbi.nlm.nih.gov/pmc/blobs/c554/1419165/de40188b5e93/gut00425-0063-a.jpg
https://cdn.ncbi.nlm.nih.gov/pmc/blobs/c554/1419165/b79f4cd660d6/gut00425-0064-a.jpg
https://cdn.ncbi.nlm.nih.gov/pmc/blobs/c554/1419165/9b1043196211/gut00425-0064-b.jpg
https://cdn.ncbi.nlm.nih.gov/pmc/blobs/c554/1419165/bb322c6292af/gut00425-0065-a.jpg
https://cdn.ncbi.nlm.nih.gov/pmc/blobs/c554/1419165/de40188b5e93/gut00425-0063-a.jpg
https://cdn.ncbi.nlm.nih.gov/pmc/blobs/c554/1419165/b79f4cd660d6/gut00425-0064-a.jpg
https://cdn.ncbi.nlm.nih.gov/pmc/blobs/c554/1419165/9b1043196211/gut00425-0064-b.jpg
https://cdn.ncbi.nlm.nih.gov/pmc/blobs/c554/1419165/bb322c6292af/gut00425-0065-a.jpg

相似文献

1
Effects of bile acids and hydrogen ion on the fine structure of oesophageal epithelium.
Gut. 1981 Apr;22(4):306-11. doi: 10.1136/gut.22.4.306.
2
Bile acids do not modify the effects of pepsin on the fine structure of human oesophageal epithelium.
Aust N Z J Surg. 1992 Jul;62(7):569-75. doi: 10.1111/j.1445-2197.1992.tb07052.x.
3
Oesophageal epithelial ultrastructure after incubation with gastrointestinal fluids and their components.
J Pathol. 1981 Jan;133(1):33-51. doi: 10.1002/path.1711330105.
4
Cytotoxicity of bile salts against biliary epithelium: a study in isolated bile ductule fragments and isolated perfused rat liver.胆盐对胆管上皮的细胞毒性:对分离的胆小管片段和离体灌注大鼠肝脏的研究
Hepatology. 1997 Jul;26(1):9-21. doi: 10.1002/hep.510260102.
5
Free radical production in the esophago-gastro-duodenal mucosa in response to acid and bile.食管-胃-十二指肠黏膜对酸和胆汁产生的自由基
Dis Esophagus. 2006;19(2):99-104. doi: 10.1111/j.1442-2050.2006.00548.x.
6
Inhibitory effect of unconjugated bile acids on the intestinal transport of 5-methyltetrahydrofolate in rat jejunum in vitro.游离胆汁酸对大鼠空肠5-甲基四氢叶酸体外肠转运的抑制作用。
Gut. 1984 Dec;25(12):1376-9. doi: 10.1136/gut.25.12.1376.
7
Bile acids in combination with low pH induce oxidative stress and oxidative DNA damage: relevance to the pathogenesis of Barrett's oesophagus.胆汁酸与低pH值共同作用会引发氧化应激和氧化性DNA损伤:与巴雷特食管的发病机制相关。
Gut. 2007 Jun;56(6):763-71. doi: 10.1136/gut.2006.103697. Epub 2006 Dec 4.
8
Effect of bile salts and related compounds on isolated esophageal mucosa.胆汁盐及相关化合物对离体食管黏膜的作用。
Surgery. 1980 Mar;87(3):280-5.
9
Gastric mucosal toxicity of duodenal juice constituents in the rat. Acute studies using ex vivo rat gastric chamber model.大鼠十二指肠液成分的胃黏膜毒性。使用离体大鼠胃腔模型的急性研究。
Dig Dis Sci. 1994 Feb;39(2):327-39. doi: 10.1007/BF02090205.
10
Synergistic effect of hydrochloric acid and bile acids on the pars esophageal mucosa of the porcine stomach.盐酸和胆汁酸对猪胃食管部黏膜的协同作用。
Am J Vet Res. 1998 Sep;59(9):1170-6.

引用本文的文献

1
Jag1/2 maintain esophageal homeostasis and suppress foregut tumorigenesis by restricting the basal progenitor cell pool.Jag1/2 通过限制基础祖细胞池来维持食管稳态并抑制前肠肿瘤发生。
Nat Commun. 2024 May 15;15(1):4124. doi: 10.1038/s41467-024-48347-5.
2
Visceral Obesity, Metabolic Syndrome, and Esophageal Adenocarcinoma.内脏肥胖、代谢综合征与食管腺癌
Front Oncol. 2021 Mar 12;11:627270. doi: 10.3389/fonc.2021.627270. eCollection 2021.
3
Long-term comparison of boomerang-shaped jejunal interposition and Billroth-I reconstruction after distal gastrectomy.

本文引用的文献

1
Anticholinergic therapy of gastrointestinal disorders.
N Engl J Med. 1963 Jun 27;268:1454-7. doi: 10.1056/NEJM196306272682608.
2
A clinical test for esophagitis.一项食管炎的临床检测。
Gastroenterology. 1958 May;34(5):760-81.
3
Oesophageal epithelial ultrastructure after incubation with gastrointestinal fluids and their components.
J Pathol. 1981 Jan;133(1):33-51. doi: 10.1002/path.1711330105.
4
远端胃切除术后回肠袢状间置术与毕罗一式重建术的长期比较
World J Surg. 2015 May;39(5):1127-33. doi: 10.1007/s00268-015-2941-8.
4
Upper gastrointestinal cancer and reflux disease.上消化道癌症和反流性疾病。
J Gastric Cancer. 2013 Jun;13(2):79-85. doi: 10.5230/jgc.2013.13.2.79. Epub 2013 Jun 25.
5
Morbidity and mortality results from a prospective randomized controlled trial comparing Billroth I and Roux-en-Y reconstructive procedures after distal gastrectomy for gastric cancer.胃癌行远端胃大部切除术后比较 Billroth I 式与 Roux-en-Y 重建术的前瞻性随机对照临床试验的并发症和死亡率结果。
World J Surg. 2012 Mar;36(3):632-7. doi: 10.1007/s00268-011-1408-9.
6
Expression of bile acid transporting proteins in Barrett's esophagus and esophageal adenocarcinoma.胆汁酸转运蛋白在巴雷特食管和食管腺癌中的表达。
Am J Gastroenterol. 2009 Feb;104(2):302-9. doi: 10.1038/ajg.2008.85. Epub 2009 Jan 27.
7
Prospective randomized trial comparing Billroth I and Roux-en-Y procedures after distal gastrectomy for gastric carcinoma.比较胃癌远端胃切除术后毕Ⅰ式和 Roux-en-Y 术式的前瞻性随机试验。
World J Surg. 2005 Nov;29(11):1415-20; discussion 1421. doi: 10.1007/s00268-005-7830-0.
8
Reconstructive procedure after distal gastrectomy for gastric cancer that best prevents duodenogastroesophageal reflux.胃癌远端胃切除术后能最佳预防十二指肠-胃-食管反流的重建手术。
World J Surg. 2002 Dec;26(12):1452-7. doi: 10.1007/s00268-002-6363-z. Epub 2002 Oct 10.
9
Molecular evolution of the metaplasia-dysplasia-adenocarcinoma sequence in the esophagus.食管化生-发育异常-腺癌序列的分子进化
Am J Pathol. 1999 Apr;154(4):965-73. doi: 10.1016/S0002-9440(10)65346-1.
10
Toxic bile acids in gastro-oesophageal reflux disease: influence of gastric acidity.胃食管反流病中的毒性胆汁酸:胃酸的影响
Gut. 1999 May;44(5):598-602. doi: 10.1136/gut.44.5.598.
The pattern of bile salt reflux and acid secretion in sliding hiatal hernia.
滑动性食管裂孔疝中胆汁盐反流和胃酸分泌的模式。
Br J Surg. 1974 Aug;61(8):611-6. doi: 10.1002/bjs.1800610806.
5
The significance of bile in reflux esophagitis.
Surg Gynecol Obstet. 1972 Mar;134(3):419-24.
6
Experimental manipulation of desmosome structure.
Am J Anat. 1973 Aug;137(4):403-21. doi: 10.1002/aja.1001370404.
7
Symptomatic gastroesophageal reflux: incidence and precipitating factors.症状性胃食管反流:发病率及诱发因素
Am J Dig Dis. 1976 Nov;21(11):953-6. doi: 10.1007/BF01071906.
8
Reflux esophagitis: pathogenesis, diagnosis, and management.
Arch Intern Med. 1976 May;136(5):560-6. doi: 10.1001/archinte.136.5.560.
9
Pathophysiology and diagnosis of reflux esophagitis.
Gastroenterology. 1976 Mar;70(3):445-54.
10
Gastroesophageal reflux following gastric operation.
Ann Thorac Surg. 1978 Dec;26(6):563-73. doi: 10.1016/s0003-4975(10)62943-8.