Suppr超能文献

黄疸与伤口愈合:一项组织培养研究。

Jaundice and wound healing: a tissue-culture study.

作者信息

Taube M, Elliot P, Ellis H

出版信息

Br J Exp Pathol. 1981 Jun;62(3):227-31.

Abstract

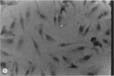
The effects of jaundice on wound healing have been studied by growing fibroblasts, in vitro, in normal culture media, in culture media to which bilirubin has been added, and in culture media containing sera from jaundiced patients. It has been found that the addition of bilirubin to the culture media causes morphological changes in the fibroblasts, and impairs the growth of cells. The addition of jaundiced human sera to the culture also causes similar changes.

摘要

通过在体外正常培养基、添加胆红素的培养基以及含有黄疸患者血清的培养基中培养成纤维细胞,研究了黄疸对伤口愈合的影响。已发现向培养基中添加胆红素会导致成纤维细胞形态发生变化,并损害细胞生长。向培养基中添加黄疸患者的血清也会引起类似变化。

https://cdn.ncbi.nlm.nih.gov/pmc/blobs/a4a1/2041685/63f0c015ac16/brjexppathol00111-0018-a.jpg

文献AI研究员

20分钟写一篇综述,助力文献阅读效率提升50倍。

立即体验

用中文搜PubMed

大模型驱动的PubMed中文搜索引擎

马上搜索

文档翻译

学术文献翻译模型,支持多种主流文档格式。

立即体验