• 文献检索
  • 文档翻译
  • 深度研究
  • 学术资讯
  • Suppr Zotero 插件Zotero 插件
  • 邀请有礼
  • 套餐&价格
  • 历史记录
应用&插件
Suppr Zotero 插件Zotero 插件浏览器插件Mac 客户端Windows 客户端微信小程序
定价
高级版会员购买积分包购买API积分包
服务
文献检索文档翻译深度研究API 文档MCP 服务
关于我们
关于 Suppr公司介绍联系我们用户协议隐私条款
关注我们

Suppr 超能文献

核心技术专利:CN118964589B侵权必究
粤ICP备2023148730 号-1Suppr @ 2026

文献检索

告别复杂PubMed语法,用中文像聊天一样搜索,搜遍4000万医学文献。AI智能推荐,让科研检索更轻松。

立即免费搜索

文件翻译

保留排版,准确专业,支持PDF/Word/PPT等文件格式,支持 12+语言互译。

免费翻译文档

深度研究

AI帮你快速写综述,25分钟生成高质量综述,智能提取关键信息,辅助科研写作。

立即免费体验

视网膜中央静脉阻塞:28例29只眼的前瞻性组织病理学研究

Central retinal vein occlusion: a prospective histopathologic study of 29 eyes in 28 cases.

作者信息

Green W R, Chan C C, Hutchins G M, Terry J M

出版信息

Trans Am Ophthalmol Soc. 1981;79:371-422.

PMID:7342407
原文链接:https://pmc.ncbi.nlm.nih.gov/articles/PMC1312193/
Abstract

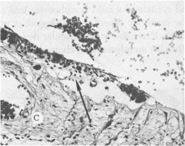
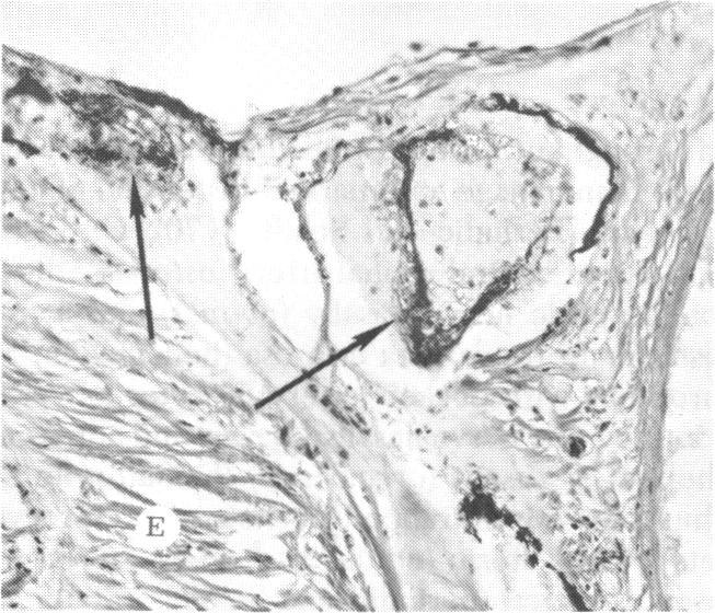
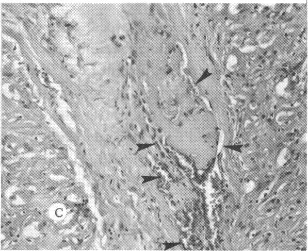
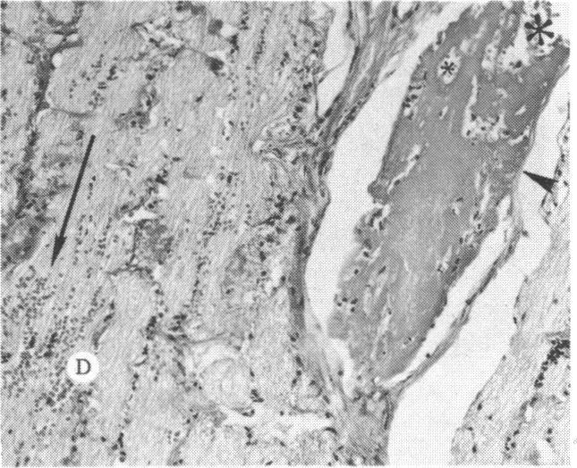
The clinical and histopathologic features of 29 eyes from 29 patients with central retinal vein occlusion (CRVO) are reported. A fresh or a recanalized thrombus was observed in each eye. This study considers the temporal aspects of the cases, and it notes the different morphologic features of the occlusion. These observations explain most of the variability of the changes observed in previous reports. We believe that these different features represent the various stages in the natural evolution of such a thrombus. The interval between CRVO and histopathologic study in our series ranged from six hours to more than 10 years. Local and systemic factors were reviewed and were found to be important in the pathogenesis of thrombus formation. Local diseases with a predisposing effect on CRVO included: glaucoma, papilledema, subdural hemorrhage, optic nerve hemorrhage, and drusen of the optic nerve head. Associated systemic diseases included: hypertension, cardiovascular and cerebrovascular disease, diabetes mellitus, and leukemia with thrombocytopenia. A fresh thrombus in the CRVO was observed in three (10.3%), and a recanalized thrombus in 26 eyes (89.7%). Endothelial-cell proliferation was a conspicuous feature in 14 (48.3%) of the eyes. Chronic inflammation in the area of the thrombus, and/or vein wall or perivenular area was observed in 14 (48.3%) of the eyes. Arterial occlusive disease was observed in seven eyes (24.6%). Cystoid macular edema was found in 26 (89.7%) of the eyes.

摘要

报告了29例视网膜中央静脉阻塞(CRVO)患者29只眼的临床和组织病理学特征。每只眼中均观察到新鲜或再通的血栓。本研究考虑了病例的时间因素,并记录了阻塞的不同形态学特征。这些观察结果解释了先前报告中观察到的变化的大部分变异性。我们认为这些不同特征代表了此类血栓自然演变的各个阶段。我们系列中CRVO与组织病理学研究之间的间隔时间从6小时到10多年不等。对局部和全身因素进行了回顾,发现它们在血栓形成的发病机制中很重要。对CRVO有 predisposing 作用的局部疾病包括:青光眼、视乳头水肿、硬膜下出血、视神经出血和视神经乳头玻璃膜疣。相关的全身疾病包括:高血压、心血管和脑血管疾病、糖尿病以及伴有血小板减少的白血病。在CRVO中观察到3只眼(10.3%)有新鲜血栓,26只眼(89.7%)有再通血栓。14只眼(48.3%)中内皮细胞增殖是一个显著特征。14只眼(48.3%)中观察到血栓区域、和/或静脉壁或静脉周围区域有慢性炎症。7只眼(24.6%)中观察到动脉闭塞性疾病。26只眼(89.7%)中发现黄斑囊样水肿。 (注:文中“predisposing”可能是“易患的”意思,但在专业医学语境中,可能有更准确特定含义,这里按常见理解翻译,具体含义需结合医学专业知识进一步确认。)

https://cdn.ncbi.nlm.nih.gov/pmc/blobs/98a5/1312193/c5690c80b496/taos00020-0407-c.jpg
https://cdn.ncbi.nlm.nih.gov/pmc/blobs/98a5/1312193/1a9b03b72865/taos00020-0418-a.jpg
https://cdn.ncbi.nlm.nih.gov/pmc/blobs/98a5/1312193/222961199ba0/taos00020-0418-b.jpg
https://cdn.ncbi.nlm.nih.gov/pmc/blobs/98a5/1312193/3c0f7dc7adfa/taos00020-0418-c.jpg
https://cdn.ncbi.nlm.nih.gov/pmc/blobs/98a5/1312193/6896051a5949/taos00020-0418-d.jpg
https://cdn.ncbi.nlm.nih.gov/pmc/blobs/98a5/1312193/f9b20fd129b8/taos00020-0418-e.jpg
https://cdn.ncbi.nlm.nih.gov/pmc/blobs/98a5/1312193/8ceae920fc71/taos00020-0418-f.jpg
https://cdn.ncbi.nlm.nih.gov/pmc/blobs/98a5/1312193/35a2fe4502d9/taos00020-0418-g.jpg
https://cdn.ncbi.nlm.nih.gov/pmc/blobs/98a5/1312193/f52736f1f16c/taos00020-0398-b.jpg
https://cdn.ncbi.nlm.nih.gov/pmc/blobs/98a5/1312193/1cb5db1e07cb/taos00020-0398-c.jpg
https://cdn.ncbi.nlm.nih.gov/pmc/blobs/98a5/1312193/cafebe84865d/taos00020-0400-a.jpg
https://cdn.ncbi.nlm.nih.gov/pmc/blobs/98a5/1312193/778ff3f16d10/taos00020-0400-b.jpg
https://cdn.ncbi.nlm.nih.gov/pmc/blobs/98a5/1312193/9f298977061c/taos00020-0400-c.jpg
https://cdn.ncbi.nlm.nih.gov/pmc/blobs/98a5/1312193/d0fefabefad1/taos00020-0400-d.jpg
https://cdn.ncbi.nlm.nih.gov/pmc/blobs/98a5/1312193/2a4f7f40fd04/taos00020-0400-e.jpg
https://cdn.ncbi.nlm.nih.gov/pmc/blobs/98a5/1312193/53e7b6d4655e/taos00020-0401-a.jpg
https://cdn.ncbi.nlm.nih.gov/pmc/blobs/98a5/1312193/5cbbd5da85b1/taos00020-0401-b.jpg
https://cdn.ncbi.nlm.nih.gov/pmc/blobs/98a5/1312193/7aaae59e9e91/taos00020-0401-c.jpg
https://cdn.ncbi.nlm.nih.gov/pmc/blobs/98a5/1312193/8fc385199b70/taos00020-0401-d.jpg
https://cdn.ncbi.nlm.nih.gov/pmc/blobs/98a5/1312193/d581e281c64f/taos00020-0401-e.jpg
https://cdn.ncbi.nlm.nih.gov/pmc/blobs/98a5/1312193/318f466adc99/taos00020-0401-f.jpg
https://cdn.ncbi.nlm.nih.gov/pmc/blobs/98a5/1312193/a27beb57d891/taos00020-0403-a.jpg
https://cdn.ncbi.nlm.nih.gov/pmc/blobs/98a5/1312193/396370944287/taos00020-0403-b.jpg
https://cdn.ncbi.nlm.nih.gov/pmc/blobs/98a5/1312193/cb1925f87d03/taos00020-0403-c.jpg
https://cdn.ncbi.nlm.nih.gov/pmc/blobs/98a5/1312193/519602691dd4/taos00020-0405-a.jpg
https://cdn.ncbi.nlm.nih.gov/pmc/blobs/98a5/1312193/79684ce6a438/taos00020-0405-b.jpg
https://cdn.ncbi.nlm.nih.gov/pmc/blobs/98a5/1312193/4db80157f372/taos00020-0405-c.jpg
https://cdn.ncbi.nlm.nih.gov/pmc/blobs/98a5/1312193/8f8a1e6620ba/taos00020-0406-a.jpg
https://cdn.ncbi.nlm.nih.gov/pmc/blobs/98a5/1312193/adf4941c33a8/taos00020-0406-b.jpg
https://cdn.ncbi.nlm.nih.gov/pmc/blobs/98a5/1312193/55acde582d95/taos00020-0407-a.jpg
https://cdn.ncbi.nlm.nih.gov/pmc/blobs/98a5/1312193/03cc762dd16e/taos00020-0407-b.jpg
https://cdn.ncbi.nlm.nih.gov/pmc/blobs/98a5/1312193/c5690c80b496/taos00020-0407-c.jpg
https://cdn.ncbi.nlm.nih.gov/pmc/blobs/98a5/1312193/1a9b03b72865/taos00020-0418-a.jpg
https://cdn.ncbi.nlm.nih.gov/pmc/blobs/98a5/1312193/222961199ba0/taos00020-0418-b.jpg
https://cdn.ncbi.nlm.nih.gov/pmc/blobs/98a5/1312193/3c0f7dc7adfa/taos00020-0418-c.jpg
https://cdn.ncbi.nlm.nih.gov/pmc/blobs/98a5/1312193/6896051a5949/taos00020-0418-d.jpg
https://cdn.ncbi.nlm.nih.gov/pmc/blobs/98a5/1312193/f9b20fd129b8/taos00020-0418-e.jpg
https://cdn.ncbi.nlm.nih.gov/pmc/blobs/98a5/1312193/8ceae920fc71/taos00020-0418-f.jpg
https://cdn.ncbi.nlm.nih.gov/pmc/blobs/98a5/1312193/35a2fe4502d9/taos00020-0418-g.jpg
https://cdn.ncbi.nlm.nih.gov/pmc/blobs/98a5/1312193/f52736f1f16c/taos00020-0398-b.jpg
https://cdn.ncbi.nlm.nih.gov/pmc/blobs/98a5/1312193/1cb5db1e07cb/taos00020-0398-c.jpg
https://cdn.ncbi.nlm.nih.gov/pmc/blobs/98a5/1312193/cafebe84865d/taos00020-0400-a.jpg
https://cdn.ncbi.nlm.nih.gov/pmc/blobs/98a5/1312193/778ff3f16d10/taos00020-0400-b.jpg
https://cdn.ncbi.nlm.nih.gov/pmc/blobs/98a5/1312193/9f298977061c/taos00020-0400-c.jpg
https://cdn.ncbi.nlm.nih.gov/pmc/blobs/98a5/1312193/d0fefabefad1/taos00020-0400-d.jpg
https://cdn.ncbi.nlm.nih.gov/pmc/blobs/98a5/1312193/2a4f7f40fd04/taos00020-0400-e.jpg
https://cdn.ncbi.nlm.nih.gov/pmc/blobs/98a5/1312193/53e7b6d4655e/taos00020-0401-a.jpg
https://cdn.ncbi.nlm.nih.gov/pmc/blobs/98a5/1312193/5cbbd5da85b1/taos00020-0401-b.jpg
https://cdn.ncbi.nlm.nih.gov/pmc/blobs/98a5/1312193/7aaae59e9e91/taos00020-0401-c.jpg
https://cdn.ncbi.nlm.nih.gov/pmc/blobs/98a5/1312193/8fc385199b70/taos00020-0401-d.jpg
https://cdn.ncbi.nlm.nih.gov/pmc/blobs/98a5/1312193/d581e281c64f/taos00020-0401-e.jpg
https://cdn.ncbi.nlm.nih.gov/pmc/blobs/98a5/1312193/318f466adc99/taos00020-0401-f.jpg
https://cdn.ncbi.nlm.nih.gov/pmc/blobs/98a5/1312193/a27beb57d891/taos00020-0403-a.jpg
https://cdn.ncbi.nlm.nih.gov/pmc/blobs/98a5/1312193/396370944287/taos00020-0403-b.jpg
https://cdn.ncbi.nlm.nih.gov/pmc/blobs/98a5/1312193/cb1925f87d03/taos00020-0403-c.jpg
https://cdn.ncbi.nlm.nih.gov/pmc/blobs/98a5/1312193/519602691dd4/taos00020-0405-a.jpg
https://cdn.ncbi.nlm.nih.gov/pmc/blobs/98a5/1312193/79684ce6a438/taos00020-0405-b.jpg
https://cdn.ncbi.nlm.nih.gov/pmc/blobs/98a5/1312193/4db80157f372/taos00020-0405-c.jpg
https://cdn.ncbi.nlm.nih.gov/pmc/blobs/98a5/1312193/8f8a1e6620ba/taos00020-0406-a.jpg
https://cdn.ncbi.nlm.nih.gov/pmc/blobs/98a5/1312193/adf4941c33a8/taos00020-0406-b.jpg
https://cdn.ncbi.nlm.nih.gov/pmc/blobs/98a5/1312193/55acde582d95/taos00020-0407-a.jpg
https://cdn.ncbi.nlm.nih.gov/pmc/blobs/98a5/1312193/03cc762dd16e/taos00020-0407-b.jpg
https://cdn.ncbi.nlm.nih.gov/pmc/blobs/98a5/1312193/c5690c80b496/taos00020-0407-c.jpg

相似文献

1
Central retinal vein occlusion: a prospective histopathologic study of 29 eyes in 28 cases.视网膜中央静脉阻塞:28例29只眼的前瞻性组织病理学研究
Trans Am Ophthalmol Soc. 1981;79:371-422.
2
Central retinal vein occlusion: a prospective histopathologic study of 29 eyes in 28 cases.视网膜中央静脉阻塞:28例29只眼的前瞻性组织病理学研究
Retina. 1981;1(1):27-55.
3
Alterations to vascular endothelium in the optic nerve head in patients with vascular comorbidities.血管病变患者视神经乳头血管内皮的改变。
Exp Eye Res. 2013 Jun;111:50-60. doi: 10.1016/j.exer.2013.03.005. Epub 2013 Mar 19.
4
Histopathologic study of nine branch retinal vein occlusions.九例视网膜分支静脉阻塞的组织病理学研究。
Arch Ophthalmol. 1982 Jul;100(7):1132-40. doi: 10.1001/archopht.1982.01030040110020.
5
[Optic neurotomy for central retinal vein occlusion].[视网膜中央静脉阻塞的视神经切断术]
Zhonghua Yan Ke Za Zhi. 2004 Mar;40(3):170-4.
6
Prevalent misconceptions about acute retinal vascular occlusive disorders.关于急性视网膜血管阻塞性疾病的普遍误解。
Prog Retin Eye Res. 2005 Jul;24(4):493-519. doi: 10.1016/j.preteyeres.2004.12.001.
7
Enhanced depth imaging optical coherence tomography of deep optic nerve complex structures in glaucoma.青光眼深层视神经复合体结构的增强深度成像光相干断层扫描。
Ophthalmology. 2012 Jan;119(1):3-9. doi: 10.1016/j.ophtha.2011.07.012. Epub 2011 Oct 5.
8
[A new approach for studying the retinal and choroidal circulation].[一种研究视网膜和脉络膜循环的新方法]
Nippon Ganka Gakkai Zasshi. 2004 Dec;108(12):836-61; discussion 862.
9
Association of systemic diseases with retinal vein occlusive disease.全身性疾病与视网膜静脉阻塞性疾病的关联。
JNMA J Nepal Med Assoc. 2006 Apr-Jun;45(162):244-8.
10
Radial optic neurotomy for central retinal vein occlusion: results of the Pan-American Collaborative Retina Study Group (PACORES).用于治疗视网膜中央静脉阻塞的放射状视神经切开术:泛美视网膜协作研究组(PACORES)的研究结果
Retina. 2008 Oct;28(8):1044-52. doi: 10.1097/IAE.0b013e3181744153.

引用本文的文献

1
Influence of Retinal Venous Pressure on Visual and Structural Outcomes in Eyes with Central Retinal Vein Occlusion Undergoing Anti-VEGF Treatment.视网膜静脉压力对接受抗VEGF治疗的视网膜中央静脉阻塞患者眼部视觉和结构预后的影响。
Clin Ophthalmol. 2025 Aug 1;19:2551-2563. doi: 10.2147/OPTH.S533016. eCollection 2025.
2
Risk of Retinal Vein Occlusion between Glucagon-Like Peptide-1 Receptor Agonists and Dipeptidyl Peptidase-4 Inhibitors in Type 2 Diabetes: A Retrospective Cohort Study.2型糖尿病患者中胰高血糖素样肽-1受体激动剂与二肽基肽酶-4抑制剂相比发生视网膜静脉阻塞的风险:一项回顾性队列研究
Ophthalmol Sci. 2025 Feb 7;5(4):100734. doi: 10.1016/j.xops.2025.100734. eCollection 2025 Jul-Aug.
3

本文引用的文献

1
Medical Investigation of Retinal Vascular Occlusion.视网膜血管阻塞的医学研究。
Br Med J. 1964 Oct 31;2(5417):1093-8. doi: 10.1136/bmj.2.5417.1093.
2
RETINAL PATHOLOGY AFTER CENTRAL RETINAL VEIN OCCLUSION.视网膜中央静脉阻塞后的视网膜病理学
Br J Ophthalmol. 1961 Oct;45(10):683-94. doi: 10.1136/bjo.45.10.683.
3
Retinal vein occlusion. Clinical and experimental observations.视网膜静脉阻塞。临床与实验观察。
The effect of coagulation traits on the risk of retinal vein occlusion: a mendelian randomization study.
凝血特征对视网膜静脉阻塞风险的影响:一项孟德尔随机化研究。
Sci Rep. 2025 Jan 24;15(1):3052. doi: 10.1038/s41598-025-87648-7.
4
Complement C3 is downregulated following ranibizumab intervention in experimental central retinal vein occlusion.在实验性视网膜中央静脉阻塞中,雷珠单抗干预后补体 C3 下调。
Mol Vis. 2024 Jul 2;30:268-277. eCollection 2024.
5
Prognosis and factors related to anti-VEGF therapy in patients with retinal vein occlusion and concomitant carotid artery disease.视网膜静脉阻塞合并颈动脉疾病患者的抗 VEGF 治疗的预后和相关因素。
Sci Rep. 2024 Oct 20;14(1):24634. doi: 10.1038/s41598-024-75604-w.
6
Integrated Assessment of OCT, Multimodal Imaging, and Cytokine Markers for Predicting Treatment Responses in Retinal Vein Occlusion Associated Macular Edema: A Comparative Review of Anti-VEGF and Steroid Therapies.用于预测视网膜静脉阻塞相关性黄斑水肿治疗反应的光学相干断层扫描、多模态成像和细胞因子标志物的综合评估:抗血管内皮生长因子和类固醇疗法的比较性综述
Diagnostics (Basel). 2024 Sep 7;14(17):1983. doi: 10.3390/diagnostics14171983.
7
Liquid-Driven Microinjection System for Precise Fundus Injection.液体驱动的微注射系统,用于精确的眼底注射。
Sensors (Basel). 2024 Mar 27;24(7):2140. doi: 10.3390/s24072140.
8
Proteome Analysis of Bevacizumab Intervention in Experimental Central Retinal Vein Occlusion.贝伐单抗干预实验性视网膜中央静脉阻塞的蛋白质组学分析
J Pers Med. 2023 Nov 7;13(11):1580. doi: 10.3390/jpm13111580.
9
Prevention and Treatment of Retinal Vein Occlusion: The Role of Diet-A Review.防治视网膜静脉阻塞:饮食的作用——综述。
Nutrients. 2023 Jul 21;15(14):3237. doi: 10.3390/nu15143237.
10
Impact of statin treatment on cardiovascular events in patients with retinal vein occlusion: a nested case-control study in Korea.他汀类药物治疗对视网膜静脉阻塞患者心血管事件的影响:韩国的一项嵌套病例对照研究。
Epidemiol Health. 2023;45:e2023035. doi: 10.4178/epih.e2023035. Epub 2023 Mar 15.
Am J Ophthalmol. 1951 May;34(5 1):677-86. doi: 10.1016/0002-9394(51)92277-5.
4
CENTRAL RETINAL VEIN OCCLUSIONS AND CHRONIC SIMPLE GLAUCOMA.视网膜中央静脉阻塞与慢性单纯性青光眼。
Arch Ophthalmol. 1965 May;73:659-63. doi: 10.1001/archopht.1965.00970030661012.
5
VENOUS-STASIS RETINOPATHY OF OCCLUSIVE DISEASE OF THE CAROTID ARTERY.颈动脉阻塞性疾病的静脉淤滞性视网膜病变
Proc Staff Meet Mayo Clin. 1963 Jul 17;38:304-12.
6
[Glands of the optic nerve papillae and of pigment epithelium].[视神经乳头和色素上皮的腺体]
Klin Monbl Augenheilkd Augenarztl Fortbild. 1962 Feb;140:75-88.
7
Arteriosclerosis secondary to retinal vein obstruction.视网膜静脉阻塞继发的动脉硬化
Trans Am Ophthalmol Soc. 1958;56:361-80; discussion 380-2.
8
Venous occlusions in the retina.视网膜静脉阻塞
Ophthalmologica. 1953 Dec;126(6):329-47. doi: 10.1159/000301891.
9
Occlusion of the central retinal vein; clinical importance of certain histopathologic observations.视网膜中央静脉阻塞;某些组织病理学观察结果的临床重要性。
Am J Ophthalmol. 1953 Mar;36(3):316-24. doi: 10.1016/0002-9394(53)91373-7.
10
Central retinal vein occlusion in Reye's syndrome.瑞氏综合征中的视网膜中央静脉阻塞
Arch Ophthalmol. 1980 Jul;98(7):1256-60. doi: 10.1001/archopht.1980.01020040108016.