Suppr超能文献

两性霉素B诱导酵母相荚膜组织胞浆菌钾含量、活力及超微结构的变化。

Amphotericin B-induced changes in K+ content, viability, and ultrastructure of yeast-phase Histoplasma capsulatum.

作者信息

Arnold W N, Pringle A T, Garrison R G

出版信息

J Bacteriol. 1980 Jan;141(1):350-8. doi: 10.1128/jb.141.1.350-358.1980.

Abstract

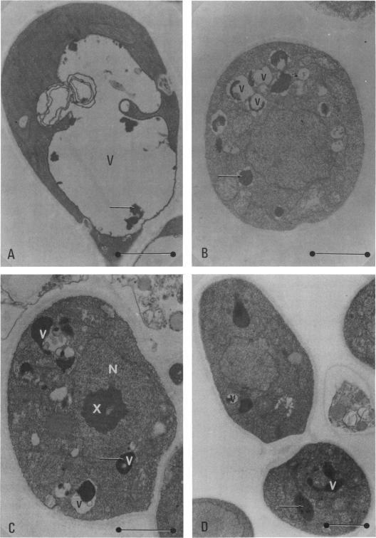
Yeast-phase cells of Histoplasma capsulatum were challenged with amphotericin B, and membrane perturbation was monitored by K+ efflux. Suspensions of washed cells readily absorbed about 1.12 microgram of amphotericin B per mg (dry weight) and further nonspecific sites were also apparent. The dose-response curve for initial rate of K+ efflux was sigmoidal within the range 0.1 to 1.0 microgram of amphotericin B per ml. A fungistatic concentration of amphotericin B (0.3 microgram/ml) evoked an efflux of 85 to 90% K+ from the cells within 15 min, but cell viability decreased only 13% (yeast phase) or 33% (transformed to mycelial units). Ultrastructural changes in treated cells were detected within 5 min, and the hallmark was expansion of vacuoles during the 1-h monitoring period. In contradistinction to a previous report, the appearance of the protoplasmic membrane was not altered by fungistatic concentration. When treated cells were returned to a fresh growth medium, there was a pronounced lag (20 h). During this apparent recovery phase, the large vacuoles fragmented and returned to normal size. It is proposed that vacuoles of H. capsulatum act as a spatial buffer of considerable survival value to stressed cells.

摘要

荚膜组织胞浆菌的酵母相细胞用两性霉素B进行攻击,并通过钾离子外流监测膜扰动情况。洗涤过的细胞悬液每毫克(干重)很容易吸收约1.12微克两性霉素B,而且其他非特异性位点也很明显。钾离子外流初始速率的剂量反应曲线在每毫升0.1至1.0微克两性霉素B的范围内呈S形。两性霉素B的抑菌浓度(0.3微克/毫升)在15分钟内可使细胞内85%至90%的钾离子外流,但细胞活力仅下降13%(酵母相)或33%(转化为菌丝单位)。在5分钟内即可检测到处理过的细胞的超微结构变化,其特征是在1小时的监测期内液泡膨胀。与之前的一份报告不同,抑菌浓度并未改变原生质膜的外观。当将处理过的细胞放回新鲜生长培养基中时,会出现明显的延迟(20小时)。在这个明显的恢复阶段,大液泡破碎并恢复到正常大小。有人提出,荚膜组织胞浆菌的液泡作为一种空间缓冲器,对受应激的细胞具有相当大的生存价值。

https://cdn.ncbi.nlm.nih.gov/pmc/blobs/4aaf/293597/f4030f584636/jbacter00562-0370-a.jpg

文献AI研究员

20分钟写一篇综述,助力文献阅读效率提升50倍。

立即体验

用中文搜PubMed

大模型驱动的PubMed中文搜索引擎

马上搜索

文档翻译

学术文献翻译模型,支持多种主流文档格式。

立即体验