Suppr超能文献

乳糜泻前期或早期黏膜:麸质肠病的发展

Early or pre-coeliac mucosa: development of gluten enteropathy.

作者信息

Egan-Mitchell B, Fottrell P F, McNicholl B

出版信息

Gut. 1981 Jan;22(1):65-9. doi: 10.1136/gut.22.1.65.

Abstract

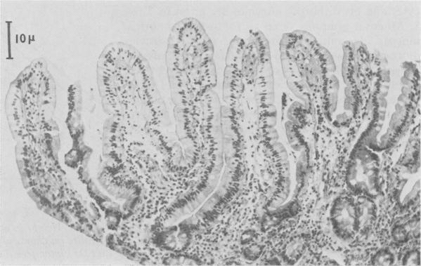
Duodenal mucosa showed normal morphology, interepithelial lymphocytes, alkaline phosphatase, and sucrase in a girl with growth retardation and iron deficiency, but normal absorption of lactose and xylose after two years of abnormal stools. Mucosal lactase was low. Fourteen months later mucosal damage consistent with coeliac disease was evident, and gluten intolerance was subsequently confirmed by gluten challenge. It is probable that, in some children, the mucosal lesion occurs very gradually, so that at an early stage with normal morphology, suppression of lactase activity and possibly interference with iron absorption may be the only abnormalities.

摘要

一名生长发育迟缓且缺铁的女孩,十二指肠黏膜形态正常,存在上皮间淋巴细胞、碱性磷酸酶和蔗糖酶,但在两年大便异常后乳糖和木糖吸收正常。黏膜乳糖酶水平较低。14个月后,出现了与乳糜泻相符的黏膜损伤,随后通过麸质激发试验证实了麸质不耐受。在一些儿童中,黏膜病变可能进展非常缓慢,以至于在早期形态正常时,乳糖酶活性受抑制以及可能对铁吸收的干扰可能是仅有的异常表现。

https://cdn.ncbi.nlm.nih.gov/pmc/blobs/db1c/1419315/97323df629af/gut00422-0078-a.jpg

文献AI研究员

20分钟写一篇综述,助力文献阅读效率提升50倍。

立即体验

用中文搜PubMed

大模型驱动的PubMed中文搜索引擎

马上搜索

文档翻译

学术文献翻译模型,支持多种主流文档格式。

立即体验