Suppr超能文献

一名艾滋病患者的播散性皮肤结核分枝杆菌感染

Disseminated cutaneous Mycobacterium tuberculosis infection in a patient with AIDS.

作者信息

Corbett E L, Crossley I, De Cock K M, Miller R F

机构信息

HIV/AIDS Unit, Camden and Islington Community Health Services NHS Trust, Middlesex Hospital, London, UK.

出版信息

Genitourin Med. 1995 Oct;71(5):308-10. doi: 10.1136/sti.71.5.308.

Abstract

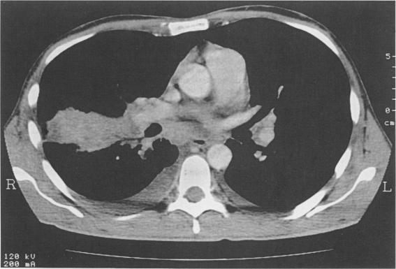
Individuals infected with the human immunodeficiency virus (HIV) are at an increased risk of both pulmonary and extrapulmonary tuberculosis. Disseminated cutaneous tuberculosis is rare, but has been reported in four HIV-positive patients, all of whom also had pulmonary infection. In this report we describe an HIV-infected patient with a febrile illness and an abnormal chest radiograph who developed widespread cutaneous tuberculous pustules following a lymph node biopsy on the previous day.

摘要

感染人类免疫缺陷病毒(HIV)的个体患肺结核和肺外结核的风险均会增加。播散性皮肤结核较为罕见,但已有4例HIV阳性患者的相关报道,所有这些患者同时也患有肺部感染。在本报告中,我们描述了一名感染HIV的患者,其患有发热性疾病且胸部X光片异常,在前一天进行淋巴结活检后出现了广泛的皮肤结核脓疱。

https://cdn.ncbi.nlm.nih.gov/pmc/blobs/4cc2/1195547/42e70ee5475d/genitmed00017-0040-a.jpg

文献检索

告别复杂PubMed语法,用中文像聊天一样搜索,搜遍4000万医学文献。AI智能推荐,让科研检索更轻松。

立即免费搜索

文件翻译

保留排版,准确专业,支持PDF/Word/PPT等文件格式,支持 12+语言互译。

免费翻译文档

深度研究

AI帮你快速写综述,25分钟生成高质量综述,智能提取关键信息,辅助科研写作。

立即免费体验