Imbert V, Peyron J F, Farahi Far D, Mari B, Auberger P, Rossi B
INSERM U364, Faculté de Médecine, Nice, France.
Biochem J. 1994 Jan 1;297 ( Pt 1)(Pt 1):163-73. doi: 10.1042/bj2970163.
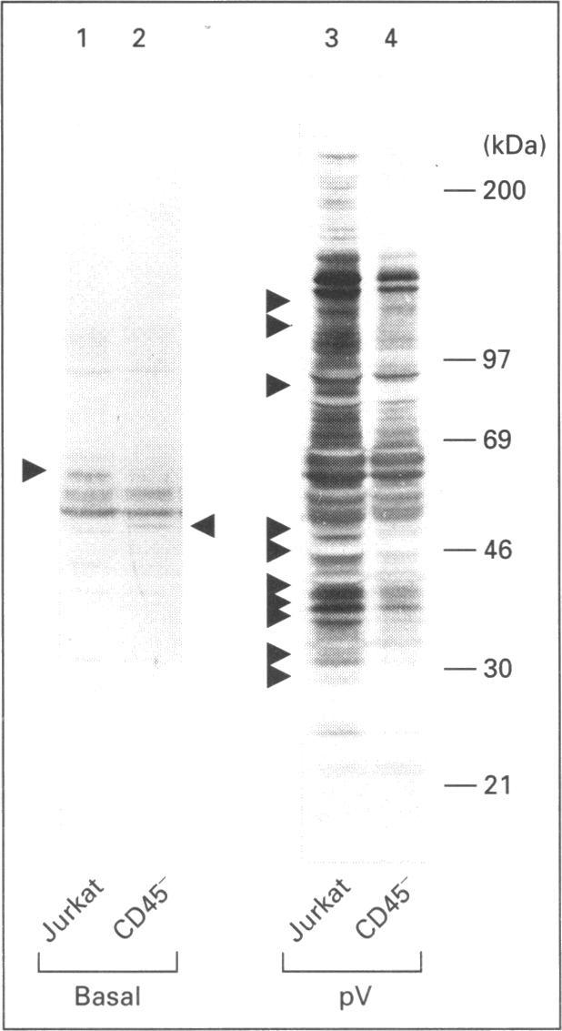
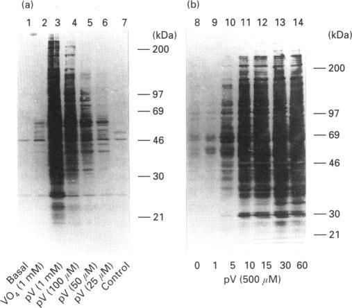
Rapid tyrosine phosphorylation of key cellular proteins is a crucial event in the transduction of activation signals to T-lymphocytes. The regulatory role of protein tyrosine phosphatases (PTPases) in this process was explored by studying the effects of a powerful PTPase inhibitor, vanadate peroxide (pervanadate), on the activation cascade of Jurkat human leukaemic T-cells. Pervanadate induced activation of the tyrosine kinases lck and fyn (4- and 3-fold respectively) and a dramatic increase in tyrosine phosphorylation of cellular proteins, notably phospholipase C gamma 1. After this event, we observed a rise in intracellular Ca2+ concentration, corresponding to an influx. This effect required surface expression of the CD45 PTPase and was not observed in CD45-deficient variants of Jurkat cells. In the CD45-negative variant, the effect of pervanadate on tyrosine phosphorylation was globally decreased and some phosphorylated substrates were specifically missing. Pervanadate also stimulated transcription of the c-fos gene and accumulation of its mRNA as well as several other hallmarks of T-lymphocyte activation such as surface expression of the CD69 antigen and the interleukin 2 receptor alpha-chain (CD25). Pervanadate synergized with signals delivered by T-cell antigen receptor engagement or by a phorbol ester to induce interleukin 2 production. Pervanadate activated NF-kappa B, as shown by an increase in DNA-binding activity of this transcription factor. We thus conclude that PTPases play a crucial role in the negative regulation of signal transduction culminating in T-lymphocyte activation. Moreover, induction of tyrosine phosphorylation appears sufficient per se to initiate a complete activation programme.
关键细胞蛋白的快速酪氨酸磷酸化是激活信号转导至T淋巴细胞过程中的关键事件。通过研究一种强效蛋白酪氨酸磷酸酶(PTPase)抑制剂过氧钒酸盐(pervanadate)对Jurkat人白血病T细胞激活级联反应的影响,探讨了PTPase在此过程中的调节作用。过氧钒酸盐诱导酪氨酸激酶lck和fyn激活(分别为4倍和3倍),并使细胞蛋白的酪氨酸磷酸化显著增加,尤其是磷脂酶Cγ1。此事件之后,我们观察到细胞内Ca2+浓度升高,对应于Ca2+内流。这种效应需要CD45 PTPase的表面表达,在Jurkat细胞的CD45缺陷变体中未观察到。在CD45阴性变体中,过氧钒酸盐对酪氨酸磷酸化的作用总体降低,一些磷酸化底物特异性缺失。过氧钒酸盐还刺激c-fos基因的转录及其mRNA的积累,以及T淋巴细胞激活的其他几个标志,如CD69抗原和白细胞介素2受体α链(CD25)的表面表达。过氧钒酸盐与T细胞抗原受体结合或佛波酯传递的信号协同诱导白细胞介素2的产生。过氧钒酸盐激活了NF-κB,表现为该转录因子的DNA结合活性增加。因此,我们得出结论,PTPase在最终导致T淋巴细胞激活的信号转导负调控中起关键作用。此外,酪氨酸磷酸化的诱导本身似乎足以启动完整的激活程序。