Suppr超能文献

蛋白脂蛋白的重组:一些特性及其在片层间附着中的作用。

Reconstitution of proteolipid protein: some properties and its role in interlamellar attachment.

作者信息

ter Beest M B, Hoekstra K, Sein A, Hoekstra D

机构信息

Laboratory of Physiological Chemistry, University of Groningen, The Netherlands.

出版信息

Biochem J. 1994 Jun 1;300 ( Pt 2)(Pt 2):545-52. doi: 10.1042/bj3000545.

Abstract

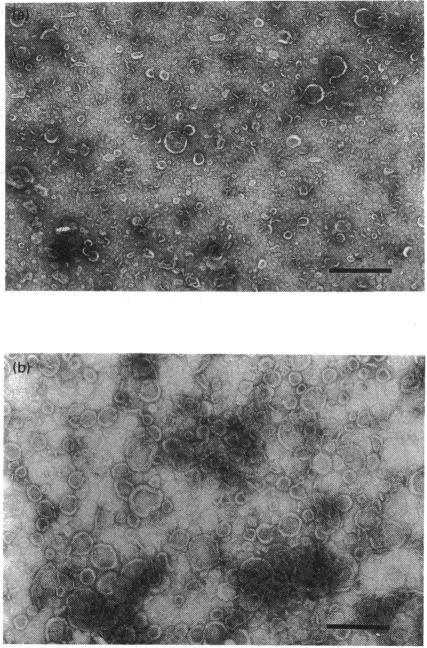
Proteolipid apoprotein (PLP) isolated from human brain was reconstituted in dioleoylphosphatidylcholine vesicles by dialysis from 2-chloroethanol, using a dialysis buffer of pH 5.0. Under these conditions, and in contrast with dialysis carried out at pH 7.4, well-defined unilamellar vesicles containing the protein were formed. As judged by electron microscopy and quasi-elastic light scattering, the size of the vesicles was determined by the initial protein/lipid ratio used for reconstitution. When the vesicles were incubated in a buffer at neutral pH, aggregation of the vesicles was observed, but their structure remained intact. Asymmetric aggregation occurred when the reconstituted vesicles were incubated with large unilamellar vesicles (LUVs) devoid of protein. This aggregation was accompanied by loss of membrane integrity, as revealed by extensive leakage of the LUVs, and by membrane lipid dilution, indicative of the occurrence of membrane fusion. Destabilization of the vesicles depended on the presence of negatively charged phosphatidylserine in the membrane of the LUVs. Similar effects, but to a lesser extent, were seen when the LUVs contained sulphatide, a negatively charged lipid prominently present in myelin. DM 20, a natural mutant of PLP, appeared to be far less potent in causing membrane lipid dilution than PLP. This could suggest that a distinct protein sequence of PLP, which is absent from DM 20, may be involved in triggering the observed membrane destabilization. Temperature-dependent experiments indicate that this sequence in PLP displays dynamic properties, its exposure being affected by conformational criteria. Exposure of this particular domain, in conjunction with its affinity for negatively charged lipid, could be related to a perturbation of the integrity of the myelin sheath, as will be discussed.

摘要

从人脑中分离出的蛋白脂质载脂蛋白(PLP),通过在pH 5.0的透析缓冲液中从2 - 氯乙醇中透析,被重构成二油酰磷脂酰胆碱囊泡。在这些条件下,与在pH 7.4进行的透析相反,形成了含有该蛋白质的明确的单层囊泡。通过电子显微镜和准弹性光散射判断,囊泡的大小由用于重构的初始蛋白质/脂质比决定。当囊泡在中性pH的缓冲液中孵育时,观察到囊泡聚集,但其结构保持完整。当重构的囊泡与不含蛋白质的大单层囊泡(LUVs)孵育时,发生不对称聚集。这种聚集伴随着LUVs广泛渗漏所揭示的膜完整性丧失,以及膜脂质稀释,这表明发生了膜融合。囊泡的不稳定取决于LUVs膜中带负电荷的磷脂酰丝氨酸的存在。当LUVs含有硫苷脂(一种在髓鞘中显著存在的带负电荷的脂质)时,也观察到类似但程度较小的影响。DM 20是PLP的天然突变体,在引起膜脂质稀释方面似乎远不如PLP有效。这可能表明PLP中一个DM 20所没有的独特蛋白质序列可能参与引发观察到的膜不稳定。温度依赖性实验表明,PLP中的这个序列具有动态特性,其暴露受构象标准影响。这个特定结构域的暴露,连同其对带负电荷脂质的亲和力,可能与髓鞘完整性的扰动有关,这将在后面讨论。

https://cdn.ncbi.nlm.nih.gov/pmc/blobs/6265/1138196/b0c005b22a33/biochemj00086-0262-a.jpg

文献检索

告别复杂PubMed语法,用中文像聊天一样搜索,搜遍4000万医学文献。AI智能推荐,让科研检索更轻松。

立即免费搜索

文件翻译

保留排版,准确专业,支持PDF/Word/PPT等文件格式,支持 12+语言互译。

免费翻译文档

深度研究

AI帮你快速写综述,25分钟生成高质量综述,智能提取关键信息,辅助科研写作。

立即免费体验