Lacraz S, Nicod L P, Chicheportiche R, Welgus H G, Dayer J M
Division of Immunology and Allergy (Hans Wilsdorf Laboratory), University Hospital, Geneva, Switzerland.
J Clin Invest. 1995 Nov;96(5):2304-10. doi: 10.1172/JCI118286.
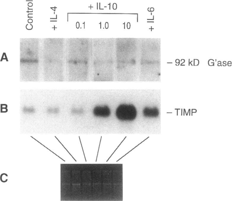
Human mononuclear phagocytes can modulate the turnover of extracellular matrix by producing metalloproteinases such as 92-kD gelatinase and interstitial collagenase as well as the tissue inhibitor of metalloproteinases (TIMP). We have previously reported that IL-4 and IFN gamma released by lymphocytes suppress metalloproteinase biosynthesis in macrophages without affecting TIMP production (Lacraz, S., L. Nicod, B. C. de Rochementeix, C. Baumberger, J. Dayer, and H. Welgus. 1992. J. Clin. Invest. 90:382-388.; Shapiro, S. D., E. J. Campbell, D. K. Kobayashi, and H. G. Welgus 1990. J. Clin. Invest. 86:1204-1210). Like IL-4, IL-10 is secreted by Th2 lymphocytes and is inhibitory to several macrophage functions. In the present study, IL-10 was tested and compared to IL-2, IL-4, IL-6, and IFN gamma for its capacity to modulate synthesis of 92-kD gelatinase, interstitial collagenase and TIMP in human macrophages and monocytes. We found that IL-10, just like IL-4, inhibited the production of 92-kD gelatinase and blocked LPS-, as well as killed Staphylococcus aureus-induced, interstitial collagenase production. The principal finding of this study, however, was that IL-10, in distinction to IL-4, produced a dose-dependent stimulation in the biosynthesis of TIMP-1. TIMP-2 production was not affected. IL-10 regulated the expression of 92-kD gelatinase and TIMP-1 at the pretranslational level. Furthermore, IL-10 regulation was cell type-specific, as it had no effect on the production of metalloproteinases or TIMP by human fibroblasts. In summary, IL-10 has a potent and unique effect upon tissue macrophages and blood monocytes by enhancing TIMP-1 production while decreasing metalloproteinase biosynthesis.