Suppr超能文献

Staf,一种新型锌指蛋白,可激活硒代半胱氨酸tRNA基因的RNA聚合酶III启动子。

Staf, a novel zinc finger protein that activates the RNA polymerase III promoter of the selenocysteine tRNA gene.

作者信息

Schuster C, Myslinski E, Krol A, Carbon P

机构信息

UPR 9002 du CNRS Structure des Macromolécules Biologiques et Mécanismes de Reconnaissance, IBMC, Strasbourg, France.

出版信息

EMBO J. 1995 Aug 1;14(15):3777-87. doi: 10.1002/j.1460-2075.1995.tb00047.x.

Abstract

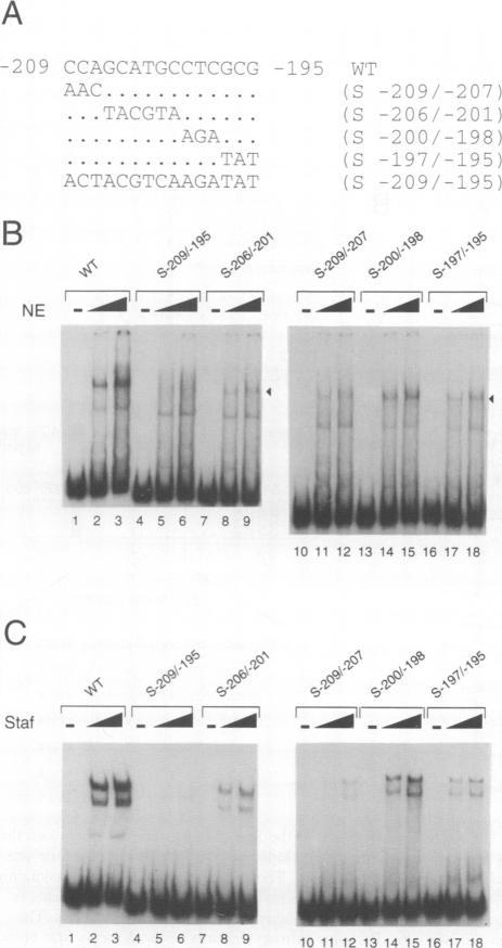
The selenocysteine tRNA gene (tRNA(Sec)) is atypical. Though transcribed by RNA polymerase III like all other tRNA genes, its basal promoter elements are distinct and reside essentially upstream of the coding region. In addition, transcription from the basal promoter is activated by a 15 bp activator element. In this report we describe the cloning and functional characterization of Staf (selenocysteine tRNA gene transcription activating factor), a novel Xenopus laevis transcription factor which binds to the tRNA(Sec) activator element and mediates its activation properties. The 600 amino acid Staf protein contains seven zinc fingers and a separate acidic activation domain. Seven highly conserved regions were detected between Staf and human ZNF76, a protein of unknown function, thereby aiding in predicting the locations of the functional domains of Staf. With the use of a novel expression assay in X.laevis oocytes we succeeded in demonstrating that Staf can activate the RNA polymerase III promoter of the tRNA(Sec) gene. This constitutes the first demonstration of the capacity of a cloned factor to activate RNA polymerase III transcription in vivo.

摘要

硒代半胱氨酸转运RNA基因(tRNA(Sec))具有非典型性。尽管它与所有其他转运RNA基因一样由RNA聚合酶III转录,但其基础启动子元件却有所不同,基本位于编码区域的上游。此外,基础启动子的转录由一个15 bp的激活元件激活。在本报告中,我们描述了Staf(硒代半胱氨酸转运RNA基因转录激活因子)的克隆及功能特性,Staf是一种新的非洲爪蟾转录因子,它能与tRNA(Sec)激活元件结合并介导其激活特性。600个氨基酸的Staf蛋白包含7个锌指结构和一个独立的酸性激活结构域。在Staf与功能未知的人类ZNF76之间检测到7个高度保守区域,这有助于预测Staf功能结构域的位置。通过在非洲爪蟾卵母细胞中使用一种新的表达检测方法,我们成功证明Staf能够激活tRNA(Sec)基因的RNA聚合酶III启动子。这是首次证明克隆因子在体内激活RNA聚合酶III转录的能力。

https://cdn.ncbi.nlm.nih.gov/pmc/blobs/0984/394452/84d5209a6efa/emboj00039-0192-a.jpg

文献检索

告别复杂PubMed语法,用中文像聊天一样搜索,搜遍4000万医学文献。AI智能推荐,让科研检索更轻松。

立即免费搜索

文件翻译

保留排版,准确专业,支持PDF/Word/PPT等文件格式,支持 12+语言互译。

免费翻译文档

深度研究

AI帮你快速写综述,25分钟生成高质量综述,智能提取关键信息,辅助科研写作。

立即免费体验