• 文献检索
  • 文档翻译
  • 深度研究
  • 学术资讯
  • Suppr Zotero 插件Zotero 插件
  • 邀请有礼
  • 套餐&价格
  • 历史记录
应用&插件
Suppr Zotero 插件Zotero 插件浏览器插件Mac 客户端Windows 客户端微信小程序
定价
高级版会员购买积分包购买API积分包
服务
文献检索文档翻译深度研究API 文档MCP 服务
关于我们
关于 Suppr公司介绍联系我们用户协议隐私条款
关注我们

Suppr 超能文献

核心技术专利:CN118964589B侵权必究
粤ICP备2023148730 号-1Suppr @ 2026

文献检索

告别复杂PubMed语法,用中文像聊天一样搜索,搜遍4000万医学文献。AI智能推荐,让科研检索更轻松。

立即免费搜索

文件翻译

保留排版,准确专业,支持PDF/Word/PPT等文件格式,支持 12+语言互译。

免费翻译文档

深度研究

AI帮你快速写综述,25分钟生成高质量综述,智能提取关键信息,辅助科研写作。

立即免费体验

家族性腺瘤性息肉病的牙齿表型:用于牙科全景X线片变化的加权评分系统的诊断应用

The dental phenotype in familial adenomatous polyposis: diagnostic application of a weighted scoring system for changes on dental panoramic radiographs.

作者信息

Thakker N, Davies R, Horner K, Armstrong J, Clancy T, Guy S, Harris R, Sloan P, Evans G

机构信息

Department of Medical Genetics, St Mary's Hospital, Manchester, UK.

出版信息

J Med Genet. 1995 Jun;32(6):458-64. doi: 10.1136/jmg.32.6.458.

DOI:10.1136/jmg.32.6.458
PMID:7666398
原文链接:https://pmc.ncbi.nlm.nih.gov/articles/PMC1050486/
Abstract

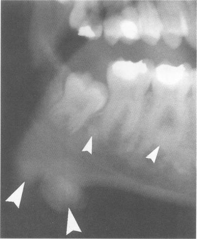
A weighted scoring system (Dental Panoramic Radiograph Score) taking into consideration the nature, extent, and site of osseous and dental changes on dental panoramic radiographs in familial adenomatous polyposis is described. The weighting takes into consideration the incidence of the anomaly in the general population. The reliability of the system was tested by application to 85 people known to be affected by clinical or mutation analysis, 30 people lacking mutation in the adenomatous polyposis gene, and 19 people shown to be at low risk (< 1%) by linkage analysis. Using the highest thresholds, a specificity of 100% and sensitivity of approximately 68% was obtained. If all positive findings were considered as significant, sensitivity was increased to approximately 82% but the specificity was reduced to approximately 88%. Significant DPRS findings were observed at a significantly higher frequency in patients aged over 20 compared to the patients aged 20 and under. Overall, approximately 68% of the affected subjects had significant changes, and approximately 18% had normal appearance on DPR, with the remainder having changes classified as minimal or equivocal.

摘要

本文描述了一种加权评分系统(牙科全景X线片评分),该系统考虑了家族性腺瘤性息肉病患者牙科全景X线片中骨与牙齿变化的性质、范围及部位。加权过程考虑了该异常在普通人群中的发生率。通过将该系统应用于85名经临床或突变分析确诊患病的患者、30名腺瘤性息肉病基因突变阴性者以及19名经连锁分析显示低风险(<1%)者,对该系统的可靠性进行了测试。采用最高阈值时,特异性为100%,敏感性约为68%。若将所有阳性结果均视为有意义,则敏感性提高至约82%,但特异性降至约88%。与20岁及以下患者相比,20岁以上患者中观察到显著牙科全景X线片评分结果的频率显著更高。总体而言,约68%的患病受试者有显著变化,约18%的受试者牙科全景X线片表现正常,其余受试者的变化分类为轻微或不明确。

https://cdn.ncbi.nlm.nih.gov/pmc/blobs/e723/1050486/008de852989f/jmedgene00273-0054-c.jpg
https://cdn.ncbi.nlm.nih.gov/pmc/blobs/e723/1050486/d4504bbccb55/jmedgene00273-0053-a.jpg
https://cdn.ncbi.nlm.nih.gov/pmc/blobs/e723/1050486/375b74977217/jmedgene00273-0053-b.jpg
https://cdn.ncbi.nlm.nih.gov/pmc/blobs/e723/1050486/fe40aa7f7006/jmedgene00273-0054-a.jpg
https://cdn.ncbi.nlm.nih.gov/pmc/blobs/e723/1050486/74896c9f9370/jmedgene00273-0054-b.jpg
https://cdn.ncbi.nlm.nih.gov/pmc/blobs/e723/1050486/008de852989f/jmedgene00273-0054-c.jpg
https://cdn.ncbi.nlm.nih.gov/pmc/blobs/e723/1050486/d4504bbccb55/jmedgene00273-0053-a.jpg
https://cdn.ncbi.nlm.nih.gov/pmc/blobs/e723/1050486/375b74977217/jmedgene00273-0053-b.jpg
https://cdn.ncbi.nlm.nih.gov/pmc/blobs/e723/1050486/fe40aa7f7006/jmedgene00273-0054-a.jpg
https://cdn.ncbi.nlm.nih.gov/pmc/blobs/e723/1050486/74896c9f9370/jmedgene00273-0054-b.jpg
https://cdn.ncbi.nlm.nih.gov/pmc/blobs/e723/1050486/008de852989f/jmedgene00273-0054-c.jpg

相似文献

1
The dental phenotype in familial adenomatous polyposis: diagnostic application of a weighted scoring system for changes on dental panoramic radiographs.家族性腺瘤性息肉病的牙齿表型:用于牙科全景X线片变化的加权评分系统的诊断应用
J Med Genet. 1995 Jun;32(6):458-64. doi: 10.1136/jmg.32.6.458.
2
Dental and bone abnormalities in patients with familial polyposis coli.家族性腺瘤性息肉病患者的牙齿和骨骼异常
Semin Surg Oncol. 1987;3(2):77-83. doi: 10.1002/ssu.2980030206.
3
Dento-osseous changes as diagnostic markers in familial adenomatous polyposis families.牙骨改变作为家族性腺瘤性息肉病家族中的诊断标志物。
Oral Dis. 2003 Jan;9(1):29-33. doi: 10.1034/j.1601-0825.2003.00894.x.
4
Dental anomalies in pediatric patients with familial adenomatous polyposis.家族性腺瘤性息肉病患儿的牙齿异常
Fam Cancer. 2018 Apr;17(2):229-234. doi: 10.1007/s10689-017-0035-5.
5
Phenotypic dento-osseous characterization of a Brazilian family with Familial Adenomatous Polyposis.巴西一家族性腺瘤性息肉病患者的牙-骨表型特征。
Arch Oral Biol. 2021 Sep;129:105206. doi: 10.1016/j.archoralbio.2021.105206. Epub 2021 Jul 1.
6
Dento-osseous anomalies in patients with familial adenomatous polyposis: A follow-up study.家族性腺瘤性息肉病患者的牙-骨异常:一项随访研究。
Clin Oral Investig. 2020 Oct;24(10):3501-3511. doi: 10.1007/s00784-020-03220-9. Epub 2020 Feb 6.
7
Value of combined phenotypic markers in identifying inheritance of familial adenomatous polyposis.联合表型标志物在家族性腺瘤性息肉病遗传识别中的价值
Gut. 1991 Oct;32(10):1170-4. doi: 10.1136/gut.32.10.1170.
8
Gardner's dento-maxillary stigmas in patients with familial adenomatosis coli.家族性腺瘤性息肉病患者的加德纳牙颌特征
Br J Oral Maxillofac Surg. 1986 Dec;24(6):410-6. doi: 10.1016/0266-4356(86)90054-9.
9
Occult radiologic changes in the skull and jaw in familial adenomatous polyposis coli.家族性腺瘤性息肉病患者颅骨和颌骨的隐匿性放射学改变。
Dis Colon Rectum. 1989 Apr;32(4):304-6. doi: 10.1007/BF02553485.
10
Dental abnormalities and bone lesions associated with familial adenomatous polyposis: report of cases.与家族性腺瘤性息肉病相关的牙齿异常和骨病变:病例报告
J Am Dent Assoc. 1989 Jul;119(1):137-9. doi: 10.14219/jada.archive.1989.0142.

引用本文的文献

1
Rare Germline Variants in the Adenomatous Polyposis Coli Gene Associated with Dental and Osseous Anomalies.腺瘤性结肠息肉病基因中的罕见种系变异与牙齿和骨骼异常有关。
Int J Mol Sci. 2024 Jul 26;25(15):8189. doi: 10.3390/ijms25158189.
2
Trabecular and cortical mandibular bone investigation in familial adenomatous polyposis patients.家族性腺瘤性息肉病患者的下颌骨小梁和皮质骨研究。
Sci Rep. 2021 Apr 28;11(1):9143. doi: 10.1038/s41598-021-88513-z.
3
An Overview of Autosomal Dominant Tumour Syndromes with Prominent Features in the Oral and Maxillofacial Region.

本文引用的文献

1
ROENTGENOGRAPHIC FINDINGS IN GARDNER'S SYNDROME.加德纳综合征的X线表现
JAMA. 1965 Jun 14;192:1000-2. doi: 10.1001/jama.1965.03080240070025.
2
A survey of 3, 874 routine full-month radiographs. II. A study of impacted teeth.对3874张常规全月X光片的调查。二、阻生牙研究。
Oral Surg Oral Med Oral Pathol. 1961 Oct;14:1165-9. doi: 10.1016/0030-4220(61)90204-3.
3
Multiple cutaneous and subcutaneous lesions occurring simultaneously with hereditary polyposis and osteomatosis.多发性皮肤和皮下病变与遗传性息肉病和骨瘤病同时出现。
口腔颌面部具有显著特征的常染色体显性肿瘤综合征概述
Head Neck Pathol. 2017 Sep;11(3):364-376. doi: 10.1007/s12105-017-0778-1. Epub 2017 Jan 21.
4
Wnt signaling during tooth replacement in zebrafish (Danio rerio): pitfalls and perspectives.斑马鱼(Danio rerio)牙齿替换过程中的 Wnt 信号:陷阱与展望。
Front Physiol. 2014 Oct 6;5:386. doi: 10.3389/fphys.2014.00386. eCollection 2014.
5
Oral manifestations of hereditary nonpolyposis colorectal cancer syndrome: a family case series.遗传性非息肉病性结直肠癌综合征的口腔表现:一个家系病例系列
J Med Case Rep. 2014 Jul 10;8:249. doi: 10.1186/1752-1947-8-249.
6
Molecular genetics of supernumerary tooth formation.额外牙形成的分子遗传学
Genesis. 2011 Apr;49(4):261-77. doi: 10.1002/dvg.20715. Epub 2011 Apr 1.
7
Severe Gardner syndrome in families with mutations restricted to a specific region of the APC gene.APC基因特定区域发生突变的家族中的重度加德纳综合征。
Am J Hum Genet. 1995 Nov;57(5):1151-8.
Am J Hum Genet. 1953 Jun;5(2):139-47.
4
Molecular diagnosis of familial adenomatous polyposis.家族性腺瘤性息肉病的分子诊断
N Engl J Med. 1993 Dec 30;329(27):1982-7. doi: 10.1056/NEJM199312303292702.
5
Non-penetrance and late appearance of polyps in families with familial adenomatous polyposis.家族性腺瘤性息肉病家族中息肉的非外显率和迟发性表现。
Gut. 1993 Oct;34(10):1389-93. doi: 10.1136/gut.34.10.1389.
6
A rapid screening method to detect nonsense and frameshift mutations: identification of disease-causing APC alleles.一种检测无义突变和移码突变的快速筛查方法:致病APC等位基因的鉴定
Cancer Res. 1993 Dec 1;53(23):5581-4.
7
Mutations of the APC (adenomatous polyposis coli) gene.APC(腺瘤性结肠息肉病)基因的突变。
Hum Mutat. 1993;2(6):425-34. doi: 10.1002/humu.1380020602.
8
A CA-repeat polymorphism close to the adenomatous polyposis coli (APC) gene offers improved diagnostic testing for familial APC.靠近腺瘤性息肉病 coli(APC)基因的 CA 重复多态性为家族性 APC 提供了改进的诊断检测方法。
Am J Hum Genet. 1993 Feb;52(2):286-96.
9
Findings from radiographs of the jaws of edentulous patients.无牙患者颌骨X光片的检查结果。
Oral Surg Oral Med Oral Pathol. 1981 Oct;52(4):455-9. doi: 10.1016/0030-4220(81)90350-9.
10
Osteomatous changes and tooth abnormalities found in the jaw of patients with adenomatosis coli.在结肠腺瘤病患者的颌骨中发现的骨瘤样改变和牙齿异常。
Oral Surg Oral Med Oral Pathol. 1981 Jul;52(1):2-11. doi: 10.1016/0030-4220(81)90164-x.