• 文献检索
  • 文档翻译
  • 深度研究
  • 学术资讯
  • Suppr Zotero 插件Zotero 插件
  • 邀请有礼
  • 套餐&价格
  • 历史记录
应用&插件
Suppr Zotero 插件Zotero 插件浏览器插件Mac 客户端Windows 客户端微信小程序
定价
高级版会员购买积分包购买API积分包
服务
文献检索文档翻译深度研究API 文档MCP 服务
关于我们
关于 Suppr公司介绍联系我们用户协议隐私条款
关注我们

Suppr 超能文献

核心技术专利:CN118964589B侵权必究
粤ICP备2023148730 号-1Suppr @ 2026

文献检索

告别复杂PubMed语法,用中文像聊天一样搜索,搜遍4000万医学文献。AI智能推荐,让科研检索更轻松。

立即免费搜索

文件翻译

保留排版,准确专业,支持PDF/Word/PPT等文件格式,支持 12+语言互译。

免费翻译文档

深度研究

AI帮你快速写综述,25分钟生成高质量综述,智能提取关键信息,辅助科研写作。

立即免费体验

一种新型干扰素诱导结构域:人干扰素调节因子1基因启动子的结构与功能分析

A novel interferon-inducible domain: structural and functional analysis of the human interferon regulatory factor 1 gene promoter.

作者信息

Sims S H, Cha Y, Romine M F, Gao P Q, Gottlieb K, Deisseroth A B

机构信息

Department of Hematology, University of Texas M. D. Anderson Cancer Center, Houston 77030.

出版信息

Mol Cell Biol. 1993 Jan;13(1):690-702. doi: 10.1128/mcb.13.1.690-702.1993.

DOI:10.1128/mcb.13.1.690-702.1993
PMID:7678055
原文链接:https://pmc.ncbi.nlm.nih.gov/articles/PMC358947/
Abstract

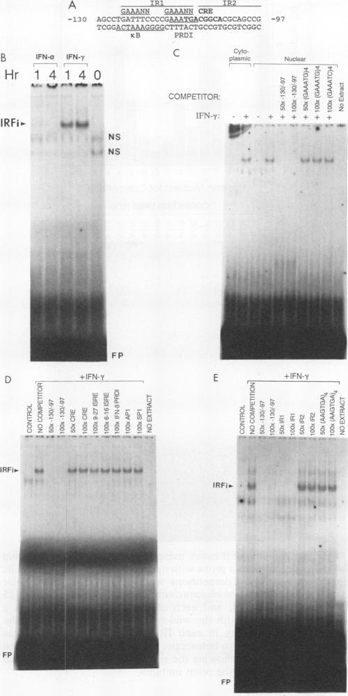
We have cloned and functionally characterized the human interferon regulatory factor 1 (IRF-1) gene promoter. The promoter contains a CpG island, with several GC boxes, a CAAT box, but no TATA box. IRF-1 mRNA is strongly induced by gamma interferon (IFN-gamma) but more weakly and transiently by IFN-alpha. There are several putative kappa B motifs and numerous AA(G/A)G(G/T)A and GAAANN motifs throughout the promoter. The IRF-1 promoter is not autoregulated by the IRF-1 gene product. IFN inducibility of the promoter was studied with 5' deletion mutants linked to a heterologous reporter gene. Gel mobility shift assays were used to show IFN-inducible factor binding to the IRF-1 promoter. These studies showed that IFN inducibility is conferred by a novel imperfect inverted-repeat arrangement of two GAAANN motifs within a domain, 130 nucleotides upstream of transcription initiation. This inverted repeat binds a factor upon induction with IFN and can confer IFN inducibility on a heterologous promoter. Conversely, point mutations of the inverted repeat are not IFN inducible when linked to the same heterologous promoter.

摘要

我们已经克隆了人干扰素调节因子1(IRF-1)基因启动子并对其进行了功能表征。该启动子包含一个CpG岛,有几个GC盒、一个CAAT盒,但没有TATA盒。IRF-1 mRNA受到γ干扰素(IFN-γ)的强烈诱导,但受到IFN-α的诱导较弱且短暂。在整个启动子中有几个假定的κB基序以及众多AA(G/A)G(G/T)A和GAAANN基序。IRF-1启动子不受IRF-1基因产物的自动调节。用与异源报告基因相连的5'缺失突变体研究了该启动子的IFN诱导性。凝胶迁移率变动分析用于显示IFN诱导因子与IRF-1启动子的结合。这些研究表明,IFN诱导性是由转录起始上游130个核苷酸处一个结构域内两个GAAANN基序的新型不完全反向重复排列赋予的。这种反向重复在受到IFN诱导时会结合一个因子,并能将IFN诱导性赋予异源启动子。相反,当与相同的异源启动子相连时,反向重复的点突变不具有IFN诱导性。

https://cdn.ncbi.nlm.nih.gov/pmc/blobs/f53f/358947/379f8e7039ec/molcellb00013-0724-b.jpg
https://cdn.ncbi.nlm.nih.gov/pmc/blobs/f53f/358947/28229090b051/molcellb00013-0721-a.jpg
https://cdn.ncbi.nlm.nih.gov/pmc/blobs/f53f/358947/a921b5def7ef/molcellb00013-0723-a.jpg
https://cdn.ncbi.nlm.nih.gov/pmc/blobs/f53f/358947/7f047e12068f/molcellb00013-0724-a.jpg
https://cdn.ncbi.nlm.nih.gov/pmc/blobs/f53f/358947/379f8e7039ec/molcellb00013-0724-b.jpg
https://cdn.ncbi.nlm.nih.gov/pmc/blobs/f53f/358947/28229090b051/molcellb00013-0721-a.jpg
https://cdn.ncbi.nlm.nih.gov/pmc/blobs/f53f/358947/a921b5def7ef/molcellb00013-0723-a.jpg
https://cdn.ncbi.nlm.nih.gov/pmc/blobs/f53f/358947/7f047e12068f/molcellb00013-0724-a.jpg
https://cdn.ncbi.nlm.nih.gov/pmc/blobs/f53f/358947/379f8e7039ec/molcellb00013-0724-b.jpg

相似文献

1
A novel interferon-inducible domain: structural and functional analysis of the human interferon regulatory factor 1 gene promoter.一种新型干扰素诱导结构域:人干扰素调节因子1基因启动子的结构与功能分析
Mol Cell Biol. 1993 Jan;13(1):690-702. doi: 10.1128/mcb.13.1.690-702.1993.
2
Human interferon regulatory factor 2 gene. Intron-exon organization and functional analysis of 5'-flanking region.人类干扰素调节因子2基因。内含子-外显子结构及5'-侧翼区的功能分析。
J Biol Chem. 1994 Feb 18;269(7):5279-87.
3
Interferon-gamma regulation of the human mimecan promoter.人 mimecan 启动子的干扰素-γ 调控
Mol Vis. 2003 Jun 30;9:277-87.
4
Conserved high-affinity NF-kappa B binding site in the interferon regulatory factor-1 promoter is not occupied by NF-kappa B in vivo and is transcriptionally inactive.干扰素调节因子-1启动子中保守的高亲和力核因子-κB结合位点在体内未被核因子-κB占据,且转录无活性。
J Inflamm. 1995;45(4):269-82.
5
Interferon consensus sequence-binding protein, a member of the interferon regulatory factor family, suppresses interferon-induced gene transcription.干扰素共有序列结合蛋白是干扰素调节因子家族的成员之一,可抑制干扰素诱导的基因转录。
Mol Cell Biol. 1993 Jan;13(1):588-99. doi: 10.1128/mcb.13.1.588-599.1993.
6
Isolation and characterization of a human STAT1 gene regulatory element. Inducibility by interferon (IFN) types I and II and role of IFN regulatory factor-1.人类STAT1基因调控元件的分离与特性分析。I型和II型干扰素的诱导性及干扰素调节因子-1的作用。
J Biol Chem. 2002 May 31;277(22):19408-17. doi: 10.1074/jbc.M111302200. Epub 2002 Mar 21.
7
The genomic structure of the murine ICSBP gene reveals the presence of the gamma interferon-responsive element, to which an ISGF3 alpha subunit (or similar) molecule binds.小鼠ICSBP基因的基因组结构显示存在γ干扰素反应元件,一种ISGF3α亚基(或类似物)分子可与之结合。
Mol Cell Biol. 1993 Jul;13(7):3951-63. doi: 10.1128/mcb.13.7.3951-3963.1993.
8
The signalling pathways of interleukin-6 and gamma interferon converge by the activation of different transcription factors which bind to common responsive DNA elements.
Mol Cell Biol. 1994 Mar;14(3):1657-68. doi: 10.1128/mcb.14.3.1657-1668.1994.
9
The up-regulation of human caspase-8 by interferon-gamma in breast tumor cells requires the induction and action of the transcription factor interferon regulatory factor-1.γ干扰素对乳腺肿瘤细胞中人半胱天冬酶-8的上调作用需要转录因子干扰素调节因子-1的诱导及作用。
J Biol Chem. 2004 May 7;279(19):19712-20. doi: 10.1074/jbc.M313023200. Epub 2004 Mar 1.
10
Endothelial interferon regulatory factor 1 cooperates with NF-kappa B as a transcriptional activator of vascular cell adhesion molecule 1.内皮细胞干扰素调节因子1作为血管细胞黏附分子1的转录激活因子与核因子κB协同作用。
Mol Cell Biol. 1995 May;15(5):2558-69. doi: 10.1128/MCB.15.5.2558.

引用本文的文献

1
BCG vaccination stimulates integrated organ immunity by feedback of the adaptive immune response to imprint prolonged innate antiviral resistance.BCG 疫苗接种通过适应性免疫反应的反馈刺激整合的器官免疫,从而产生持久的先天抗病毒抵抗力。
Nat Immunol. 2024 Jan;25(1):41-53. doi: 10.1038/s41590-023-01700-0. Epub 2023 Nov 30.
2
Transcriptome Analysis of Cells Exposed to Actinomycin D and Nutlin-3a Reveals New Candidate p53-Target Genes and Indicates That CHIR-98014 Is an Important Inhibitor of p53 Activity.细胞暴露于放线菌素 D 和 Nutlin-3a 后的转录组分析揭示了新的候选 p53 靶基因,并表明 CHIR-98014 是 p53 活性的重要抑制剂。
Int J Mol Sci. 2021 Oct 14;22(20):11072. doi: 10.3390/ijms222011072.
3

本文引用的文献

1
Accurate transcription initiation by RNA polymerase II in a soluble extract from isolated mammalian nuclei.从分离的哺乳动物细胞核的可溶性提取物中,RNA聚合酶II进行准确的转录起始。
Nucleic Acids Res. 1983 Mar 11;11(5):1475-89. doi: 10.1093/nar/11.5.1475.
2
A comprehensive set of sequence analysis programs for the VAX.一套适用于VAX的综合序列分析程序。
Nucleic Acids Res. 1984 Jan 11;12(1 Pt 1):387-95. doi: 10.1093/nar/12.1part1.387.
3
Multiple specific contacts between a mammalian transcription factor and its cognate promoters.哺乳动物转录因子与其同源启动子之间的多种特异性相互作用。
IκB kinase-ε-mediated phosphorylation triggers IRF-1 degradation in breast cancer cells.
IKKε 介导的磷酸化触发乳腺癌细胞中 IRF-1 的降解。
Neoplasia. 2020 Oct;22(10):459-469. doi: 10.1016/j.neo.2020.07.004. Epub 2020 Aug 9.
4
Src Family Kinases Regulate Interferon Regulatory Factor 1 K63 Ubiquitination following Activation by TLR7/8 Vaccine Adjuvant in Human Monocytes and B Cells.Src 家族激酶调节 TLR7/8 疫苗佐剂激活后人类单核细胞和 B 细胞中干扰素调节因子 1 的 K63 泛素化。
Front Immunol. 2018 Mar 1;9:330. doi: 10.3389/fimmu.2018.00330. eCollection 2018.
5
SNX8 mediates IFNγ-triggered noncanonical signaling pathway and host defense against .SNX8 介导 IFNγ 触发的非经典信号通路和宿主防御 。
Proc Natl Acad Sci U S A. 2017 Dec 5;114(49):13000-13005. doi: 10.1073/pnas.1713462114. Epub 2017 Nov 27.
6
HIV-1 Tat Recruits HDM2 E3 Ligase To Target IRF-1 for Ubiquitination and Proteasomal Degradation.HIV-1反式激活因子招募HDM2 E3连接酶,使干扰素调节因子-1成为泛素化和蛋白酶体降解的靶点。
mBio. 2016 Oct 18;7(5):e01528-16. doi: 10.1128/mBio.01528-16.
7
Maximal Expression of the Evolutionarily Conserved Slit2 Gene Promoter Requires Sp1.进化保守的Slit2基因启动子的最大表达需要Sp1。
Cell Mol Neurobiol. 2016 Aug;36(6):955-964. doi: 10.1007/s10571-015-0281-8. Epub 2015 Oct 11.
8
STAT1 as a central mediator of IFNγ and TLR4 signal integration in vascular dysfunction.STAT1作为血管功能障碍中IFNγ和TLR4信号整合的核心介质。
JAKSTAT. 2012 Oct 1;1(4):241-9. doi: 10.4161/jkst.22469.
9
NFAT regulates the expression of AIF-1 and IRT-1: yin and yang splice variants of neointima formation and atherosclerosis.NFAT 调节 AIF-1 和 IRT-1 的表达:血管新生内膜形成和动脉粥样硬化的 yin 和 yang 剪接变异体。
Cardiovasc Res. 2012 Mar 1;93(3):414-23. doi: 10.1093/cvr/cvr309. Epub 2011 Nov 23.
10
The DNA damage response induces IFN.DNA 损伤反应会诱导干扰素的产生。
J Immunol. 2011 Nov 15;187(10):5336-45. doi: 10.4049/jimmunol.1100040. Epub 2011 Oct 17.
Nature. 1984;312(5993):409-13. doi: 10.1038/312409a0.
4
Control of eukaryotic messenger RNA synthesis by sequence-specific DNA-binding proteins.通过序列特异性DNA结合蛋白对真核生物信使RNA合成的调控。
Nature. 1985;316(6031):774-8. doi: 10.1038/316774a0.
5
Detection of factors that interact with the human beta-interferon regulatory region in vivo by DNAase I footprinting.通过DNA酶I足迹法在体内检测与人β-干扰素调控区相互作用的因子。
Cell. 1986 May 23;45(4):611-8. doi: 10.1016/0092-8674(86)90293-x.
6
The human beta-interferon gene enhancer is under negative control.人类β-干扰素基因增强子处于负调控之下。
Cell. 1986 May 23;45(4):601-10. doi: 10.1016/0092-8674(86)90292-8.
7
CpG islands in vertebrate genomes.脊椎动物基因组中的CpG岛。
J Mol Biol. 1987 Jul 20;196(2):261-82. doi: 10.1016/0022-2836(87)90689-9.
8
A conserved AU sequence from the 3' untranslated region of GM-CSF mRNA mediates selective mRNA degradation.GM-CSF信使核糖核酸3'非翻译区的一段保守AU序列介导选择性信使核糖核酸降解。
Cell. 1986 Aug 29;46(5):659-67. doi: 10.1016/0092-8674(86)90341-7.
9
Overlapping positive and negative regulatory domains of the human beta-interferon gene.人类β-干扰素基因的正负调控结构域重叠
Proc Natl Acad Sci U S A. 1988 Mar;85(5):1447-51. doi: 10.1073/pnas.85.5.1447.
10
Regulated expression of a gene encoding a nuclear factor, IRF-1, that specifically binds to IFN-beta gene regulatory elements.一种编码核因子IRF-1的基因的调控表达,该核因子能特异性结合IFN-β基因调控元件。
Cell. 1988 Sep 9;54(6):903-13. doi: 10.1016/s0092-8674(88)91307-4.