Suppr超能文献

一种鼠单克隆抗体MoAb HMSA - 5,它针对一种在早期高度表达且正常黑素细胞和肿瘤性黑素细胞共有的黑素体成分。

A murine monoclonal antibody, MoAb HMSA-5, against a melanosomal component highly expressed in early stages, and common to normal and neoplastic melanocytes.

作者信息

Der J E, Dixon W T, Jimbow K, Horikoshi T

机构信息

Division of Dermatology and Cutaneous Sciences, University of Alberta, Edmonton, Canada.

出版信息

Br J Cancer. 1993 Jan;67(1):47-57. doi: 10.1038/bjc.1993.8.

Abstract

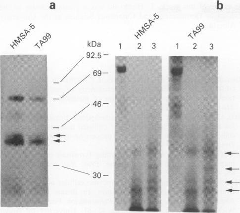
The melanosome is a secretory organelle unique to the melanocyte and its neoplastic counterpart, malignant melanoma. The synthesis and assembly of these intracytoplasmic organelles is not yet fully understood. We have developed a murine monoclonal antibody (MoAb) against melanosomes isolated from human melanocytes (newborn foreskin) cultured in the presence of 12-O tetradecanoyl phorbol-13-acetate (TPA). This MoAb, designated HMSA-5 (Human Melanosome-Specific Antigen-5) (IgG1), recognised a cytoplasmic antigen in both normal human melanocytes and neoplastic cells, such as common and dysplastic melanocytic nevi, and malignant melanoma. None of the carcinoma or sarcoma specimens tested showed positive reactivity with MoAb HMSA-5. Under immunoelectron microscopy, immuno-gold deposition was seen on microvesicles associated with melanosomes, and a portion of the ER-Golgi complexes. Radioimmunoprecipitation analysis showed that the HMSA-5 reactive antigen was a glycoprotein of M(r) 69 to 73 kDa. A pulse-chase time course study showed that the amount of antigen detected by MoAb HMSA-5 decreased over a 24 h period without significant expression on the cell surface, or corresponding appearance of the antigen in the culture supernatant. This glycoprotein appears to play a role in the early stages of melanosomal development, and the HMSA-5 reactive epitope may be lost during subsequent maturation processes. Importantly, HMSA-5 can be identified in all forms of human melanocytes, hence it can be considered a new common melanocytic marker even on routine paraffin sections.

摘要

黑素小体是黑素细胞及其肿瘤对应物恶性黑色素瘤所特有的分泌性细胞器。这些胞质内细胞器的合成与组装尚未完全明确。我们利用从在12 - O - 十四烷酰佛波醇 - 13 - 乙酸酯(TPA)存在下培养的人黑素细胞(新生儿包皮)中分离出的黑素小体,制备了一种鼠单克隆抗体(MoAb)。这种MoAb命名为HMSA - 5(人黑素小体特异性抗原 - 5)(IgG1),可识别正常人黑素细胞和肿瘤细胞(如普通型和发育异常的黑素细胞痣以及恶性黑色素瘤)中的一种胞质抗原。所检测的癌或肉瘤标本均未显示与MoAb HMSA - 5有阳性反应。在免疫电子显微镜下,免疫金沉积可见于与黑素小体相关的微泡以及部分内质网 - 高尔基体复合体上。放射免疫沉淀分析表明,HMSA - 5反应性抗原是一种分子量为69至73 kDa的糖蛋白。脉冲追踪时间进程研究表明,MoAb HMSA - 5检测到的抗原量在24小时内减少,且在细胞表面无明显表达,培养上清液中也无相应抗原出现。这种糖蛋白似乎在黑素小体发育的早期阶段起作用,且HMSA - 5反应性表位可能在随后的成熟过程中丢失。重要的是,HMSA - 5可在所有形式的人黑素细胞中识别,因此即使在常规石蜡切片上它也可被视为一种新的常见黑素细胞标志物。

https://cdn.ncbi.nlm.nih.gov/pmc/blobs/e3de/1968213/459022376dc1/brjcancer00203-0060-a.jpg

文献检索

告别复杂PubMed语法,用中文像聊天一样搜索,搜遍4000万医学文献。AI智能推荐,让科研检索更轻松。

立即免费搜索

文件翻译

保留排版,准确专业,支持PDF/Word/PPT等文件格式,支持 12+语言互译。

免费翻译文档

深度研究

AI帮你快速写综述,25分钟生成高质量综述,智能提取关键信息,辅助科研写作。

立即免费体验