Suppr超能文献

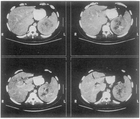
红细胞沉降率升高及脾脏肿大。

Increased erythrocyte sedimentation rate and a splenic mass.

作者信息

Hirschmann J V, Patterson S, Drachman J G, Rosen H, Liles W C

机构信息

Department of Medicine, University of Washington School of Medicine, Seattle.

出版信息

West J Med. 1994 Dec;161(6):585-91.

Abstract

This discussion was selected from the weekly Grand Rounds in the Department of Medicine, University of Washington School of Medicine, Seattle. Taken from a transcription, it has been edited by Jonathan G. Drachman, MD, Chief Medical Resident; Henry Rosen, MD, Professor and Associate Chair; and Paul G. Ramsey, MD, Professor and Chair of the Department of Medicine.

摘要

本次讨论选自华盛顿大学医学院西雅图分校医学系的每周大查房。内容摘自文字记录,由首席住院医师乔纳森·G·德拉赫曼医学博士、教授兼副主任亨利·罗森医学博士以及医学系教授兼主任保罗·G·拉姆齐医学博士编辑。

https://cdn.ncbi.nlm.nih.gov/pmc/blobs/c24c/1022740/a5efae4359db/westjmed00064-0048-a.jpg

文献检索

告别复杂PubMed语法,用中文像聊天一样搜索,搜遍4000万医学文献。AI智能推荐,让科研检索更轻松。

立即免费搜索

文件翻译

保留排版,准确专业,支持PDF/Word/PPT等文件格式,支持 12+语言互译。

免费翻译文档

深度研究

AI帮你快速写综述,25分钟生成高质量综述,智能提取关键信息,辅助科研写作。

立即免费体验