Suppr超能文献

单核细胞趋化蛋白-1(MCP-1)、-2和-3对人T淋巴细胞具有趋化作用。

Monocyte chemotactic protein-1 (MCP-1), -2, and -3 are chemotactic for human T lymphocytes.

作者信息

Taub D D, Proost P, Murphy W J, Anver M, Longo D L, van Damme J, Oppenheim J J

机构信息

Clinical Services Program, Program Resources, Inc., DynCorp, National Cancer Institute-Frederick Cancer Research and Development Center, Maryland 21702.

出版信息

J Clin Invest. 1995 Mar;95(3):1370-6. doi: 10.1172/JCI117788.

Abstract

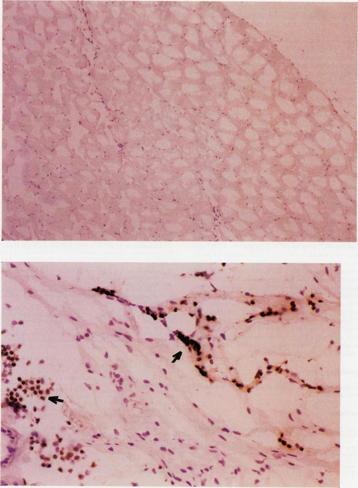
Monocyte chemotactic protein (MCP)-1, -2, and -3 all have been shown to induce monocyte/macrophage migration in vitro and MCP-1, also known as MCAF, chemoattracts basophils and mast cells. We report here that natural MCP-1 as well as synthetic preparations of MCP-2 and MCP-3 stimulate significant in vitro chemotaxis of human peripheral blood T lymphocytes. This MCP-induced migration was dose-dependent and directional, but not chemokinetic. Phenotypic analysis of the T cell population responsive to MCP-1, MCP-2, and MCP-3 demonstrates that both CD4+ and CD8+ T cells migrated in response to these chemokines. Similar results were observed using human CD4+ and CD8+ T cell clones. Neutralizing antisera to MCAF or MCP-2 abrogated T cell migration in response to MCP-1 and MCP-2, respectively, but not to RANTES. Subcutaneous administration of purified MCP-1 into the hind flanks of SCID mice engrafted with human peripheral blood lymphocytes (PBL) induced significant human CD3+ T cell infiltration into the site of injection at 4 h. These results demonstrate that MCP-1, MCP-2, and MCP-3 are inflammatory mediators that specifically stimulate the directional migration of T cells as well as monocytes and may play an important role in immune cell recruitment into sites of antigenic challenge.

摘要

单核细胞趋化蛋白(MCP)-1、-2和-3均已被证明在体外可诱导单核细胞/巨噬细胞迁移,MCP-1也被称为巨噬细胞趋化激活因子,可吸引嗜碱性粒细胞和肥大细胞。我们在此报告,天然MCP-1以及MCP-2和MCP-3的合成制剂可刺激人外周血T淋巴细胞在体外发生显著的趋化作用。这种MCP诱导的迁移是剂量依赖性的且具有方向性,但不是化学动力学性的。对响应MCP-1、MCP-2和MCP-3的T细胞群体进行表型分析表明,CD4⁺和CD8⁺ T细胞均可响应这些趋化因子而迁移。使用人CD4⁺和CD8⁺ T细胞克隆也观察到了类似结果。针对巨噬细胞趋化激活因子或MCP-2的中和抗血清分别消除了T细胞对MCP-1和MCP-2的迁移反应,但对RANTES没有作用。将纯化的MCP-1皮下注射到植入人外周血淋巴细胞(PBL)的SCID小鼠后腹侧,4小时时可诱导大量人CD3⁺ T细胞浸润到注射部位。这些结果表明,MCP-1、MCP-2和MCP-3是炎症介质,可特异性刺激T细胞以及单核细胞的定向迁移,并且可能在免疫细胞募集到抗原攻击部位中发挥重要作用。

https://cdn.ncbi.nlm.nih.gov/pmc/blobs/6288/441477/8ca7b7b59178/jcinvest00491-0455-a.jpg

文献AI研究员

20分钟写一篇综述,助力文献阅读效率提升50倍。

立即体验

用中文搜PubMed

大模型驱动的PubMed中文搜索引擎

马上搜索

文档翻译

学术文献翻译模型,支持多种主流文档格式。

立即体验