• 文献检索
  • 文档翻译
  • 深度研究
  • 学术资讯
  • Suppr Zotero 插件Zotero 插件
  • 邀请有礼
  • 套餐&价格
  • 历史记录
应用&插件
Suppr Zotero 插件Zotero 插件浏览器插件Mac 客户端Windows 客户端微信小程序
定价
高级版会员购买积分包购买API积分包
服务
文献检索文档翻译深度研究API 文档MCP 服务
关于我们
关于 Suppr公司介绍联系我们用户协议隐私条款
关注我们

Suppr 超能文献

核心技术专利:CN118964589B侵权必究
粤ICP备2023148730 号-1Suppr @ 2026

文献检索

告别复杂PubMed语法,用中文像聊天一样搜索,搜遍4000万医学文献。AI智能推荐,让科研检索更轻松。

立即免费搜索

文件翻译

保留排版,准确专业,支持PDF/Word/PPT等文件格式,支持 12+语言互译。

免费翻译文档

深度研究

AI帮你快速写综述,25分钟生成高质量综述,智能提取关键信息,辅助科研写作。

立即免费体验

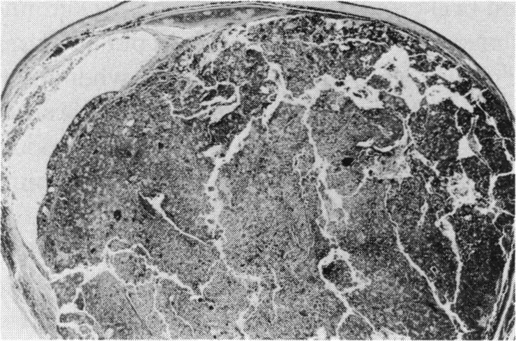
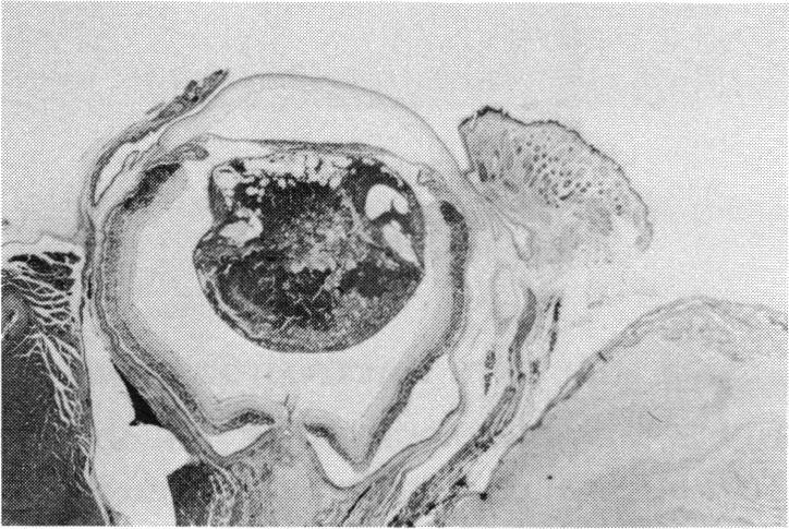
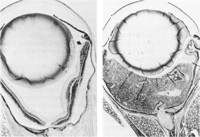
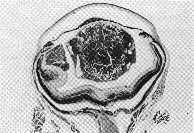
Transgenic models of retinoblastoma: what they tell us about its cause and treatment.

作者信息

Albert D M, Griep A E, Lambert P F, Howes K A, Windle J J, Lasudry J G

机构信息

Department of Ophthalmology and Visual Sciences, University of Wisconsin Medical School, Madison.

出版信息

Trans Am Ophthalmol Soc. 1994;92:385-400; discussion 400-1.

PMID:7886874
原文链接:https://pmc.ncbi.nlm.nih.gov/articles/PMC1298518/
Abstract
摘要
https://cdn.ncbi.nlm.nih.gov/pmc/blobs/7cdf/1298518/7e779901ecde/taos00007-0413-a.jpg
https://cdn.ncbi.nlm.nih.gov/pmc/blobs/7cdf/1298518/53f89f8a678f/taos00007-0407-a.jpg
https://cdn.ncbi.nlm.nih.gov/pmc/blobs/7cdf/1298518/01f4c85955f8/taos00007-0409-a.jpg
https://cdn.ncbi.nlm.nih.gov/pmc/blobs/7cdf/1298518/180d33ed59a2/taos00007-0411-a.jpg
https://cdn.ncbi.nlm.nih.gov/pmc/blobs/7cdf/1298518/5531d862ffaf/taos00007-0411-b.jpg
https://cdn.ncbi.nlm.nih.gov/pmc/blobs/7cdf/1298518/d655aa7f2e68/taos00007-0411-c.jpg
https://cdn.ncbi.nlm.nih.gov/pmc/blobs/7cdf/1298518/8feef55159ab/taos00007-0412-a.jpg
https://cdn.ncbi.nlm.nih.gov/pmc/blobs/7cdf/1298518/01039c1ad074/taos00007-0412-b.jpg
https://cdn.ncbi.nlm.nih.gov/pmc/blobs/7cdf/1298518/d24b8688560e/taos00007-0412-c.jpg
https://cdn.ncbi.nlm.nih.gov/pmc/blobs/7cdf/1298518/e7406d2a372d/taos00007-0412-d.jpg
https://cdn.ncbi.nlm.nih.gov/pmc/blobs/7cdf/1298518/7e779901ecde/taos00007-0413-a.jpg
https://cdn.ncbi.nlm.nih.gov/pmc/blobs/7cdf/1298518/53f89f8a678f/taos00007-0407-a.jpg
https://cdn.ncbi.nlm.nih.gov/pmc/blobs/7cdf/1298518/01f4c85955f8/taos00007-0409-a.jpg
https://cdn.ncbi.nlm.nih.gov/pmc/blobs/7cdf/1298518/180d33ed59a2/taos00007-0411-a.jpg
https://cdn.ncbi.nlm.nih.gov/pmc/blobs/7cdf/1298518/5531d862ffaf/taos00007-0411-b.jpg
https://cdn.ncbi.nlm.nih.gov/pmc/blobs/7cdf/1298518/d655aa7f2e68/taos00007-0411-c.jpg
https://cdn.ncbi.nlm.nih.gov/pmc/blobs/7cdf/1298518/8feef55159ab/taos00007-0412-a.jpg
https://cdn.ncbi.nlm.nih.gov/pmc/blobs/7cdf/1298518/01039c1ad074/taos00007-0412-b.jpg
https://cdn.ncbi.nlm.nih.gov/pmc/blobs/7cdf/1298518/d24b8688560e/taos00007-0412-c.jpg
https://cdn.ncbi.nlm.nih.gov/pmc/blobs/7cdf/1298518/e7406d2a372d/taos00007-0412-d.jpg
https://cdn.ncbi.nlm.nih.gov/pmc/blobs/7cdf/1298518/7e779901ecde/taos00007-0413-a.jpg

相似文献

1
Transgenic models of retinoblastoma: what they tell us about its cause and treatment.视网膜母细胞瘤的转基因模型:它们告诉我们的关于其病因及治疗的信息。
Trans Am Ophthalmol Soc. 1994;92:385-400; discussion 400-1.
2
Photoreceptor cell tumors in transgenic mice.转基因小鼠中的光感受器细胞瘤
Invest Ophthalmol Vis Sci. 1994 Feb;35(2):342-51.
3
Retinoblastoma in transgenic mice.
Nature. 1990 Feb 15;343(6259):665-9. doi: 10.1038/343665a0.
4
Trilateral tumors in four different lines of transgenic mice expressing SV40 T-antigen.在表达SV40 T抗原的四种不同品系转基因小鼠中的三边肿瘤。
Invest Ophthalmol Vis Sci. 1996 Feb;37(2):392-6.
5
Radiation therapy and ferromagnetic hyperthermia in the treatment of murine transgenic retinoblastoma.放射治疗和铁磁热疗在小鼠转基因视网膜母细胞瘤治疗中的应用
Arch Ophthalmol. 1996 Nov;114(11):1376-81. doi: 10.1001/archopht.1996.01100140576008.
6
Trilateral retinoblastoma in transgenic mice.转基因小鼠中的三边视网膜母细胞瘤
Trans Am Ophthalmol Soc. 1989;87:301-22; discussion 322-6.
7
Local carboplatin and radiation therapy in the treatment of murine transgenic retinoblastoma.
Arch Ophthalmol. 1996 Nov;114(11):1385-9. doi: 10.1001/archopht.1996.01100140585010.
8
[The gene for susceptibility to retinoblastoma and the p53 gene. General introduction].
Pathol Biol (Paris). 1993 Jan;41(1):13-4.
9
Retinoblastoma in transgenic mice: models of hereditary retinoblastoma.转基因小鼠中的视网膜母细胞瘤:遗传性视网膜母细胞瘤模型
Surv Ophthalmol. 1999 May-Jun;43(6):508-18. doi: 10.1016/s0039-6257(99)00047-8.
10
Familial retinoblastoma--a cautionary tale.
J Pediatr Ophthalmol. 1976 Sep-Oct;13(5):278-82.

引用本文的文献

1
Penetration of Carbon Nanotubes into the Retinoblastoma Tumor after Intravitreal Injection in LH T Transgenic Mice Reti-noblastoma Model.在LH T转基因小鼠视网膜母细胞瘤模型中玻璃体内注射后碳纳米管对视网膜母细胞瘤肿瘤的穿透情况。
J Ophthalmic Vis Res. 2020 Oct 25;15(4):446-452. doi: 10.18502/jovr.v15i4.7778. eCollection 2020 Oct-Dec.
2
Transgenic Models in Retinoblastoma Research.视网膜母细胞瘤研究中的转基因模型
Ocul Oncol Pathol. 2015 Apr;1(3):207-13. doi: 10.1159/000370157. Epub 2015 Apr 9.
3
Progress in Small Molecule Therapeutics for the Treatment of Retinoblastoma.

本文引用的文献

1
Thymocyte apoptosis induced by p53-dependent and independent pathways.由p53依赖和非依赖途径诱导的胸腺细胞凋亡。
Nature. 1993 Apr 29;362(6423):849-52. doi: 10.1038/362849a0.
2
p53 is required for radiation-induced apoptosis in mouse thymocytes.p53是小鼠胸腺细胞辐射诱导凋亡所必需的。
Nature. 1993 Apr 29;362(6423):847-9. doi: 10.1038/362847a0.
3
p53-dependent apoptosis modulates the cytotoxicity of anticancer agents.p53 依赖性凋亡调节抗癌药物的细胞毒性。
用于治疗视网膜母细胞瘤的小分子疗法的进展
Mini Rev Med Chem. 2016;16(6):430-54. doi: 10.2174/1389557515666150722100610.
4
Lack of effect of SU1498, an inhibitor of vascular endothelial growth factor receptor-2, in a transgenic murine model of retinoblastoma.血管内皮生长因子受体-2抑制剂SU1498在视网膜母细胞瘤转基因小鼠模型中无效。
Open Ophthalmol J. 2008 Apr 2;2:62-7. doi: 10.2174/1874364100802010062.
5
Cyclin D1 fine-tunes the neurogenic output of embryonic retinal progenitor cells.细胞周期蛋白D1精细调节胚胎视网膜祖细胞的神经发生输出。
Neural Dev. 2009 May 5;4:15. doi: 10.1186/1749-8104-4-15.
6
Metastatic and nonmetastatic models of retinoblastoma.视网膜母细胞瘤的转移和非转移模型
Am J Pathol. 2000 Oct;157(4):1405-12. doi: 10.1016/S0002-9440(10)64653-6.
7
Multiple changes in oncogenes and tumor suppressor genes in human retinoblastoma.人类视网膜母细胞瘤中癌基因和肿瘤抑制基因的多种变化。
Trans Am Ophthalmol Soc. 1996;94:299-312; discussion 312-4.
Cell. 1993 Sep 24;74(6):957-67. doi: 10.1016/0092-8674(93)90719-7.
4
Epidermal cancer associated with expression of human papillomavirus type 16 E6 and E7 oncogenes in the skin of transgenic mice.与人乳头瘤病毒16型E6和E7致癌基因在转基因小鼠皮肤中表达相关的表皮癌
Proc Natl Acad Sci U S A. 1993 Jun 15;90(12):5583-7. doi: 10.1073/pnas.90.12.5583.
5
Tumorigenicity by human papillomavirus type 16 E6 and E7 in transgenic mice correlates with alterations in epithelial cell growth and differentiation.人乳头瘤病毒16型E6和E7在转基因小鼠中的致瘤性与上皮细胞生长和分化的改变相关。
J Virol. 1993 Mar;67(3):1373-84. doi: 10.1128/JVI.67.3.1373-1384.1993.
6
Speculations on the roles of RB1 in tissue-specific differentiation, tumor initiation, and tumor progression.关于RB1在组织特异性分化、肿瘤起始和肿瘤进展中作用的推测。
FASEB J. 1993 Jul;7(10):846-54. doi: 10.1096/fasebj.7.10.8344484.
7
The genetics of retinoblastoma, revisited.视网膜母细胞瘤的遗传学,再探讨。
Am J Hum Genet. 1994 Feb;54(2):264-73.
8
Photoreceptor cell tumors in transgenic mice.转基因小鼠中的光感受器细胞瘤
Invest Ophthalmol Vis Sci. 1994 Feb;35(2):342-51.
9
Apoptosis or retinoblastoma: alternative fates of photoreceptors expressing the HPV-16 E7 gene in the presence or absence of p53.凋亡或视网膜母细胞瘤:在有或无p53的情况下,表达人乳头瘤病毒16型E7基因的光感受器的不同命运。
Genes Dev. 1994 Jun 1;8(11):1300-10. doi: 10.1101/gad.8.11.1300.
10
Expression and amplification of the N-myc gene in primary retinoblastoma.N-myc基因在原发性视网膜母细胞瘤中的表达与扩增
Nature. 1984;309(5967):458-60. doi: 10.1038/309458a0.