Asins G, Serra D, Arias G, Hegardt F G
Unit of Biochemistry, School of Pharmacy, University of Barcelona, Spain.
Biochem J. 1995 Mar 1;306 ( Pt 2)(Pt 2):379-84. doi: 10.1042/bj3060379.
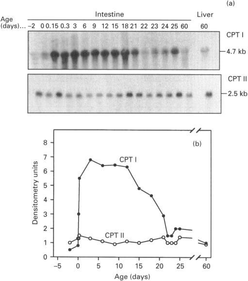
Carnitine palmitoyltransferase (CPT) I is expressed in the intestine of suckling rats; its mRNA increases very rapidly after birth, remains on a plateau until day 18 and decreases until weaning, when basal (adult) values are reached, which remain unchanged thereafter. CPT II mRNA values do not show any appreciable change in this period. CPT I and CPT II are expressed mainly in mucosa and, to a lesser extent, in the muscular part of the intestine. Intestinal expression of CPT I is maximal in duodenum and jejunum, whereas CPT II is expressed in a similar pattern throughout the whole intestine. Dam's milk may influence the intestinal expression of CPT I, since mRNA levels at birth are low but increase after the first lactation. Moreover, rats weaned at either day 18 or 21 decrease their mRNA levels. Apparently, CPT II gene expression is not influenced by the mother's milk. CPT I and CPT II are also expressed in the liver of suckling rats. Hepatic CPT I is maximal at day 3, and levels of CPT II mRNA do not change, in a similar fashion to that in intestine. The profile of expression of CPT I in liver and intestine strongly resembles that previously reported for mitochondrial 3-hydroxy-3-methyl-glutaryl-CoA synthase.
肉碱棕榈酰转移酶(CPT)I在哺乳期大鼠的肠道中表达;其mRNA在出生后迅速增加,在第18天之前保持在一个平台期,然后下降直至断奶,此时达到基础(成年)值,此后保持不变。在此期间,CPT II mRNA值没有显示出任何明显变化。CPT I和CPT II主要在黏膜中表达,在肠道的肌肉部分表达较少。CPT I在十二指肠和空肠中的肠道表达最高,而CPT II在整个肠道中以类似模式表达。母鼠的乳汁可能会影响CPT I的肠道表达,因为出生时mRNA水平较低,但在第一次哺乳后会增加。此外,在第18天或第21天断奶的大鼠其mRNA水平会下降。显然,CPT II基因表达不受母鼠乳汁的影响。CPT I和CPT II也在哺乳期大鼠的肝脏中表达。肝脏中的CPT I在第3天最高,CPT II mRNA水平没有变化,与肠道中的情况类似。肝脏和肠道中CPT I的表达谱与先前报道的线粒体3-羟基-3-甲基戊二酰辅酶A合酶的表达谱非常相似。