Suppr超能文献

冯·雷克林霍增氏病的血管表现

Vascular manifestations of von Recklinghausen's disease.

作者信息

Fye K H, Jacobs R P, Roe R L

出版信息

West J Med. 1975 Feb;122(2):110-6.

Abstract

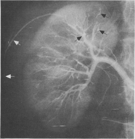
A casual relationship between von Recklinghausen's disease, or neurofibromatosis, and arteriolar abnormalities has been reported in the European literature. A patient was seen who had biopsy-proved neurofibromatosis and renovascular hypertension and retroperitoneal bleeding. An arteriographic study showed multiple small aneurysms throughout the coeliac axis, the superior mesenteric artery and in several small intrarenal vessels. Renal vein renin levels were elevated particularly in the right renal vein, supporting the diagnosis of renovascular hypertension. Both the aneurysms seen in angiographic studies and the retroperitoneal hemorrhage are probably vascular manifestations of von Recklinghausen's disease. Support for this conclusion is enhanced by the absence of clinical, laboratory or histologic data supporting the only tenable differential diagnosis, periarteritis nodosa.

摘要

欧洲文献报道了冯雷克林霍增氏病(即神经纤维瘤病)与小动脉异常之间的偶然关系。有一位经活检证实患有神经纤维瘤病且伴有肾血管性高血压和腹膜后出血的患者。血管造影研究显示,在整个腹腔动脉、肠系膜上动脉以及数条肾内小血管中存在多个小动脉瘤。肾静脉肾素水平升高,尤其是右肾静脉,这支持了肾血管性高血压的诊断。血管造影研究中所见的动脉瘤和腹膜后出血可能都是冯雷克林霍增氏病所致的血管表现。由于缺乏支持唯一合理鉴别诊断——结节性多动脉炎的临床、实验室或组织学数据,这一结论得到了进一步支持。

https://cdn.ncbi.nlm.nih.gov/pmc/blobs/a0ae/1130299/4d08cb6f3eb0/westjmed00294-0041-a.jpg

文献检索

告别复杂PubMed语法,用中文像聊天一样搜索,搜遍4000万医学文献。AI智能推荐,让科研检索更轻松。

立即免费搜索

文件翻译

保留排版,准确专业,支持PDF/Word/PPT等文件格式,支持 12+语言互译。

免费翻译文档

深度研究

AI帮你快速写综述,25分钟生成高质量综述,智能提取关键信息,辅助科研写作。

立即免费体验