Suppr超能文献

髓过氧化物酶是脂蛋白氧化的催化剂,在人类动脉粥样硬化病变中表达。

Myeloperoxidase, a catalyst for lipoprotein oxidation, is expressed in human atherosclerotic lesions.

作者信息

Daugherty A, Dunn J L, Rateri D L, Heinecke J W

机构信息

Department of Medicine, Washington University School of Medicine, St. Louis, Missouri 63110.

出版信息

J Clin Invest. 1994 Jul;94(1):437-44. doi: 10.1172/JCI117342.

Abstract

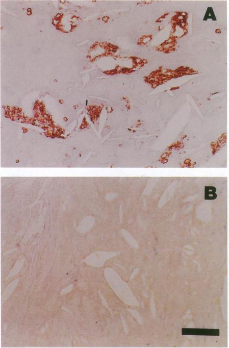
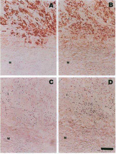
Oxidatively modified lipoproteins have been implicated in atherogenesis, but the mechanisms that promote oxidation in vivo have not been identified. Myeloperoxidase, a heme protein secreted by activated macrophages, generates reactive intermediates that oxidize lipoproteins in vitro. To explore the potential role of myeloperoxidase in the development of atherosclerosis, we determined whether the enzyme was present in surgically excised human vascular tissue. In detergent extracts of atherosclerotic arteries subjected to Western blotting, a rabbit polyclonal antibody monospecific for myeloperoxidase detected a 56-kD protein, the predicted molecular mass of the heavy subunit. Both the immunoreactive protein and authentic myeloperoxidase bound to a lectin-affinity column; after elution with methyl mannoside their apparent molecular masses were indistinguishable by nondenaturing size-exclusion chromatography. Peroxidase activity in detergent extracts of atherosclerotic lesions likewise bound to a lectin column and eluted with methyl mannoside. Moreover, eluted peroxidase generated the cytotoxic oxidant hypochlorous acid (HOCl), indicating that enzymatically active myeloperoxidase was present in lesions. Patterns of immunostaining of arterial tissue with antihuman myeloperoxidase antibodies were similar to those produced by an antimacrophage antibody, and were especially prominent in the shoulder region of transitional lesions. Intense foci of myeloperoxidase immunostaining also appeared adjacent to cholesterol clefts in lipid-rich regions of advanced atherosclerotic lesions. These findings identify myeloperoxidase as a component of human vascular lesions. Because this heme protein can generate reactive species that damage lipids and proteins, myeloperoxidase may contribute to atherogenesis by catalyzing oxidative reactions in the vascular wall.

摘要

氧化修饰的脂蛋白与动脉粥样硬化的发生有关,但体内促进氧化的机制尚未明确。髓过氧化物酶是活化巨噬细胞分泌的一种血红素蛋白,在体外可产生氧化脂蛋白的反应性中间体。为了探究髓过氧化物酶在动脉粥样硬化发展中的潜在作用,我们检测了手术切除的人体血管组织中是否存在该酶。在经蛋白质印迹法检测的动脉粥样硬化动脉去污剂提取物中,一种对髓过氧化物酶具有单特异性的兔多克隆抗体检测到一种56-kD的蛋白,即重亚基的预测分子量。免疫反应性蛋白和纯髓过氧化物酶均与凝集素亲和柱结合;用甲基甘露糖苷洗脱后,通过非变性尺寸排阻色谱法测定,它们的表观分子量无法区分。动脉粥样硬化病变去污剂提取物中的过氧化物酶活性同样与凝集素柱结合,并用甲基甘露糖苷洗脱。此外,洗脱后的过氧化物酶产生细胞毒性氧化剂次氯酸(HOCl),表明病变中存在具有酶活性的髓过氧化物酶。用人抗髓过氧化物酶抗体对动脉组织进行免疫染色的模式与抗巨噬细胞抗体产生的模式相似,在过渡性病变的肩部区域尤为明显。在晚期动脉粥样硬化病变富含脂质区域的胆固醇裂隙附近也出现了强烈的髓过氧化物酶免疫染色灶。这些发现确定髓过氧化物酶是人体血管病变的一个组成部分。由于这种血红素蛋白可产生损伤脂质和蛋白质的反应性物质,髓过氧化物酶可能通过催化血管壁中的氧化反应而促进动脉粥样硬化的发生。

https://cdn.ncbi.nlm.nih.gov/pmc/blobs/37cc/296328/dbdefdc12322/jcinvest00019-0457-a.jpg

文献检索

告别复杂PubMed语法,用中文像聊天一样搜索,搜遍4000万医学文献。AI智能推荐,让科研检索更轻松。

立即免费搜索

文件翻译

保留排版,准确专业,支持PDF/Word/PPT等文件格式,支持 12+语言互译。

免费翻译文档

深度研究

AI帮你快速写综述,25分钟生成高质量综述,智能提取关键信息,辅助科研写作。

立即免费体验