Suppr超能文献

在表达人胰岛淀粉样多肽的转基因小鼠的培养胰岛中形成了细胞内和细胞外淀粉样原纤维。

Intra- and extracellular amyloid fibrils are formed in cultured pancreatic islets of transgenic mice expressing human islet amyloid polypeptide.

作者信息

de Koning E J, Morris E R, Hofhuis F M, Posthuma G, Höppener J W, Morris J F, Capel P J, Clark A, Verbeek J S

机构信息

Diabetes Research Laboratories, University of Oxford, Radcliffe Infirmary, United Kingdom.

出版信息

Proc Natl Acad Sci U S A. 1994 Aug 30;91(18):8467-71. doi: 10.1073/pnas.91.18.8467.

Abstract

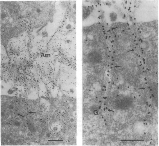
Islet amyloid polypeptide (IAPP) is the constituent peptide of amyloid deposits found in the islets of non-insulin-dependent diabetic patients. Formation of islet amyloid is associated with a progressive destruction of insulin-producing beta cells. Factors responsible for the conversion of IAPP into insoluble amyloid fibrils are unknown. Both the amino acid sequence of human IAPP (hIAPP) and hypersecretion of hIAPP have been implicated as factors for amyloid fibril formation in man. We have generated transgenic mice using rat insulin promoter-hIAPP or rat IAPP (rIAPP) gene constructs. No fibrillar islet amyloid was detectable in vivo in these normoglycemic mice, although small amorphous perivascular accumulations of IAPP were observed in hIAPP mice only. To determine the effects of glucose on IAPP secretion and fibrillogenesis, pancreatic islets from transgenic and control mice were examined in vitro. Islet IAPP secretion and content were increased in transgenic islets compared with control islets. IAPP-immunoreactive fibrils were formed at both intra- and extracellular sites in isolated hIAPP islets cultured with glucose at 11.1 and 28 mM for only 7 days. At 28 mM glucose, fibrils were present in deep invaginations of beta cells as observed in non-insulin-dependent diabetic patients. No fibrils were present at low glucose concentrations in hIAPP islets or at any glucose concentration in rIAPP or control islets. Thus, glucose-induced expression and secretion of hIAPP in transgenic mouse islets can lead to formation of amyloid fibrils similar to that found in non-insulin-dependent diabetes mellitus.

摘要

胰岛淀粉样多肽(IAPP)是在非胰岛素依赖型糖尿病患者胰岛中发现的淀粉样沉积物的组成肽。胰岛淀粉样变的形成与产生胰岛素的β细胞的进行性破坏有关。导致IAPP转化为不溶性淀粉样纤维的因素尚不清楚。人IAPP(hIAPP)的氨基酸序列和hIAPP的分泌过多都被认为是人类淀粉样纤维形成的因素。我们使用大鼠胰岛素启动子-hIAPP或大鼠IAPP(rIAPP)基因构建体生成了转基因小鼠。在这些血糖正常的小鼠体内未检测到纤维状胰岛淀粉样物,尽管仅在hIAPP小鼠中观察到IAPP的小的无定形血管周围积聚。为了确定葡萄糖对IAPP分泌和纤维形成的影响,对转基因小鼠和对照小鼠离体的胰岛进行了体外研究。与对照胰岛相比,转基因胰岛中IAPP的分泌和含量增加。在仅用11.1和28 mM葡萄糖培养7天的分离的hIAPP胰岛中,细胞内和细胞外位点均形成了IAPP免疫反应性纤维。在28 mM葡萄糖条件下,如在非胰岛素依赖型糖尿病患者中观察到的那样,β细胞的深凹陷处存在纤维。在hIAPP胰岛的低葡萄糖浓度下或在rIAPP或对照胰岛的任何葡萄糖浓度下均未出现纤维。因此,葡萄糖诱导的转基因小鼠胰岛中hIAPP的表达和分泌可导致形成与非胰岛素依赖型糖尿病中发现的类似的淀粉样纤维。

https://cdn.ncbi.nlm.nih.gov/pmc/blobs/ec1e/44627/43c2a3bcfa0b/pnas01140-0171-a.jpg

文献检索

告别复杂PubMed语法,用中文像聊天一样搜索,搜遍4000万医学文献。AI智能推荐,让科研检索更轻松。

立即免费搜索

文件翻译

保留排版,准确专业,支持PDF/Word/PPT等文件格式,支持 12+语言互译。

免费翻译文档

深度研究

AI帮你快速写综述,25分钟生成高质量综述,智能提取关键信息,辅助科研写作。

立即免费体验