Suppr超能文献

通过与1,10 - 菲咯啉铜(I)配合物偶联的蛋白质探测大肠杆菌Fis-DNA复合物的结构。

Structure of the Escherichia coli Fis-DNA complex probed by protein conjugated with 1,10-phenanthroline copper(I) complex.

作者信息

Pan C Q, Feng J A, Finkel S E, Landgraf R, Sigman D, Johnson R C

机构信息

Molecular Biology Institute, University of California, Los Angeles 90024-1737.

出版信息

Proc Natl Acad Sci U S A. 1994 Mar 1;91(5):1721-5. doi: 10.1073/pnas.91.5.1721.

Abstract

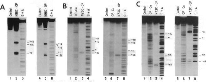
The Escherichia coli Fis (factor for inversion stimulation) protein functions in many diverse biological systems including recombination, transcription, and DNA replication. Although Fis is a site-specific DNA-binding protein, it lacks a well-defined consensus recognition sequence. The electrophoretic mobility of Fis-DNA complexes, along with considerations of the Fis crystal structure, indicates that significant deformation of DNA occurs upon Fis binding. To investigate the structure of Fis-DNA complexes, the chemical nuclease 1,10-phenanthroline-copper complex (OP-Cu) has been linked to four specific sites within the Fis DNA-binding domain. Two of these Fis-OP derivatives were active in cleaving DNA. The scission patterns obtained on four different Fis binding sites indicate that Fis positions itself on these highly divergent DNA sequences in a very similar fashion. The patterns of cleavage of a derivative at Asn-98 generally support a model of a Fis-DNA complex that contains specific bends within the core-recognition sequence. Data from a second Fis-OP derivative at Asn-73 provides evidence for greater wrapping of flanking DNA around the sides of the Fis protein than was previously postulated. The cleavage efficiency of flanking segments varies, suggesting that the extent of DNA wrapping is sequence dependent. Specific amino acids on Fis are implicated in promoting this DNA wrapping.

摘要

大肠杆菌Fis(倒位刺激因子)蛋白在包括重组、转录和DNA复制在内的许多不同生物系统中发挥作用。尽管Fis是一种位点特异性DNA结合蛋白,但它缺乏明确的共有识别序列。Fis-DNA复合物的电泳迁移率,以及对Fis晶体结构的考虑,表明Fis结合后DNA会发生显著变形。为了研究Fis-DNA复合物的结构,化学核酸酶1,10-菲咯啉-铜复合物(OP-Cu)已与Fis DNA结合结构域内的四个特定位点相连。其中两种Fis-OP衍生物具有切割DNA的活性。在四个不同的Fis结合位点上获得的切割模式表明,Fis以非常相似的方式将自身定位在这些高度不同的DNA序列上。Asn-98处衍生物的切割模式通常支持一种Fis-DNA复合物模型,该模型在核心识别序列内包含特定的弯曲。来自Asn-73处第二种Fis-OP衍生物的数据提供了证据,表明侧翼DNA在Fis蛋白两侧的缠绕程度比之前推测的更大。侧翼片段的切割效率各不相同,这表明DNA缠绕程度取决于序列。Fis上的特定氨基酸与促进这种DNA缠绕有关。

https://cdn.ncbi.nlm.nih.gov/pmc/blobs/1855/43235/f2920104477b/pnas01127-0131-a.jpg

文献检索

告别复杂PubMed语法,用中文像聊天一样搜索,搜遍4000万医学文献。AI智能推荐,让科研检索更轻松。

立即免费搜索

文件翻译

保留排版,准确专业,支持PDF/Word/PPT等文件格式,支持 12+语言互译。

免费翻译文档

深度研究

AI帮你快速写综述,25分钟生成高质量综述,智能提取关键信息,辅助科研写作。

立即免费体验