• 文献检索
  • 文档翻译
  • 深度研究
  • 学术资讯
  • Suppr Zotero 插件Zotero 插件
  • 邀请有礼
  • 套餐&价格
  • 历史记录
应用&插件
Suppr Zotero 插件Zotero 插件浏览器插件Mac 客户端Windows 客户端微信小程序
定价
高级版会员购买积分包购买API积分包
服务
文献检索文档翻译深度研究API 文档MCP 服务
关于我们
关于 Suppr公司介绍联系我们用户协议隐私条款
关注我们

Suppr 超能文献

核心技术专利:CN118964589B侵权必究
粤ICP备2023148730 号-1Suppr @ 2026

文献检索

告别复杂PubMed语法,用中文像聊天一样搜索,搜遍4000万医学文献。AI智能推荐,让科研检索更轻松。

立即免费搜索

文件翻译

保留排版,准确专业,支持PDF/Word/PPT等文件格式,支持 12+语言互译。

免费翻译文档

深度研究

AI帮你快速写综述,25分钟生成高质量综述,智能提取关键信息,辅助科研写作。

立即免费体验

丝氨酸/苏氨酸磷酸酶抑制剂可增强干扰素-γ受体的磷酸化,同时选择性减弱人外周血单核细胞中干扰素-γ诱导的基因表达。

Inhibitors of serine/threonine phosphatases enhance phosphorylation of the interferon-gamma receptor while selectively attenuating interferon-gamma-induced gene expression in human peripheral-blood monocytes.

作者信息

Luong H, Winestock K D, Finbloom D S

机构信息

Division of Cytokine Biology, Food and Drug Administration, Bethesda, MD 20892.

出版信息

Biochem J. 1994 May 1;299 ( Pt 3)(Pt 3):799-803. doi: 10.1042/bj2990799.

DOI:10.1042/bj2990799
PMID:8192669
原文链接:https://pmc.ncbi.nlm.nih.gov/articles/PMC1138091/
Abstract

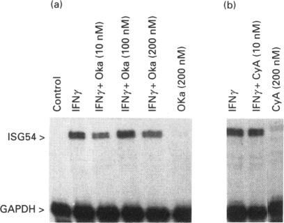
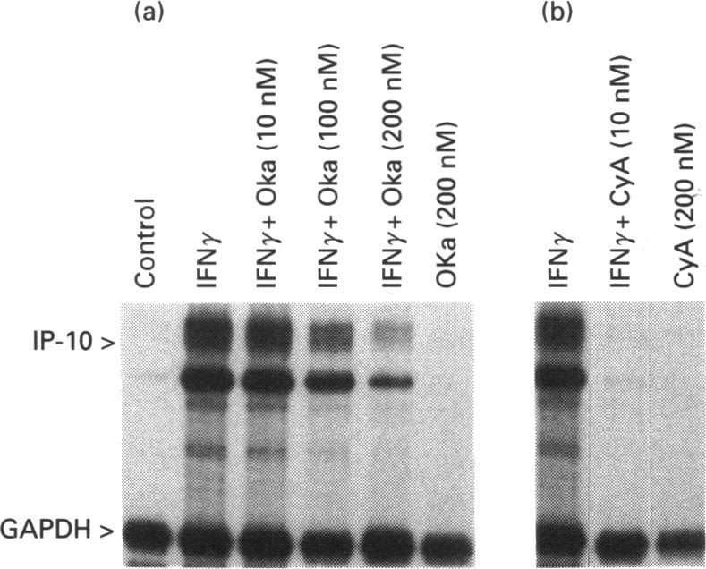
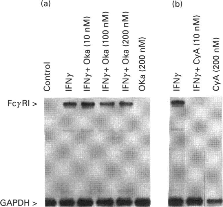
Since many events following ligand-induced receptor clustering are controlled by serine and threonine (Ser/Thr) phosphorylation, we initiated an investigation into the role of Ser/Thr phosphatases in both phosphorylation of the interferon-gamma (IFN-gamma) receptor and IFN gamma-induced gene expression in human peripheral-blood monocytes. Whereas IFN gamma alone did not enhance phosphorylation of the IFN gamma receptor, treatment of monocytes with the Ser/Thr phosphatase inhibitors, okadaic acid and calyculin A, resulted in increased phosphorylation of the IFN gamma receptor. However, when these cells were analysed for IFN gamma-induced IP-10 gene expression, there was profound inhibition. Using three IFN gamma-induced early-response genes, IP-10, the Fc gamma receptor type I (Fc gamma RI) and ISG-54, we found selective sensitivity to pretreatment with okadaic acid and calyculin A. Whereas IFN gamma induction of IP-10 was blocked by both inhibitors, only calyculin A prevented Fc gamma RI-gene expression. Neither inhibitor prevented ISG-54 induction by IFN gamma. IFN-gamma-activated formation of the DNA-binding-protein complex FcRF gamma (which binds to the promoter of the Fc gamma RI gene) remained unaffected by okadaic acid or calyculin A. Therefore these data suggest that Ser/Thr phosphatases have no major part in IFN gamma-initiated signal transduction across the membrane, but selectively control the ultimate transcription of a set of early-response genes.

摘要

由于配体诱导的受体聚集后的许多事件都受丝氨酸和苏氨酸(Ser/Thr)磷酸化调控,我们着手研究Ser/Thr磷酸酶在人外周血单核细胞中干扰素-γ(IFN-γ)受体磷酸化及IFN-γ诱导的基因表达中的作用。单独的IFN-γ并不能增强IFN-γ受体的磷酸化,但用Ser/Thr磷酸酶抑制剂冈田酸和花萼海绵诱癌素A处理单核细胞,会导致IFN-γ受体磷酸化增加。然而,当分析这些细胞的IFN-γ诱导的IP-10基因表达时,却出现了明显的抑制。利用三个IFN-γ诱导的早期反应基因,即IP-10、I型Fcγ受体(FcγRI)和ISG-54,我们发现它们对冈田酸和花萼海绵诱癌素A预处理具有选择性敏感性。虽然两种抑制剂都阻断了IFN-γ对IP-10的诱导,但只有花萼海绵诱癌素A能阻止FcγRI基因的表达。两种抑制剂都不能阻止IFN-γ对ISG-54的诱导。IFN-γ激活形成的DNA结合蛋白复合物FcRFγ(它与FcγRI基因的启动子结合)不受冈田酸或花萼海绵诱癌素A的影响。因此,这些数据表明,Ser/Thr磷酸酶在IFN-γ启动的跨膜信号转导中不起主要作用,但能选择性地控制一组早期反应基因的最终转录。

https://cdn.ncbi.nlm.nih.gov/pmc/blobs/26ee/1138091/87c81d268f8d/biochemj00088-0203-a.jpg
https://cdn.ncbi.nlm.nih.gov/pmc/blobs/26ee/1138091/0da99a0d3139/biochemj00088-0201-a.jpg
https://cdn.ncbi.nlm.nih.gov/pmc/blobs/26ee/1138091/28d4b7181ba8/biochemj00088-0202-a.jpg
https://cdn.ncbi.nlm.nih.gov/pmc/blobs/26ee/1138091/b8fb94264e4d/biochemj00088-0202-b.jpg
https://cdn.ncbi.nlm.nih.gov/pmc/blobs/26ee/1138091/98dcc4b407f3/biochemj00088-0202-c.jpg
https://cdn.ncbi.nlm.nih.gov/pmc/blobs/26ee/1138091/fbe206f5eb77/biochemj00088-0202-d.jpg
https://cdn.ncbi.nlm.nih.gov/pmc/blobs/26ee/1138091/87c81d268f8d/biochemj00088-0203-a.jpg
https://cdn.ncbi.nlm.nih.gov/pmc/blobs/26ee/1138091/0da99a0d3139/biochemj00088-0201-a.jpg
https://cdn.ncbi.nlm.nih.gov/pmc/blobs/26ee/1138091/28d4b7181ba8/biochemj00088-0202-a.jpg
https://cdn.ncbi.nlm.nih.gov/pmc/blobs/26ee/1138091/b8fb94264e4d/biochemj00088-0202-b.jpg
https://cdn.ncbi.nlm.nih.gov/pmc/blobs/26ee/1138091/98dcc4b407f3/biochemj00088-0202-c.jpg
https://cdn.ncbi.nlm.nih.gov/pmc/blobs/26ee/1138091/fbe206f5eb77/biochemj00088-0202-d.jpg
https://cdn.ncbi.nlm.nih.gov/pmc/blobs/26ee/1138091/87c81d268f8d/biochemj00088-0203-a.jpg

相似文献

1
Inhibitors of serine/threonine phosphatases enhance phosphorylation of the interferon-gamma receptor while selectively attenuating interferon-gamma-induced gene expression in human peripheral-blood monocytes.丝氨酸/苏氨酸磷酸酶抑制剂可增强干扰素-γ受体的磷酸化,同时选择性减弱人外周血单核细胞中干扰素-γ诱导的基因表达。
Biochem J. 1994 May 1;299 ( Pt 3)(Pt 3):799-803. doi: 10.1042/bj2990799.
2
Interferon gamma rapidly induces in human monocytes a DNA-binding factor that recognizes the gamma response region within the promoter of the gene for the high-affinity Fc gamma receptor.干扰素γ能迅速在人单核细胞中诱导出一种DNA结合因子,该因子可识别高亲和力Fcγ受体基因启动子内的γ反应区域。
Proc Natl Acad Sci U S A. 1992 Dec 15;89(24):11964-8. doi: 10.1073/pnas.89.24.11964.
3
IgG immune complexes inhibit IFN-gamma-induced transcription of the Fc gamma RI gene in human monocytes by preventing the tyrosine phosphorylation of the p91 (Stat1) transcription factor.IgG免疫复合物通过阻止p91(Stat1)转录因子的酪氨酸磷酸化,抑制人单核细胞中γ干扰素诱导的FcγRI基因转录。
J Immunol. 1995 Jan 1;154(1):318-25.
4
Protein phosphatase inhibitors induce the sustained expression of the Egr-1 gene and the hyperphosphorylation of its gene product.
J Biol Chem. 1992 Jun 25;267(18):12991-7.
5
Culture of human monocytes with granulocyte-macrophage colony-stimulating factor results in enhancement of IFN-gamma receptors but suppression of IFN-gamma-induced expression of the gene IP-10.用人粒细胞巨噬细胞集落刺激因子培养人单核细胞会导致干扰素-γ受体增加,但会抑制干扰素-γ诱导的IP-10基因表达。
J Immunol. 1993 Mar 15;150(6):2383-90.
6
T cell apoptosis induced by interleukin-2 deprivation or transforming growth factor-beta 2: modulation by the phosphatase inhibitors okadaic acid and calyculin A.白细胞介素-2缺乏或转化生长因子-β2诱导的T细胞凋亡:磷酸酶抑制剂冈田酸和花萼海绵诱癌素A的调节作用
Exp Cell Res. 1995 Dec;221(2):395-403. doi: 10.1006/excr.1995.1390.
7
The serine/threonine phosphatase inhibitor, calyculin A, inhibits and dissociates macrophage responses to lipopolysaccharide.丝氨酸/苏氨酸磷酸酶抑制剂花萼海绵诱癌素A可抑制并解除巨噬细胞对脂多糖的反应。
J Immunol. 1995 Aug 1;155(3):1404-10.
8
Inhibitors of serine/threonine phosphoprotein phosphatases alter circadian properties in Gonyaulax polyedra.丝氨酸/苏氨酸磷酸蛋白磷酸酶抑制剂可改变多甲藻的昼夜节律特性。
Plant Physiol. 1996 May;111(1):285-91. doi: 10.1104/pp.111.1.285.
9
Inhibition of alpha interferon but not gamma interferon signal transduction by phorbol esters is mediated by a tyrosine phosphatase.佛波酯对α干扰素而非γ干扰素信号转导的抑制作用是由一种酪氨酸磷酸酶介导的。
Mol Cell Biol. 1996 Apr;16(4):1419-24. doi: 10.1128/MCB.16.4.1419.
10
IFN-gamma induces gp91phox expression in human monocytes via protein kinase C-dependent phosphorylation of PU.1.γ干扰素通过蛋白激酶C依赖的PU.1磷酸化诱导人单核细胞中gp91phox的表达。
J Immunol. 2004 Apr 15;172(8):4941-7. doi: 10.4049/jimmunol.172.8.4941.

本文引用的文献

1
Interferon gamma-induced transcription of the high-affinity Fc receptor for IgG requires assembly of a complex that includes the 91-kDa subunit of transcription factor ISGF3.γ干扰素诱导的IgG高亲和力Fc受体转录需要一种复合物的组装,该复合物包括转录因子ISGF3的91-kDa亚基。
Proc Natl Acad Sci U S A. 1993 May 1;90(9):4314-8. doi: 10.1073/pnas.90.9.4314.
2
The molecular cell biology of interferon-gamma and its receptor.干扰素-γ及其受体的分子细胞生物学
Annu Rev Immunol. 1993;11:571-611. doi: 10.1146/annurev.iy.11.040193.003035.
3
Two cis-DNA elements involved in myeloid-cell-specific expression and gamma interferon (IFN-gamma) activation of the human high-affinity Fc gamma receptor gene: a novel IFN regulatory mechanism.
参与人高亲和力Fcγ受体基因髓样细胞特异性表达和γ干扰素(IFN-γ)激活的两个顺式DNA元件:一种新型的IFN调控机制。
Mol Cell Biol. 1993 Apr;13(4):2182-92. doi: 10.1128/mcb.13.4.2182-2192.1993.
4
Transcription factor p91 interacts with the epidermal growth factor receptor and mediates activation of the c-fos gene promoter.转录因子p91与表皮生长因子受体相互作用,并介导c-fos基因启动子的激活。
Cell. 1993 Sep 24;74(6):1135-45. doi: 10.1016/0092-8674(93)90734-8.
5
Ras-independent growth factor signaling by transcription factor tyrosine phosphorylation.转录因子酪氨酸磷酸化介导的不依赖Ras的生长因子信号传导
Science. 1993 Sep 24;261(5129):1736-9. doi: 10.1126/science.8378775.
6
Induction by EGF and interferon-gamma of tyrosine phosphorylated DNA binding proteins in mouse liver nuclei.表皮生长因子(EGF)和γ干扰素对小鼠肝细胞核中酪氨酸磷酸化DNA结合蛋白的诱导作用
Science. 1993 Sep 24;261(5129):1733-6. doi: 10.1126/science.8378774.
7
Tyrosine phosphorylation of DNA binding proteins by multiple cytokines.多种细胞因子使DNA结合蛋白发生酪氨酸磷酸化。
Science. 1993 Sep 24;261(5129):1730-3. doi: 10.1126/science.8378773.
8
In vitro activation of a transcription factor by gamma interferon requires a membrane-associated tyrosine kinase and is mimicked by vanadate.γ干扰素在体外对转录因子的激活需要一种膜相关酪氨酸激酶,并且钒酸盐可模拟这种激活作用。
Mol Cell Biol. 1993 Jul;13(7):3984-9. doi: 10.1128/mcb.13.7.3984-3989.1993.
9
Differential effect of monoclonal anti-DR antibody on monocytes in antigen- and mitogen-stimulated responses: mechanism of inhibition and relationship to interleukin 1 secretion.单克隆抗-DR抗体在抗原和丝裂原刺激反应中对单核细胞的不同作用:抑制机制及与白细胞介素1分泌的关系
Cell Immunol. 1983 Dec;82(2):394-402. doi: 10.1016/0008-8749(83)90172-7.
10
Post-transcriptional regulation of glyceraldehyde-3-phosphate-dehydrogenase gene expression in rat tissues.大鼠组织中3-磷酸甘油醛脱氢酶基因表达的转录后调控
Nucleic Acids Res. 1984 Sep 25;12(18):6951-63. doi: 10.1093/nar/12.18.6951.