Suppr超能文献

急性双表型白血病的免疫学和超微结构研究。

Immunological and ultrastructural studies in acute biphenotypic leukaemia.

作者信息

Shetty V, Chitale A, Matutes E, Buccheri V, Morilla R, Catovsky D

机构信息

Academic Department of Haematology, Royal Marsden Hospital, London.

出版信息

J Clin Pathol. 1993 Oct;46(10):903-7. doi: 10.1136/jcp.46.10.903.

Abstract

AIMS

To compare the sensitivity of the ultrastructural method to detect myeloperoxidase (MPO) with light microscopy and immunocytochemistry using an anti-MPO antibody; to examine the expression of lymphoid antigens in relation to MPO activity in blast cells from cases of biphenotypic leukaemia.

METHODS

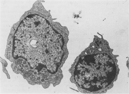
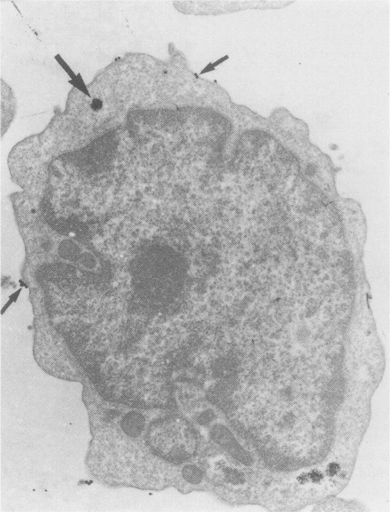
Blast cells from 14 cases of biphenotypic acute leukaemia were analysed. Immunological markers were performed by single or double immunofluorescence staining on a flow cytometer. The presence of MPO was determined by light microscopy, electron microscopy on fixed and unfixed cells, and by immunoalkaline phosphatase with an anti-MPO antibody. The immunogold method was applied at the ultrastructural level to assess the expression of lymphoid and myeloid antigens at the same time as the MPO activity.

RESULTS

Six of the 14 cases were initially classified as acute lymphoblastic leukaemia (ALL) and eight as acute myeloid leukaemia (AML). MPO activity was shown at the ultrastructural level in 4-99% blasts from all cases. Six of the 14 were MPO negative by light microscopy and three of these were negative with the antibody anti-MPO. Coexpression of lymphoid antigens (CD19, CD10, or CD2) and MPO was shown by the immunogold method in four out of 11 cases; in seven cases the blasts coexpressed myeloid antigens (CD13, CD33) and MPO.

CONCLUSIONS

Electron microscopy is more sensitive for showing MPO than light microscopy and immunocytochemistry; the immunogold method combined with MPO used at the ultrastructural level can help to define the cell lineage involved in biphenotypic leukaemia by highlighting the myeloid component defined by MPO.

摘要

目的

比较超微结构方法与光学显微镜及使用抗髓过氧化物酶(MPO)抗体的免疫细胞化学方法检测MPO的敏感性;研究双表型白血病病例原始细胞中淋巴样抗原表达与MPO活性的关系。

方法

分析14例双表型急性白血病的原始细胞。通过流式细胞仪上的单或双免疫荧光染色检测免疫标志物。通过光学显微镜、固定及未固定细胞的电子显微镜以及使用抗MPO抗体的免疫碱性磷酸酶法测定MPO的存在。在超微结构水平应用免疫金法在评估MPO活性的同时评估淋巴样和髓样抗原的表达。

结果

14例中有6例最初被分类为急性淋巴细胞白血病(ALL),8例为急性髓细胞白血病(AML)。所有病例中4% - 99%的原始细胞在超微结构水平显示MPO活性。14例中有6例通过光学显微镜检测MPO为阴性,其中3例使用抗MPO抗体检测也为阴性。免疫金法显示11例中有4例原始细胞共表达淋巴样抗原(CD19、CD10或CD2)和MPO;7例原始细胞共表达髓样抗原(CD13、CD33)和MPO。

结论

电子显微镜在显示MPO方面比光学显微镜和免疫细胞化学更敏感;在超微结构水平将免疫金法与MPO结合使用,通过突出由MPO定义的髓样成分,有助于确定双表型白血病中涉及的细胞系。

https://cdn.ncbi.nlm.nih.gov/pmc/blobs/93f4/501615/7923370a2133/jclinpath00211-0025-a.jpg

文献检索

告别复杂PubMed语法,用中文像聊天一样搜索,搜遍4000万医学文献。AI智能推荐,让科研检索更轻松。

立即免费搜索

文件翻译

保留排版,准确专业,支持PDF/Word/PPT等文件格式,支持 12+语言互译。

免费翻译文档

深度研究

AI帮你快速写综述,25分钟生成高质量综述,智能提取关键信息,辅助科研写作。

立即免费体验