• 文献检索
  • 文档翻译
  • 深度研究
  • 学术资讯
  • Suppr Zotero 插件Zotero 插件
  • 邀请有礼
  • 套餐&价格
  • 历史记录
应用&插件
Suppr Zotero 插件Zotero 插件浏览器插件Mac 客户端Windows 客户端微信小程序
定价
高级版会员购买积分包购买API积分包
服务
文献检索文档翻译深度研究API 文档MCP 服务
关于我们
关于 Suppr公司介绍联系我们用户协议隐私条款
关注我们

Suppr 超能文献

核心技术专利:CN118964589B侵权必究
粤ICP备2023148730 号-1Suppr @ 2026

文献检索

告别复杂PubMed语法,用中文像聊天一样搜索,搜遍4000万医学文献。AI智能推荐,让科研检索更轻松。

立即免费搜索

文件翻译

保留排版,准确专业,支持PDF/Word/PPT等文件格式,支持 12+语言互译。

免费翻译文档

深度研究

AI帮你快速写综述,25分钟生成高质量综述,智能提取关键信息,辅助科研写作。

立即免费体验

异戊二烯化介导了丁型肝炎病毒大δ抗原与乙型肝炎病毒表面抗原之间直接的蛋白质-蛋白质相互作用。

Isoprenylation mediates direct protein-protein interactions between hepatitis large delta antigen and hepatitis B virus surface antigen.

作者信息

Hwang S B, Lai M M

机构信息

Howard Hughes Medical Institute, University of Southern California School of Medicine, Los Angeles 90033-1054.

出版信息

J Virol. 1993 Dec;67(12):7659-62. doi: 10.1128/JVI.67.12.7659-7662.1993.

DOI:10.1128/JVI.67.12.7659-7662.1993
PMID:8230486
原文链接:https://pmc.ncbi.nlm.nih.gov/articles/PMC238236/
Abstract

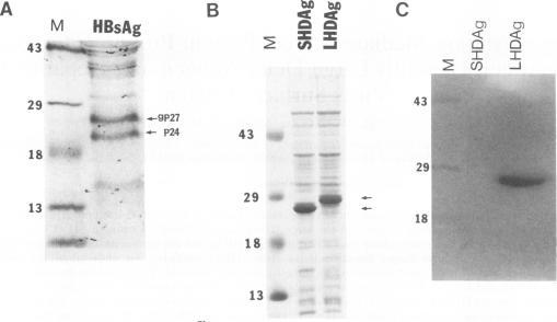
Hepatitis delta antigen (HDAg) consists of two protein species of 195 and 214 amino acids, respectively, which are identical in sequence except that the large HDAg has additional 19 amino acids at its C terminus and is prenylated. Previous studies have shown that the large HDAg and the surface antigen of hepatitis B virus (HBsAg) together can form empty hepatitis delta virus (HDV) particles. To understand the molecular mechanism of HDV virion morphogenesis, we investigated the possible direct protein-protein interaction between HDAg and HBsAg. We constructed recombinant baculoviruses expressing the major form of HBsAg and various mutant HDAgs and used these proteins for far-Western protein binding assays. We demonstrated that HBsAg interacted specifically with the large HDAg but not with the small HDAg. Using mutant HDAgs which have defective or aberrant prenylation, we showed that this interaction required isoprenylates on the cysteine residue of the C terminus of the large HDAg. Isoprenylation alone, without the remainder of the C-terminal amino acids of the large HDAg, was insufficient to mediate interaction with HBsAg. This study demonstrates a novel role of prenylates in HDV virion assembly.

摘要

丁型肝炎抗原(HDAg)由两种蛋白质组成,分别含195和214个氨基酸,它们的序列相同,只是大HDAg在其C末端有额外的19个氨基酸且被异戊二烯化。先前的研究表明,大HDAg与乙型肝炎病毒(HBsAg)的表面抗原一起可形成空的丁型肝炎病毒(HDV)颗粒。为了解HDV病毒粒子形态发生的分子机制,我们研究了HDAg与HBsAg之间可能存在的直接蛋白质-蛋白质相互作用。我们构建了表达HBsAg主要形式和各种突变HDAg的重组杆状病毒,并将这些蛋白质用于远缘Western蛋白质结合试验。我们证明HBsAg与大HDAg特异性相互作用,而不与小HDAg相互作用。使用具有缺陷或异常异戊二烯化的突变HDAg,我们表明这种相互作用需要大HDAg C末端半胱氨酸残基上的异戊二烯化。仅异戊二烯化,没有大HDAg C末端氨基酸的其余部分,不足以介导与HBsAg的相互作用。这项研究证明了异戊二烯化在HDV病毒粒子组装中的新作用。

https://cdn.ncbi.nlm.nih.gov/pmc/blobs/45c0/238236/d87e1aa30453/jvirol00033-0759-b.jpg
https://cdn.ncbi.nlm.nih.gov/pmc/blobs/45c0/238236/1b8ba13d154e/jvirol00033-0758-a.jpg
https://cdn.ncbi.nlm.nih.gov/pmc/blobs/45c0/238236/a3d588fd0622/jvirol00033-0759-a.jpg
https://cdn.ncbi.nlm.nih.gov/pmc/blobs/45c0/238236/d87e1aa30453/jvirol00033-0759-b.jpg
https://cdn.ncbi.nlm.nih.gov/pmc/blobs/45c0/238236/1b8ba13d154e/jvirol00033-0758-a.jpg
https://cdn.ncbi.nlm.nih.gov/pmc/blobs/45c0/238236/a3d588fd0622/jvirol00033-0759-a.jpg
https://cdn.ncbi.nlm.nih.gov/pmc/blobs/45c0/238236/d87e1aa30453/jvirol00033-0759-b.jpg

相似文献

1
Isoprenylation mediates direct protein-protein interactions between hepatitis large delta antigen and hepatitis B virus surface antigen.异戊二烯化介导了丁型肝炎病毒大δ抗原与乙型肝炎病毒表面抗原之间直接的蛋白质-蛋白质相互作用。
J Virol. 1993 Dec;67(12):7659-62. doi: 10.1128/JVI.67.12.7659-7662.1993.
2
Mutational analysis of delta antigen: effect on assembly and replication of hepatitis delta virus.δ抗原的突变分析:对丁型肝炎病毒组装和复制的影响
J Virol. 1994 Feb;68(2):646-53. doi: 10.1128/JVI.68.2.646-653.1994.
3
Casein kinase II and protein kinase C modulate hepatitis delta virus RNA replication but not empty viral particle assembly.酪蛋白激酶II和蛋白激酶C调节丁型肝炎病毒RNA复制,但不调节空病毒颗粒组装。
J Virol. 1996 Sep;70(9):6190-8. doi: 10.1128/JVI.70.9.6190-6198.1996.
4
The large form of hepatitis delta antigen is crucial for assembly of hepatitis delta virus.δ型肝炎抗原的大分子形式对于δ型肝炎病毒的组装至关重要。
Proc Natl Acad Sci U S A. 1991 Oct 1;88(19):8490-4. doi: 10.1073/pnas.88.19.8490.
5
Functional study of hepatitis delta virus large antigen in packaging and replication inhibition: role of the amino-terminal leucine zipper.丁型肝炎病毒大抗原在包装和复制抑制中的功能研究:氨基末端亮氨酸拉链的作用
J Virol. 1992 May;66(5):2853-9. doi: 10.1128/JVI.66.5.2853-2859.1992.
6
A tryptophan-rich motif in the carboxyl terminus of the small envelope protein of hepatitis B virus is central to the assembly of hepatitis delta virus particles.乙型肝炎病毒小包膜蛋白羧基末端富含色氨酸的基序对于丁型肝炎病毒颗粒的组装至关重要。
J Virol. 2006 May;80(10):4648-55. doi: 10.1128/JVI.80.10.4648-4655.2006.
7
Functional domains of delta antigens and viral RNA required for RNA packaging of hepatitis delta virus.丁型肝炎病毒RNA包装所需的δ抗原和病毒RNA的功能结构域。
J Virol. 1995 Apr;69(4):2508-14. doi: 10.1128/JVI.69.4.2508-2514.1995.
8
Isoprenylation of large hepatitis delta antigen is necessary but not sufficient for hepatitis delta virus assembly.大丁型肝炎抗原的异戊二烯化对于丁型肝炎病毒的组装是必要的,但并不充分。
Virology. 1994 Feb 15;199(1):169-75. doi: 10.1006/viro.1994.1109.
9
Identification of a novel interaction site between the large hepatitis delta antigen and clathrin that regulates the assembly of genotype III hepatitis delta virus.鉴定一种新型的大庚型肝炎 delta 抗原和网格蛋白之间的相互作用位点,该位点调节 III 型庚型肝炎 delta 病毒的组装。
Virol J. 2022 Oct 17;19(1):163. doi: 10.1186/s12985-022-01866-3.
10
Isoprenylation masks a conformational epitope and enhances trans-dominant inhibitory function of the large hepatitis delta antigen.异戊二烯化掩盖了一个构象表位,并增强了丁型肝炎大抗原的反式显性抑制功能。
J Virol. 1994 May;68(5):2958-64. doi: 10.1128/JVI.68.5.2958-2964.1994.

引用本文的文献

1
Pathogenesis, prevention, and therapeutic advances in hepatitis B, C, and D.乙型、丙型和丁型肝炎的发病机制、预防及治疗进展
Virol J. 2025 Aug 11;22(1):274. doi: 10.1186/s12985-025-02907-3.
2
Proteins and peptides as antigen candidates for the immunodiagnosis of hepatitis D.蛋白质和肽作为丁型肝炎免疫诊断的抗原候选物。
Amino Acids. 2025 Jul 4;57(1):35. doi: 10.1007/s00726-025-03465-2.
3
Hepatitis B virus entry, assembly, and egress.乙型肝炎病毒的进入、组装和释放。

本文引用的文献

1
A unique conformation at the carboxyl terminus of the small hepatitis delta antigen revealed by a specific monoclonal antibody.一种特异性单克隆抗体揭示的小δ型肝炎抗原羧基末端的独特构象。
Virology. 1993 Apr;193(2):924-31. doi: 10.1006/viro.1993.1201.
2
Protein prenylation: a mediator of protein-protein interactions.蛋白质异戊二烯化:蛋白质-蛋白质相互作用的介质
Science. 1993 Mar 26;259(5103):1865-6. doi: 10.1126/science.8456312.
3
Role of the large hepatitis B virus envelope protein in infectivity of the hepatitis delta virion.乙型肝炎病毒大包膜蛋白在丁型肝炎病毒粒子感染性中的作用。
Microbiol Mol Biol Rev. 2024 Dec 18;88(4):e0001424. doi: 10.1128/mmbr.00014-24. Epub 2024 Oct 23.
4
Deciphering the Role of Post-Translational Modifications and Cellular Location of Hepatitis Delta Virus (HDV) Antigens in HDV-Mediated Liver Damage in Mice.解析乙型肝炎 delta 病毒(HDV)抗原的翻译后修饰和细胞定位在 HDV 介导的小鼠肝损伤中的作用。
Viruses. 2024 Feb 28;16(3):379. doi: 10.3390/v16030379.
5
Molecular determinants within the C-termini of L-HDAg that regulate hepatitis D virus replication and assembly.L-HDAg C末端内调节丁型肝炎病毒复制和组装的分子决定因素。
JHEP Rep. 2023 Nov 15;6(1):100961. doi: 10.1016/j.jhepr.2023.100961. eCollection 2024 Jan.
6
Cellular Factors Involved in the Hepatitis D Virus Life Cycle.参与丁型肝炎病毒生命周期的细胞因子。
Viruses. 2023 Aug 3;15(8):1687. doi: 10.3390/v15081687.
7
Medical Advances in Hepatitis D Therapy: Molecular Targets.乙型肝炎 D 治疗的医学进展:分子靶点。
Int J Mol Sci. 2022 Sep 16;23(18):10817. doi: 10.3390/ijms231810817.
8
Multiple Regions Drive Hepatitis Delta Virus Proliferation and Are Therapeutic Targets.多个区域驱动丁型肝炎病毒增殖且是治疗靶点。
Front Microbiol. 2022 Apr 6;13:838382. doi: 10.3389/fmicb.2022.838382. eCollection 2022.
9
Hepatitis Delta Virus (HDV) and Delta-Like Agents: Insights Into Their Origin.丁型肝炎病毒(HDV)和类丁型因子:对其起源的见解
Front Microbiol. 2021 Jun 21;12:652962. doi: 10.3389/fmicb.2021.652962. eCollection 2021.
10
Interplay between Hepatitis D Virus and the Interferon Response.乙型肝炎病毒与干扰素反应的相互作用。
Viruses. 2020 Nov 20;12(11):1334. doi: 10.3390/v12111334.
J Virol. 1993 Jan;67(1):366-72. doi: 10.1128/JVI.67.1.366-372.1993.
4
Transmission of the hepatitis B virus-associated delta antigen to chimpanzees.乙型肝炎病毒相关δ抗原向黑猩猩的传播。
J Infect Dis. 1980 May;141(5):590-602. doi: 10.1093/infdis/141.5.590.
5
Fulminant B viral hepatitis: role of delta agent.暴发性乙型病毒性肝炎:丁型肝炎病毒的作用
Gastroenterology. 1984 Jun;86(6):1417-20.
6
Cleavage of structural proteins during the assembly of the head of bacteriophage T4.在噬菌体T4头部组装过程中结构蛋白的切割
Nature. 1970 Aug 15;227(5259):680-5. doi: 10.1038/227680a0.
7
Epidemiology and clinical impact of hepatitis D virus (delta) infection.丁型肝炎病毒(δ病毒)感染的流行病学及临床影响
Hepatology. 1985 Mar-Apr;5(2):188-91. doi: 10.1002/hep.1840050205.
8
Regulation of secretion of the hepatitis B virus major surface antigen by the preS-1 protein.前S-1蛋白对乙型肝炎病毒主要表面抗原分泌的调节
J Virol. 1987 Mar;61(3):782-6. doi: 10.1128/JVI.61.3.782-786.1987.
9
Structure, sequence and expression of the hepatitis delta (delta) viral genome.丁型肝炎病毒基因组的结构、序列与表达
Nature. 1986;323(6088):508-14. doi: 10.1038/323508a0.
10
Antigens of hepatitis delta virus in the liver and serum of humans and animals.人类和动物肝脏及血清中丁型肝炎病毒的抗原
J Infect Dis. 1986 Oct;154(4):702-6. doi: 10.1093/infdis/154.4.702.