• 文献检索
  • 文档翻译
  • 深度研究
  • 学术资讯
  • Suppr Zotero 插件Zotero 插件
  • 邀请有礼
  • 套餐&价格
  • 历史记录
应用&插件
Suppr Zotero 插件Zotero 插件浏览器插件Mac 客户端Windows 客户端微信小程序
定价
高级版会员购买积分包购买API积分包
服务
文献检索文档翻译深度研究API 文档MCP 服务
关于我们
关于 Suppr公司介绍联系我们用户协议隐私条款
关注我们

Suppr 超能文献

核心技术专利:CN118964589B侵权必究
粤ICP备2023148730 号-1Suppr @ 2026

文献检索

告别复杂PubMed语法,用中文像聊天一样搜索,搜遍4000万医学文献。AI智能推荐,让科研检索更轻松。

立即免费搜索

文件翻译

保留排版,准确专业,支持PDF/Word/PPT等文件格式,支持 12+语言互译。

免费翻译文档

深度研究

AI帮你快速写综述,25分钟生成高质量综述,智能提取关键信息,辅助科研写作。

立即免费体验

直肠腺癌的心脏转移。外科治疗。

Cardiac metastasis of rectal adenocarcinoma. Surgical treatment.

作者信息

Parravicini R, Fahim N A, Cocconcelli F, Barchetti M, Nafeh M, Benassi A, Grisendi A, Garuti W, Benimeo A

机构信息

Cardiac Surgery Institute, University of Modena Medical School, Italy.

出版信息

Tex Heart Inst J. 1993;20(4):296-8.

PMID:8298329
原文链接:https://pmc.ncbi.nlm.nih.gov/articles/PMC325115/
Abstract

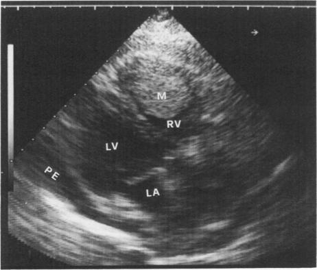
The authors report a case of cardiac metastasis of a rectal adenocarcinoma that infiltrated the right ventricle and partially obstructed its outflow tract. Surgical treatment was performed because of syncopal attacks. The differential diagnosis between organized thrombi and intracardiac tumor is considered.

摘要

作者报告了一例直肠腺癌心脏转移病例,该转移瘤浸润右心室并部分阻塞其流出道。因晕厥发作而进行了手术治疗。文中考虑了机化血栓与心脏内肿瘤的鉴别诊断。

https://cdn.ncbi.nlm.nih.gov/pmc/blobs/474a/325115/0632d756e37c/thij00043-0059-d.jpg
https://cdn.ncbi.nlm.nih.gov/pmc/blobs/474a/325115/f70f128558d0/thij00043-0059-a.jpg
https://cdn.ncbi.nlm.nih.gov/pmc/blobs/474a/325115/dd1993f9b21d/thij00043-0059-b.jpg
https://cdn.ncbi.nlm.nih.gov/pmc/blobs/474a/325115/d351e17770e4/thij00043-0059-c.jpg
https://cdn.ncbi.nlm.nih.gov/pmc/blobs/474a/325115/0632d756e37c/thij00043-0059-d.jpg
https://cdn.ncbi.nlm.nih.gov/pmc/blobs/474a/325115/f70f128558d0/thij00043-0059-a.jpg
https://cdn.ncbi.nlm.nih.gov/pmc/blobs/474a/325115/dd1993f9b21d/thij00043-0059-b.jpg
https://cdn.ncbi.nlm.nih.gov/pmc/blobs/474a/325115/d351e17770e4/thij00043-0059-c.jpg
https://cdn.ncbi.nlm.nih.gov/pmc/blobs/474a/325115/0632d756e37c/thij00043-0059-d.jpg

相似文献

1
Cardiac metastasis of rectal adenocarcinoma. Surgical treatment.直肠腺癌的心脏转移。外科治疗。
Tex Heart Inst J. 1993;20(4):296-8.
2
Metastatic Rectal Adenocarcinoma Presenting as a Giant Left Atrial Mass: Resection Combined With Right Lower Lobectomy.以巨大左心房肿块为表现的转移性直肠腺癌:切除联合右下肺叶切除术
Ann Thorac Surg. 2016 Jul;102(1):e19-21. doi: 10.1016/j.athoracsur.2015.11.064.
3
Cardiac metastasis from a rectal adenocarcinoma.直肠腺癌的心脏转移
Clin Cardiol. 1999 Nov;22(11):749. doi: 10.1002/clc.4960221115.
4
Surgical resection of colorectal carcinomas metastatic to the heart.手术切除转移至心脏的结直肠癌。
J Card Surg. 2016 Nov;31(11):677-682. doi: 10.1111/jocs.12841. Epub 2016 Sep 7.
5
Cardiac metastasis of rectal adenocarcinoma diagnosed by two-dimensional echocardiography.经二维超声心动图诊断的直肠腺癌心脏转移
Am Heart J. 1982 Sep;104(3):637-8. doi: 10.1016/0002-8703(82)90240-x.
6
Metastatic adenocarcinoma in the right atrium and secondary Budd-Chiari syndrome (a case report).右心房转移性腺癌并发性布加氏综合征(附病例报告)。
Int J Cardiol. 2009 Feb 6;132(1):e1-4. doi: 10.1016/j.ijcard.2007.07.086. Epub 2007 Nov 19.
7
Delayed right ventricular intracavitary metastasis in a patient with Dukes B rectal adenocarcinoma.一名患有杜克B期直肠腺癌的患者出现延迟性右心室内转移。
Pathology. 2004 Dec;36(6):592-4. doi: 10.1080/00313020400011029.
8
Solitary cardiac metastasis of rectal adenocarcinoma.直肠腺癌的孤立性心脏转移
Jpn J Thorac Cardiovasc Surg. 2003 Jul;51(7):330-2. doi: 10.1007/BF02719389.
9
Electronic clinical challenges and images in GI. Chest pain and congestive cardiac failure due to atrial metastasis from an adenocarcinoma of the gastroesophageal junction.胃肠病学电子临床挑战与影像。胃食管交界腺癌心房转移导致的胸痛和充血性心力衰竭。
Gastroenterology. 2008 May;134(5):e4-6. doi: 10.1053/j.gastro.2008.03.054.
10
Cardiac metastasis from lung adenocarcinoma causing atrioventricular block and left ventricular outflow tract obstruction.肺腺癌心脏转移导致房室传导阻滞和左心室流出道梗阻。
Chest. 2007 May;131(5):1569-72. doi: 10.1378/chest.06-1904.

引用本文的文献

1
Metastasis of colorectal adenocarcinoma to the right ventricle in a young man: a case report.青年男性结直肠腺癌转移至右心室:病例报告。
Pan Afr Med J. 2023 Jan 17;44:32. doi: 10.11604/pamj.2023.44.32.37999. eCollection 2023.
2
Solitary Cardiac Metastasis from Colorectal Cancer: A Case Report.结直肠癌孤立性心脏转移:一例报告
Case Rep Oncol. 2022 Sep 19;15(3):798-803. doi: 10.1159/000526549. eCollection 2022 Sep-Dec.
3
Metastatic colorectal carcinoma to the right atrium: a case report and review of the literature.右心房转移性结直肠癌:一例报告并文献复习

本文引用的文献

1
The incidence of secondary tumors of the heart and pericardium: a 10-year study.心脏和心包继发性肿瘤的发病率:一项为期10年的研究。
Jpn J Clin Oncol. 1988 Sep;18(3):195-201.
2
Surgical treatment of cardiac tumors: a 25-year experience.
Ann Thorac Surg. 1990 Apr;49(4):612-7; discussion 617-8. doi: 10.1016/0003-4975(90)90310-3.
3
Cardiac metastases.心脏转移瘤
Cancer. 1990 Mar 15;65(6):1456-9. doi: 10.1002/1097-0142(19900315)65:6<1456::aid-cncr2820650634>3.0.co;2-5.
Cardiooncology. 2021 May 31;7(1):21. doi: 10.1186/s40959-021-00108-9.
4
Diagnostic and Therapeutic Challenges Associated with the Rare Cardiac Metastasis Complicating Rectal Adenocarcinoma.与罕见的直肠腺癌合并心脏转移相关的诊断和治疗挑战。
Case Rep Oncol. 2020 Dec 7;13(3):1441-1445. doi: 10.1159/000511600. eCollection 2020 Sep-Dec.
5
Capecitabine Plus Bevacizumab for Cardiac Metastasis of Sigmoid Colon Cancer: Case Report and Literature Review.卡培他滨联合贝伐珠单抗治疗乙状结肠癌心脏转移:病例报告及文献复习。
In Vivo. 2020 Nov-Dec;34(6):3413-3419. doi: 10.21873/invivo.12180.
6
Right Ventricle Metastasis from Carcinoma Rectum: Findings on F-Fluorodeoxyglucose Positron Emission Tomography-Computed Tomography.直肠癌右心室转移:氟代脱氧葡萄糖正电子发射断层扫描-计算机断层扫描结果
Indian J Nucl Med. 2020 Jan-Mar;35(1):78-79. doi: 10.4103/ijnm.IJNM_15_19. Epub 2019 Dec 31.
7
A Rare Case of Atrial Metastasis From a Rectal Adenocarcinoma.一例罕见的直肠腺癌心房转移病例
J Clin Med Res. 2017 Oct;9(10):886-888. doi: 10.14740/jocmr3123w. Epub 2017 Sep 1.
8
An isolated cardiac metastasis from colorectal adenocarcinoma.一例来自结直肠癌的孤立性心脏转移瘤。
BMJ Case Rep. 2011 Jan 11;2011:bcr0820103270. doi: 10.1136/bcr.08.2010.3270.
9
Cardiac recurrence in a patient with long-term survival from metastatic colon cancer.一名转移性结肠癌长期存活患者出现心脏复发。
Case Rep Oncol. 2012 Jan;5(1):202-7. doi: 10.1159/000338741. Epub 2012 Apr 25.
10
Isolated cardiac metastasis from colorectal cancer in a 35-year-old man.一名35岁男性患结直肠癌孤立性心脏转移。
Case Rep Med. 2012;2012:751761. doi: 10.1155/2012/751761. Epub 2012 Mar 4.
4
Classification of malignant cardiac tumors with respect to oncological treatment.恶性心脏肿瘤的肿瘤治疗分类
Thorac Cardiovasc Surg. 1990 Aug;38 Suppl 2:173-5. doi: 10.1055/s-2007-1014062.
5
Clinical aspects of cardiac tumors.心脏肿瘤的临床方面。
Thorac Cardiovasc Surg. 1990 Aug;38 Suppl 2:152-6. doi: 10.1055/s-2007-1014058.
6
Cine gradient refocused echo (GRE) imaging of intravascular masses: differentiation between tumor and nontumor thrombus.血管内肿块的电影梯度重聚焦回波(GRE)成像:肿瘤性血栓与非肿瘤性血栓的鉴别
J Comput Assist Tomogr. 1992 Mar-Apr;16(2):169-75. doi: 10.1097/00004728-199203000-00001.