Suppr超能文献

一例罕见的直肠腺癌心房转移病例

A Rare Case of Atrial Metastasis From a Rectal Adenocarcinoma.

作者信息

Ayyala Srinivas S, Urcuyo Dawnette M, Kannarkatt Paul T, Kovacs James E, Terrigno Nicole J

机构信息

Department of Medicine, Cooper University Hospital, Camden, NJ, USA.

Department of Radiology, Cooper University Hospital, Camden, NJ, USA.

出版信息

J Clin Med Res. 2017 Oct;9(10):886-888. doi: 10.14740/jocmr3123w. Epub 2017 Sep 1.

Abstract

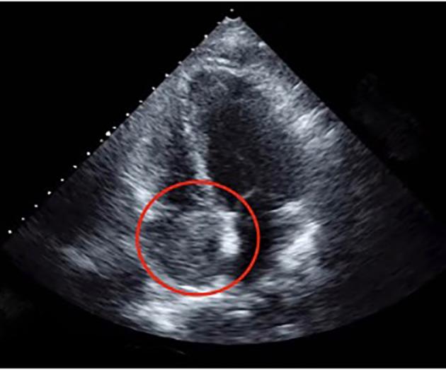
Colorectal cancers typically metastasize to the lymph nodes, liver or lungs. Metastasis to the heart is rare and although a few cases of cardiac metastases from colon cancer are described in the literature, cases of metastatic rectal cancer to the heart are far fewer. A 69-year-old woman with a history of rectal adenocarcinoma treated with neo-adjuvant chemotherapy and radiation, followed by resection and adjuvant chemotherapy, presented with increasing dyspnea on exertion and lower extremity edema 5 years after oncology follow-up. Echocardiography revealed a mass within the right atrium, which was biopsied and found to be consistent with metastatic rectal adenocarcinoma and a thrombus. The patient was deemed to be a poor surgical candidate given her co-morbidities and overall prognosis. Chemotherapy was offered and refused by the patient. The medical literature has a paucity of similar cases of rectal adenocarcinoma metastasizing to the right atrium. Further studies are needed to help guide standardized treatment options.

摘要

结直肠癌通常会转移至淋巴结、肝脏或肺部。转移至心脏较为罕见,尽管文献中描述了一些结肠癌心脏转移的病例,但直肠癌心脏转移的病例要少得多。一名69岁女性,有直肠腺癌病史,接受了新辅助化疗和放疗,随后进行了手术切除及辅助化疗,在肿瘤学随访5年后出现劳力性呼吸困难加重和下肢水肿。超声心动图显示右心房内有一肿块,经活检发现与转移性直肠腺癌及血栓相符。鉴于患者的合并症和总体预后,被认为不是手术的合适人选。提供了化疗方案,但患者拒绝。医学文献中关于直肠腺癌转移至右心房的类似病例较少。需要进一步研究以帮助指导标准化的治疗方案。

https://cdn.ncbi.nlm.nih.gov/pmc/blobs/256f/5593437/5a42da4e9037/jocmr-09-886-g001.jpg

文献检索

告别复杂PubMed语法,用中文像聊天一样搜索,搜遍4000万医学文献。AI智能推荐,让科研检索更轻松。

立即免费搜索

文件翻译

保留排版,准确专业,支持PDF/Word/PPT等文件格式,支持 12+语言互译。

免费翻译文档

深度研究

AI帮你快速写综述,25分钟生成高质量综述,智能提取关键信息,辅助科研写作。

立即免费体验