Suppr超能文献

大鼠长期胃底切除术后胰腺肥大伴腺泡细胞结节形成

Pancreatic hypertrophy with acinar cell nodules after longterm fundectomy in the rat.

作者信息

Chu M, Franzén L, Sullivan S, Wingren S, Rehfeld J F, Borch K

机构信息

Department of Surgery, University Hospital of Linköping, Sweden.

出版信息

Gut. 1993 Jul;34(7):988-93. doi: 10.1136/gut.34.7.988.

Abstract

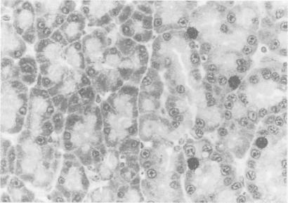
The effect of gastric fundectomy with hypergastrinaemia on the pancreas in rats was studied for 14 months. Rats with hypercholecystokininaemia that had had a pancreaticobiliary diversion (PBD) operation and sham operated rats served as controls. Fundectomised rats showed a significant increase in pancreatic weight and total DNA and protein content compared with sham operated rats. DNA flow cytometry showed a significantly higher ratio of tetraploid to diploid nuclei in pancreatic tissue after fundectomy than after sham operation. Mean values of all these variables were significantly lower after fundectomy than after PBD. Acidophilic atypical acinar cell foci of the pancreas were diagnosed in both fundectomised and PBD operated rats, but not in sham operated controls. The volume density and 3H-thymidine labelling index of the acidophilic atypical acinar cell foci were significantly lower after fundectomy than after PBD. Changes consistent with pancreatic adenoma were diagnosed in the PBD group only. In conclusion, fundectomy lasting about half of the life span in rats causes pancreatic hyperplasia and hypertrophy, as well as development of acidophilic atypical acinar cell foci. Although hypergastrinaemia is a prominent feature, it may not be the only factor responsible for this pancreaticotrophical effect of fundectomy.

摘要

研究了胃底切除术伴高胃泌素血症对大鼠胰腺的影响,为期14个月。将已进行胰胆管分流术(PBD)的高胆囊收缩素血症大鼠和假手术大鼠作为对照。与假手术大鼠相比,胃底切除大鼠的胰腺重量、总DNA和蛋白质含量显著增加。DNA流式细胞术显示,胃底切除术后胰腺组织中四倍体与二倍体细胞核的比例明显高于假手术后。胃底切除术后所有这些变量的平均值均显著低于PBD术后。在胃底切除和PBD手术的大鼠中均诊断出胰腺嗜酸性非典型腺泡细胞灶,但在假手术对照组中未诊断出。胃底切除术后嗜酸性非典型腺泡细胞灶的体积密度和3H-胸腺嘧啶核苷标记指数显著低于PBD术后。仅在PBD组中诊断出与胰腺腺瘤一致的变化。总之,持续约大鼠寿命一半时间的胃底切除术会导致胰腺增生和肥大,以及嗜酸性非典型腺泡细胞灶的形成。虽然高胃泌素血症是一个突出特征,但它可能不是胃底切除术这种促胰腺生长作用的唯一因素。

https://cdn.ncbi.nlm.nih.gov/pmc/blobs/3d97/1374240/ca3525ad0f01/gut00558-0145-a.jpg

文献检索

告别复杂PubMed语法,用中文像聊天一样搜索,搜遍4000万医学文献。AI智能推荐,让科研检索更轻松。

立即免费搜索

文件翻译

保留排版,准确专业,支持PDF/Word/PPT等文件格式,支持 12+语言互译。

免费翻译文档

深度研究

AI帮你快速写综述,25分钟生成高质量综述,智能提取关键信息,辅助科研写作。

立即免费体验