• 文献检索
  • 文档翻译
  • 深度研究
  • 学术资讯
  • Suppr Zotero 插件Zotero 插件
  • 邀请有礼
  • 套餐&价格
  • 历史记录
应用&插件
Suppr Zotero 插件Zotero 插件浏览器插件Mac 客户端Windows 客户端微信小程序
定价
高级版会员购买积分包购买API积分包
服务
文献检索文档翻译深度研究API 文档MCP 服务
关于我们
关于 Suppr公司介绍联系我们用户协议隐私条款
关注我们

Suppr 超能文献

核心技术专利:CN118964589B侵权必究
粤ICP备2023148730 号-1Suppr @ 2026

文献检索

告别复杂PubMed语法,用中文像聊天一样搜索,搜遍4000万医学文献。AI智能推荐,让科研检索更轻松。

立即免费搜索

文件翻译

保留排版,准确专业,支持PDF/Word/PPT等文件格式,支持 12+语言互译。

免费翻译文档

深度研究

AI帮你快速写综述,25分钟生成高质量综述,智能提取关键信息,辅助科研写作。

立即免费体验

在猿猴免疫缺陷病毒感染早期,胸腺皮质上皮细胞和交错突细胞发生改变,但胸腺细胞死亡并未增加。

Alterations of thymus cortical epithelium and interdigitating dendritic cells but no increase of thymocyte cell death in the early course of simian immunodeficiency virus infection.

作者信息

Müller J G, Krenn V, Schindler C, Czub S, Stahl-Hennig C, Coulibaly C, Hunsmann G, Kneitz C, Kerkau T, Rethwilm A

机构信息

Institute of Pathology, University of Würzburg, Germany.

出版信息

Am J Pathol. 1993 Sep;143(3):699-713.

PMID:8362972
原文链接:https://pmc.ncbi.nlm.nih.gov/articles/PMC1887226/
Abstract

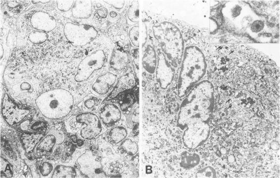
The role of the thymus in the pathogenesis of simian acquired immunodeficiency syndrome was investigated in 18 juvenile rhesus monkeys (Macaca mulatta). The thymus was infected from the first week post-SIVmac inoculation, but the amount of virus-positive cells was very low (< 1 in 10(4) T cells) as demonstrated by polymerase chain reaction and in situ hybridization. First morphological alteration was a narrowing of the cortex at 12 and 24 wpi. Morphometry revealed no increase of pyknotic T cells but a decrease of the proliferation rate and flow cytometry showed a reduction of the immature CD4+/CD8+ double-positive T cells. Ultrastructural analysis revealed vacuolization, shrinkage, and finally cytolysis of the cortical epithelial cells and the interdigitating dendritic cells. Immunofluorescence staining exhibited a widespread loss of cortical epithelial cells. This damage to the thymic microenvironment could explain the breakdown of the intrathymic T cell proliferation. It preceded fully developed simian acquired immunodeficiency syndrome and is therefore considered to play a major role in its pathogenesis.

摘要

在18只幼年恒河猴(猕猴)中研究了胸腺在猴获得性免疫缺陷综合征发病机制中的作用。从接种SIVmac后的第一周开始,胸腺就受到感染,但通过聚合酶链反应和原位杂交证明,病毒阳性细胞的数量非常少(每10⁴个T细胞中少于1个)。最初的形态学改变是在接种后12周和24周时皮质变窄。形态计量学显示固缩性T细胞没有增加,但增殖率降低,流式细胞术显示未成熟的CD4⁺/CD8⁺双阳性T细胞减少。超微结构分析显示皮质上皮细胞和交错突细胞出现空泡化、萎缩,最终细胞溶解。免疫荧光染色显示皮质上皮细胞广泛丢失。胸腺微环境的这种损伤可以解释胸腺内T细胞增殖的破坏。它先于完全发展的猴获得性免疫缺陷综合征出现,因此被认为在其发病机制中起主要作用。

https://cdn.ncbi.nlm.nih.gov/pmc/blobs/796d/1887226/a336c88d0182/amjpathol00069-0067-b.jpg
https://cdn.ncbi.nlm.nih.gov/pmc/blobs/796d/1887226/4c41bf1a9418/amjpathol00069-0061-a.jpg
https://cdn.ncbi.nlm.nih.gov/pmc/blobs/796d/1887226/e35d5843e55f/amjpathol00069-0062-a.jpg
https://cdn.ncbi.nlm.nih.gov/pmc/blobs/796d/1887226/36b637d32635/amjpathol00069-0064-a.jpg
https://cdn.ncbi.nlm.nih.gov/pmc/blobs/796d/1887226/76557732b0f8/amjpathol00069-0065-a.jpg
https://cdn.ncbi.nlm.nih.gov/pmc/blobs/796d/1887226/8de244f1f6a7/amjpathol00069-0066-a.jpg
https://cdn.ncbi.nlm.nih.gov/pmc/blobs/796d/1887226/1b2b45762daf/amjpathol00069-0067-a.jpg
https://cdn.ncbi.nlm.nih.gov/pmc/blobs/796d/1887226/a336c88d0182/amjpathol00069-0067-b.jpg
https://cdn.ncbi.nlm.nih.gov/pmc/blobs/796d/1887226/4c41bf1a9418/amjpathol00069-0061-a.jpg
https://cdn.ncbi.nlm.nih.gov/pmc/blobs/796d/1887226/e35d5843e55f/amjpathol00069-0062-a.jpg
https://cdn.ncbi.nlm.nih.gov/pmc/blobs/796d/1887226/36b637d32635/amjpathol00069-0064-a.jpg
https://cdn.ncbi.nlm.nih.gov/pmc/blobs/796d/1887226/76557732b0f8/amjpathol00069-0065-a.jpg
https://cdn.ncbi.nlm.nih.gov/pmc/blobs/796d/1887226/8de244f1f6a7/amjpathol00069-0066-a.jpg
https://cdn.ncbi.nlm.nih.gov/pmc/blobs/796d/1887226/1b2b45762daf/amjpathol00069-0067-a.jpg
https://cdn.ncbi.nlm.nih.gov/pmc/blobs/796d/1887226/a336c88d0182/amjpathol00069-0067-b.jpg

相似文献

1
Alterations of thymus cortical epithelium and interdigitating dendritic cells but no increase of thymocyte cell death in the early course of simian immunodeficiency virus infection.在猿猴免疫缺陷病毒感染早期,胸腺皮质上皮细胞和交错突细胞发生改变,但胸腺细胞死亡并未增加。
Am J Pathol. 1993 Sep;143(3):699-713.
2
The thymic epithelial reticulum and interdigitating cells in SIV-induced thymus atrophy and its comparison with other forms of thymus involution.
Res Virol. 1993 Jan-Feb;144(1):93-8. doi: 10.1016/s0923-2516(06)80017-8.
3
Thymus in simian immunodeficiency virus-infected rhesus monkeys.感染猿猴免疫缺陷病毒的恒河猴中的胸腺
Lab Invest. 1991 Oct;65(4):400-7.
4
Modified interferon-α subtypes production and chemokine networks in the thymus during acute simian immunodeficiency virus infection, impact on thymopoiesis.急性猿猴免疫缺陷病毒感染期间胸腺中修饰的α干扰素亚型产生及趋化因子网络,对胸腺细胞生成的影响
AIDS. 2014 May 15;28(8):1101-13. doi: 10.1097/QAD.0000000000000249.
5
[Morphological alterations of lymph nodes and thymus during the early course of SIV infection of rhesus monkeys].[恒河猴感染猴免疫缺陷病毒早期淋巴结和胸腺的形态学改变]
Verh Dtsch Ges Pathol. 1991;75:102-7.
6
[Correlation of organ pathology and distribution of virus replicating cells, demonstrated with RNA in situ hybridization of SIVmac infection of Macaca mulatta].[通过恒河猴感染猴免疫缺陷病毒(SIVmac)的RNA原位杂交显示器官病理学与病毒复制细胞分布的相关性]
Verh Dtsch Ges Pathol. 1994;78:310-3.
7
Simian immunodeficiency virus (SIV) induced alterations of thymus IDCs.猿猴免疫缺陷病毒(SIV)诱导胸腺间质树突状细胞(IDCs)发生改变。
Adv Exp Med Biol. 1993;329:527-31. doi: 10.1007/978-1-4615-2930-9_88.
8
Early stages of simian immunodeficiency virus infection in lymph nodes. Evidence for high viral load and successive populations of target cells.猿猴免疫缺陷病毒感染淋巴结的早期阶段。高病毒载量及连续靶细胞群的证据。
Am J Pathol. 1994 Jun;144(6):1226-37.
9
Impaired T-cell differentiation in the thymus at the early stages of acute pathogenic chimeric simian-human immunodeficiency virus (SHIV) infection in contrast to less pathogenic SHIV infection.与致病性较低的猴免疫缺陷病毒(SHIV)感染相比,急性致病性嵌合猴-人免疫缺陷病毒(SHIV)感染早期胸腺中T细胞分化受损。
Microbes Infect. 2006 May;8(6):1539-49. doi: 10.1016/j.micinf.2006.01.011. Epub 2006 Apr 21.
10
Rhesus thymic/liver xenografts in severe combined immunodeficient mice: immunologic reconstitution and intrathymic infection with simian immunodeficiency virus.严重联合免疫缺陷小鼠中的恒河猴胸腺/肝脏异种移植:免疫重建及感染猿猴免疫缺陷病毒的胸腺内感染
Lab Invest. 1996 Sep;75(3):339-48.

引用本文的文献

1
Insights into Thymus Development and Viral Thymic Infections.胸腺发育与病毒胸腺感染的研究进展。
Viruses. 2019 Sep 9;11(9):836. doi: 10.3390/v11090836.
2
Impairment of T cell development and acute inflammatory response in HIV-1 Tat transgenic mice.HIV-1 Tat转基因小鼠中T细胞发育受损及急性炎症反应
Sci Rep. 2015 Sep 7;5:13864. doi: 10.1038/srep13864.
3
Utilizing the FIV model to understand dendritic cell dysfunction and the potential role of dendritic cell immunization in HIV infection.利用猫免疫缺陷病毒模型来了解树突状细胞功能障碍以及树突状细胞免疫在HIV感染中的潜在作用。

本文引用的文献

1
ELECTRON MICROSCOPIC OBSERVATIONS OF ACUTE THYMIC INVOLUTION PRODUCED BY HYDROCORTISONE.氢化可的松所致急性胸腺萎缩的电子显微镜观察
Lab Invest. 1964 Apr;13:353-70.
2
Analysis of the thymus influence in leukaemogenesis.胸腺在白血病发生过程中的影响分析。
Nature. 1961 Jul 15;191:248-9. doi: 10.1038/191248a0.
3
Early phenotypic and functional alterations in lymphocytes from simian immunodeficiency virus infected macaques.
Vet Immunol Immunopathol. 1993 Apr;36(3):239-55. doi: 10.1016/0165-2427(93)90022-v.
Vet Immunol Immunopathol. 2010 Mar 15;134(1-2):75-81. doi: 10.1016/j.vetimm.2009.10.012. Epub 2009 Oct 14.
4
Resting CD4+ T lymphocytes but not thymocytes provide a latent viral reservoir in a simian immunodeficiency virus-Macaca nemestrina model of human immunodeficiency virus type 1-infected patients on highly active antiretroviral therapy.在接受高效抗逆转录病毒治疗的1型人类免疫缺陷病毒感染患者的猿猴免疫缺陷病毒-豚尾猕猴模型中,静息CD4 + T淋巴细胞而非胸腺细胞提供了一个潜伏病毒库。
J Virol. 2003 Apr;77(8):4938-49. doi: 10.1128/jvi.77.8.4938-4949.2003.
5
Thymocyte-thymic epithelial cell interaction leads to high-level replication of human immunodeficiency virus exclusively in mature CD4(+) CD8(-) CD3(+) thymocytes: a critical role for tumor necrosis factor and interleukin-7.胸腺细胞与胸腺上皮细胞的相互作用导致人类免疫缺陷病毒仅在成熟的CD4(+)CD8(-)CD3(+)胸腺细胞中高水平复制:肿瘤坏死因子和白细胞介素-7的关键作用。
J Virol. 1999 Sep;73(9):7533-42. doi: 10.1128/JVI.73.9.7533-7542.1999.
6
Gastrointestinal epithelium is an early extrathymic site for increased prevalence of CD34(+) progenitor cells in contrast to the thymus during primary simian immunodeficiency virus infection.与原发性猿猴免疫缺陷病毒感染期间的胸腺相比,胃肠道上皮是CD34(+)祖细胞患病率增加的早期胸腺外部位。
J Virol. 1999 May;73(5):4518-23. doi: 10.1128/JVI.73.5.4518-4523.1999.
7
The human thymus. A chimeric organ comprised of central and peripheral lymphoid components.人类胸腺。一个由中枢和外周淋巴成分组成的嵌合器官。
Immunol Res. 1998;18(3):175-92. doi: 10.1007/BF02788778.
8
The human thymus. A chimeric organ comprised of central and peripheral lymphoid components.人类胸腺。一个由中央和外周淋巴成分组成的嵌合器官。
Immunol Res. 1998;18(2):61-78. doi: 10.1007/BF02788750.
9
Contact with thymic epithelial cells as a prerequisite for cytokine-enhanced human immunodeficiency virus type 1 replication in thymocytes.与胸腺上皮细胞接触是细胞因子增强胸腺细胞中1型人类免疫缺陷病毒复制的前提条件。
J Virol. 1998 Jul;72(7):5852-61. doi: 10.1128/JVI.72.7.5852-5861.1998.
10
Immunopathologic changes in the thymus during the acute stage of experimentally induced feline immunodeficiency virus infection in juvenile cats.幼猫实验性诱导感染猫免疫缺陷病毒急性期胸腺的免疫病理变化。
J Virol. 1997 Nov;71(11):8632-41. doi: 10.1128/JVI.71.11.8632-8641.1997.
4
Thymic nurse cells. Lymphoepithelial cell complexes in murine thymuses: morphological and serological characterization.胸腺哺育细胞。小鼠胸腺中的淋巴细胞上皮细胞复合体:形态学和血清学特征。
J Exp Med. 1980 Apr 1;151(4):925-44. doi: 10.1084/jem.151.4.925.
5
Precocious thymic involution manifest by epithelial injury in the acquired immune deficiency syndrome.获得性免疫缺陷综合征中由上皮损伤表现出的胸腺早熟性萎缩。
Hum Pathol. 1984 May;15(5):469-74. doi: 10.1016/s0046-8177(84)80082-9.
6
The histopathological changes in the thymus gland in the acquired immune deficiency syndrome.
Ann N Y Acad Sci. 1984;437:493-502. doi: 10.1111/j.1749-6632.1984.tb37173.x.
7
Heterogeneity of epithelial cells in the human thymus. An ultrastructural study.人类胸腺上皮细胞的异质性。一项超微结构研究。
Cell Tissue Res. 1984;237(2):227-37. doi: 10.1007/BF00217140.
8
Histopathologic changes in macaques with an acquired immunodeficiency syndrome (AIDS).患有获得性免疫缺陷综合征(艾滋病)的猕猴的组织病理学变化。
Am J Pathol. 1983 Dec;113(3):382-8.
9
Interdigitating reticulum cells in the human thymus.人类胸腺中的交错突网状细胞。
Cell Tissue Res. 1974;155(1):47-55. doi: 10.1007/BF00220283.
10
Pathologic appraisal of the thymus gland in acquired immunodeficiency syndrome in children. A study of four cases and a review of the literature.儿童获得性免疫缺陷综合征中胸腺的病理学评估。4例研究及文献复习
Arch Pathol Lab Med. 1985 Feb;109(2):142-6.