• 文献检索
  • 文档翻译
  • 深度研究
  • 学术资讯
  • Suppr Zotero 插件Zotero 插件
  • 邀请有礼
  • 套餐&价格
  • 历史记录
应用&插件
Suppr Zotero 插件Zotero 插件浏览器插件Mac 客户端Windows 客户端微信小程序
定价
高级版会员购买积分包购买API积分包
服务
文献检索文档翻译深度研究API 文档MCP 服务
关于我们
关于 Suppr公司介绍联系我们用户协议隐私条款
关注我们

Suppr 超能文献

核心技术专利:CN118964589B侵权必究
粤ICP备2023148730 号-1Suppr @ 2026

文献检索

告别复杂PubMed语法,用中文像聊天一样搜索,搜遍4000万医学文献。AI智能推荐,让科研检索更轻松。

立即免费搜索

文件翻译

保留排版,准确专业,支持PDF/Word/PPT等文件格式,支持 12+语言互译。

免费翻译文档

深度研究

AI帮你快速写综述,25分钟生成高质量综述,智能提取关键信息,辅助科研写作。

立即免费体验

肿瘤抑制基因产物APC可阻止细胞周期从G0/G1期进入S期。

The tumour suppressor gene product APC blocks cell cycle progression from G0/G1 to S phase.

作者信息

Baeg G H, Matsumine A, Kuroda T, Bhattacharjee R N, Miyashiro I, Toyoshima K, Akiyama T

机构信息

Department of Oncogene Research, Osaka University, Japan.

出版信息

EMBO J. 1995 Nov 15;14(22):5618-25. doi: 10.1002/j.1460-2075.1995.tb00249.x.

DOI:10.1002/j.1460-2075.1995.tb00249.x
PMID:8521819
原文链接:https://pmc.ncbi.nlm.nih.gov/articles/PMC394677/
Abstract

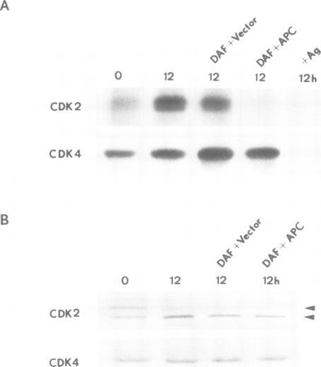
The APC gene is mutated in familial adenomatous polyposis (FAP) as well as in sporadic colorectal tumours. The product of the APC gene is a 300 kDa cytoplasmic protein associated with the adherence junction protein catenin. Here we show that overexpression of APC blocks serum-induced cell cycle progression from G0/G1 to the S phase. Mutant APCs identified in FAP and/or colorectal tumours were less inhibitory and partially obstructed the activity of the normal APC. The cell-cycle blocking activity of APC was alleviated by the overexpression of cyclin E/CDK2 or cyclin D1/CDK4. Consistent with this result, kinase activity of CDK2 was significantly down-regulated in cells overexpressing APC although its synthesis remained unchanged, while CDK4 activity was barely affected. These results suggest that APC may play a role in the regulation of the cell cycle by negatively modulating the activity of cyclin-CDK complexes.

摘要

APC基因在家族性腺瘤性息肉病(FAP)以及散发性结直肠癌肿瘤中发生突变。APC基因的产物是一种300 kDa的细胞质蛋白,与黏附连接蛋白连环蛋白相关。在此我们表明,APC的过表达会阻断血清诱导的细胞周期从G0/G1期向S期的进展。在FAP和/或结直肠癌肿瘤中鉴定出的突变型APC抑制作用较弱,部分阻碍了正常APC的活性。细胞周期蛋白E/细胞周期蛋白依赖性激酶2(Cyclin E/CDK2)或细胞周期蛋白D1/细胞周期蛋白依赖性激酶4(Cyclin D1/CDK4)的过表达可减轻APC的细胞周期阻滞活性。与此结果一致,在过表达APC的细胞中,CDK2的激酶活性显著下调,尽管其合成保持不变,而CDK4活性几乎不受影响。这些结果表明,APC可能通过负向调节细胞周期蛋白 - 细胞周期蛋白依赖性激酶复合物的活性在细胞周期调控中发挥作用。

https://cdn.ncbi.nlm.nih.gov/pmc/blobs/f47b/394677/112fe82d5884/emboj00046-0176-a.jpg
https://cdn.ncbi.nlm.nih.gov/pmc/blobs/f47b/394677/c67680d79f27/emboj00046-0173-a.jpg
https://cdn.ncbi.nlm.nih.gov/pmc/blobs/f47b/394677/dcea3ff98f12/emboj00046-0173-b.jpg
https://cdn.ncbi.nlm.nih.gov/pmc/blobs/f47b/394677/21a711cb3035/emboj00046-0174-a.jpg
https://cdn.ncbi.nlm.nih.gov/pmc/blobs/f47b/394677/b13a8c81fdd5/emboj00046-0175-a.jpg
https://cdn.ncbi.nlm.nih.gov/pmc/blobs/f47b/394677/b7014b60a384/emboj00046-0175-b.jpg
https://cdn.ncbi.nlm.nih.gov/pmc/blobs/f47b/394677/112fe82d5884/emboj00046-0176-a.jpg
https://cdn.ncbi.nlm.nih.gov/pmc/blobs/f47b/394677/c67680d79f27/emboj00046-0173-a.jpg
https://cdn.ncbi.nlm.nih.gov/pmc/blobs/f47b/394677/dcea3ff98f12/emboj00046-0173-b.jpg
https://cdn.ncbi.nlm.nih.gov/pmc/blobs/f47b/394677/21a711cb3035/emboj00046-0174-a.jpg
https://cdn.ncbi.nlm.nih.gov/pmc/blobs/f47b/394677/b13a8c81fdd5/emboj00046-0175-a.jpg
https://cdn.ncbi.nlm.nih.gov/pmc/blobs/f47b/394677/b7014b60a384/emboj00046-0175-b.jpg
https://cdn.ncbi.nlm.nih.gov/pmc/blobs/f47b/394677/112fe82d5884/emboj00046-0176-a.jpg

相似文献

1
The tumour suppressor gene product APC blocks cell cycle progression from G0/G1 to S phase.肿瘤抑制基因产物APC可阻止细胞周期从G0/G1期进入S期。
EMBO J. 1995 Nov 15;14(22):5618-25. doi: 10.1002/j.1460-2075.1995.tb00249.x.
2
Inhibition of the melanoma cell cycle and regulation at the G1/S transition by 12-O-tetradecanoylphorbol-13-acetate (TPA) by modulation of CDK2 activity.通过调节CDK2活性,12 - O - 十四烷酰佛波醇 - 13 - 乙酸酯(TPA)对黑色素瘤细胞周期的抑制及在G1/S期转换的调控
Exp Cell Res. 1995 Nov;221(1):92-102. doi: 10.1006/excr.1995.1356.
3
Estrogen-induced activation of Cdk4 and Cdk2 during G1-S phase progression is accompanied by increased cyclin D1 expression and decreased cyclin-dependent kinase inhibitor association with cyclin E-Cdk2.在G1-S期进程中,雌激素诱导的Cdk4和Cdk2激活伴随着细胞周期蛋白D1表达增加以及细胞周期蛋白依赖性激酶抑制剂与细胞周期蛋白E-Cdk2的结合减少。
J Biol Chem. 1997 Apr 18;272(16):10882-94. doi: 10.1074/jbc.272.16.10882.
4
Induction of G1 phase arrest in MCF human breast cancer cells by pentagalloylglucose through the down-regulation of CDK4 and CDK2 activities and up-regulation of the CDK inhibitors p27(Kip) and p21(Cip).五倍子酰葡萄糖通过下调细胞周期蛋白依赖性激酶4(CDK4)和细胞周期蛋白依赖性激酶2(CDK2)的活性以及上调细胞周期蛋白依赖性激酶抑制剂p27(Kip)和p21(Cip)来诱导MCF人乳腺癌细胞的G1期阻滞。
Biochem Pharmacol. 2003 Jun 1;65(11):1777-85. doi: 10.1016/s0006-2952(03)00156-4.
5
Cyclin E-CDK2 is a regulator of p27Kip1.细胞周期蛋白E-细胞周期蛋白依赖性激酶2是p27Kip1的一种调节因子。
Genes Dev. 1997 Jun 1;11(11):1464-78. doi: 10.1101/gad.11.11.1464.
6
Cell cycle exit during terminal erythroid differentiation is associated with accumulation of p27(Kip1) and inactivation of cdk2 kinase.终末红细胞分化过程中的细胞周期退出与p27(Kip1)的积累和cdk2激酶的失活有关。
Blood. 2000 Oct 15;96(8):2746-54.
7
G1 phase arrest induced by Wilms tumor protein WT1 is abrogated by cyclin/CDK complexes.由肾母细胞瘤蛋白WT1诱导的G1期阻滞被细胞周期蛋白/细胞周期蛋白依赖性激酶复合物消除。
Proc Natl Acad Sci U S A. 1995 May 9;92(10):4517-21. doi: 10.1073/pnas.92.10.4517.
8
Molecular mechanism of cell cycle progression induced by the oncogene product Tax of human T-cell leukemia virus type I.I型人类T细胞白血病病毒癌基因产物Tax诱导细胞周期进程的分子机制
Oncogene. 2001 Apr 19;20(17):2055-67. doi: 10.1038/sj.onc.1204304.
9
Molecular mechanisms underlying interferon-alpha-induced G0/G1 arrest: CKI-mediated regulation of G1 Cdk-complexes and activation of pocket proteins.α干扰素诱导G0/G1期阻滞的分子机制:细胞周期蛋白依赖性激酶抑制剂介导的G1期细胞周期蛋白依赖性激酶复合物调控及口袋蛋白激活。
Oncogene. 1999 May 6;18(18):2798-810. doi: 10.1038/sj.onc.1202609.
10
p27, a novel inhibitor of G1 cyclin-Cdk protein kinase activity, is related to p21.p27是一种新型的G1细胞周期蛋白依赖性蛋白激酶活性抑制剂,与p21相关。
Cell. 1994 Jul 15;78(1):67-74. doi: 10.1016/0092-8674(94)90573-8.

引用本文的文献

1
Nonsense mutation suppression is enhanced by targeting different stages of the protein synthesis process.无义突变抑制可通过靶向蛋白质合成过程的不同阶段来增强。
PLoS Biol. 2023 Nov 9;21(11):e3002355. doi: 10.1371/journal.pbio.3002355. eCollection 2023 Nov.
2
To Identify Adenomatous Polyposis Coli Gene Mutation as a Predictive Marker of Endometrial Cancer Immunotherapy.鉴定腺瘤性息肉病 coli 基因突变作为子宫内膜癌免疫治疗的预测标志物。
Front Cell Dev Biol. 2022 Jul 22;10:935650. doi: 10.3389/fcell.2022.935650. eCollection 2022.
3
Unraveling the Genetic Architecture of Hepatoblastoma Risk: Birth Defects and Increased Burden of Germline Damaging Variants in Gastrointestinal/Renal Cancer Predisposition and DNA Repair Genes.

本文引用的文献

1
Multiple cutaneous and subcutaneous lesions occurring simultaneously with hereditary polyposis and osteomatosis.多发性皮肤和皮下病变与遗传性息肉病和骨瘤病同时出现。
Am J Hum Genet. 1953 Jun;5(2):139-47.
2
The multistep nature of cancer.癌症的多步骤特性。
Trends Genet. 1993 Apr;9(4):138-41. doi: 10.1016/0168-9525(93)90209-z.
3
Physical interaction of the retinoblastoma protein with human D cyclins.视网膜母细胞瘤蛋白与人D型细胞周期蛋白的物理相互作用。
解析肝母细胞瘤风险的遗传结构:出生缺陷以及胃肠道/肾癌易感性和DNA修复基因中生殖系损伤变异负担增加。
Front Genet. 2022 Apr 12;13:858396. doi: 10.3389/fgene.2022.858396. eCollection 2022.
4
Stemness, Inflammation and Epithelial-Mesenchymal Transition in Colorectal Carcinoma: The Intricate Network.结直肠癌细胞中的干性、炎症与上皮-间充质转化:错综复杂的网络。
Int J Mol Sci. 2021 Nov 29;22(23):12891. doi: 10.3390/ijms222312891.
5
Molecular Mechanisms of Colon Cancer Progression and Metastasis: Recent Insights and Advancements.结肠癌演进和转移的分子机制:最新见解和进展。
Int J Mol Sci. 2020 Dec 24;22(1):130. doi: 10.3390/ijms22010130.
6
Investigation of the expression levels of CPEB4, APC, TRIP13, EIF2S3, EIF4A1, IFNg, PIK3CA and CTNNB1 genes in different stage colorectal tumors.研究 CPEB4、APC、TRIP13、EIF2S3、EIF4A1、IFNg、PIK3CA 和 CTNNB1 基因在不同阶段结直肠肿瘤中的表达水平。
Turk J Med Sci. 2021 Apr 30;51(2):661-674. doi: 10.3906/sag-2010-18.
7
Validation and application of a novel APC antibody in western blotting, immunoprecipitation, and immunohistochemistry.一种新型APC抗体在蛋白质免疫印迹、免疫沉淀和免疫组织化学中的验证与应用
Med Mol Morphol. 2018 Dec;51(4):227-236. doi: 10.1007/s00795-018-0196-9. Epub 2018 Jun 19.
8
Functions of the APC tumor suppressor protein dependent and independent of canonical WNT signaling: implications for therapeutic targeting.APC 肿瘤抑制蛋白的功能依赖和不依赖于经典 WNT 信号通路:对治疗靶点的影响。
Cancer Metastasis Rev. 2018 Mar;37(1):159-172. doi: 10.1007/s10555-017-9725-6.
9
System modeling reveals the molecular mechanisms of HSC cell cycle alteration mediated by Maff and Egr3 under leukemia.系统建模揭示了白血病中Maff和Egr3介导的造血干细胞细胞周期改变的分子机制。
BMC Syst Biol. 2017 Oct 3;11(Suppl 5):91. doi: 10.1186/s12918-017-0467-4.
10
Multiple Roles of APC and its Therapeutic Implications in Colorectal Cancer.抗原呈递细胞(APC)在结直肠癌中的多重作用及其治疗意义
J Natl Cancer Inst. 2017 Aug 1;109(8). doi: 10.1093/jnci/djw332.
Cell. 1993 May 7;73(3):499-511. doi: 10.1016/0092-8674(93)90137-f.
4
Cloning of a human gene, PIG-F, a component of glycosylphosphatidylinositol anchor biosynthesis, by a novel expression cloning strategy.通过一种新型表达克隆策略克隆人类基因PIG-F,它是糖基磷脂酰肌醇锚定生物合成的一个组成部分。
J Biol Chem. 1993 Apr 5;268(10):6882-5.
5
Direct binding of cyclin D to the retinoblastoma gene product (pRb) and pRb phosphorylation by the cyclin D-dependent kinase CDK4.细胞周期蛋白D与视网膜母细胞瘤基因产物(pRb)的直接结合以及细胞周期蛋白D依赖性激酶CDK4对pRb的磷酸化作用。
Genes Dev. 1993 Mar;7(3):331-42. doi: 10.1101/gad.7.3.331.
6
Overproduction of Rb protein after the G1/S boundary causes G2 arrest.G1/S边界之后Rb蛋白的过度产生会导致G2期停滞。
Mol Cell Biol. 1993 Nov;13(11):6640-52. doi: 10.1128/mcb.13.11.6640-6652.1993.
7
TGF beta inhibition of Cdk4 synthesis is linked to cell cycle arrest.转化生长因子β对细胞周期蛋白依赖性激酶4合成的抑制作用与细胞周期停滞有关。
Cell. 1993 Sep 24;74(6):1009-20. doi: 10.1016/0092-8674(93)90723-4.
8
Association between wild type and mutant APC gene products.野生型与突变型APC基因产物之间的关联。
Cancer Res. 1993 Jun 15;53(12):2728-31.
9
The MAP kinase cascade is essential for diverse signal transduction pathways.丝裂原活化蛋白激酶级联反应对于多种信号转导途径至关重要。
Trends Biochem Sci. 1993 Apr;18(4):128-31. doi: 10.1016/0968-0004(93)90019-j.
10
The APC gene product in normal and tumor cells.正常细胞和肿瘤细胞中的APC基因产物。
Proc Natl Acad Sci U S A. 1993 Apr 1;90(7):2846-50. doi: 10.1073/pnas.90.7.2846.