Suppr超能文献

伴有13号和22号染色体部分三体的家族性易位:证据表明13号和22号染色体的特定区域分别导致了各三体的表型。

Familial translocation with partial trisomy of 13 and 22: evidence that specific regions of chromosomes 13 and 22 are responsible for the phenotype of each trisomy.

作者信息

Kim H J, Hsu L Y, Goldsmith L C, Strauss L, Hirschhorn K

出版信息

J Med Genet. 1977 Apr;14(2):114-9. doi: 10.1136/jmg.14.2.114.

Abstract

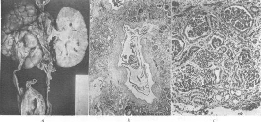
A newborn infant with clinical and pathological findings typical trisomy 13 and 22 syndromes had an extra chromosome which was a derivative chromosome from maternal balanced translocation affecting Nos. 13 and 22; 47,XY,+der(22),t(13:22)(q22:q12)Mat. The presence of extra specific euchromatic regions of No. 13(13q22 and/or 13q34) and No. 22 (22q11) seem to be responsible for the trisomy 13 and 22 syndromes.

摘要

一名具有典型13三体和22三体综合征临床及病理表现的新生儿有一条额外的染色体,该染色体是源自母亲13号和22号染色体平衡易位的衍生染色体;核型为47,XY,+der(22),t(13:22)(q22:q12)Mat。13号染色体(13q22和/或13q34)和22号染色体(22q11)额外特定常染色质区域的存在似乎是导致13三体和22三体综合征的原因。

https://cdn.ncbi.nlm.nih.gov/pmc/blobs/0bf5/1013525/8dbf0640b819/jmedgene00303-0035-a.jpg

文献检索

告别复杂PubMed语法,用中文像聊天一样搜索,搜遍4000万医学文献。AI智能推荐,让科研检索更轻松。

立即免费搜索

文件翻译

保留排版,准确专业,支持PDF/Word/PPT等文件格式,支持 12+语言互译。

免费翻译文档

深度研究

AI帮你快速写综述,25分钟生成高质量综述,智能提取关键信息,辅助科研写作。

立即免费体验