• 文献检索
  • 文档翻译
  • 深度研究
  • 学术资讯
  • Suppr Zotero 插件Zotero 插件
  • 邀请有礼
  • 套餐&价格
  • 历史记录
应用&插件
Suppr Zotero 插件Zotero 插件浏览器插件Mac 客户端Windows 客户端微信小程序
定价
高级版会员购买积分包购买API积分包
服务
文献检索文档翻译深度研究API 文档MCP 服务
关于我们
关于 Suppr公司介绍联系我们用户协议隐私条款
关注我们

Suppr 超能文献

核心技术专利:CN118964589B侵权必究
粤ICP备2023148730 号-1Suppr @ 2026

文献检索

告别复杂PubMed语法,用中文像聊天一样搜索,搜遍4000万医学文献。AI智能推荐,让科研检索更轻松。

立即免费搜索

文件翻译

保留排版,准确专业,支持PDF/Word/PPT等文件格式,支持 12+语言互译。

免费翻译文档

深度研究

AI帮你快速写综述,25分钟生成高质量综述,智能提取关键信息,辅助科研写作。

立即免费体验

心包炎作为原发性血小板增多症的一种表现。

Pericarditis as a manifestation of essential thrombocythemia.

作者信息

Averback P, Moinuddin M

出版信息

Can Med Assoc J. 1977 Jul 23;117(2):154-6.

PMID:872012
原文链接:https://pmc.ncbi.nlm.nih.gov/articles/PMC1879711/
Abstract

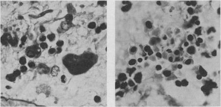
A 58-year-old woman presented with pericarditis and pericardial effusion. Investigation revealed that she was suffering from a thrombocythemic myeloproliferative disorder; she died of massive pulmonary embolism 10 days after admission. Histologic study verified epicardial and pericardial trilineage hematopoiesis. Pericarditis is an unusual feature of essential thrombocythemia and it may occur in direct relation to the abnormal cellular proliferation.

摘要

一名58岁女性因心包炎和心包积液就诊。检查发现她患有血小板增多性骨髓增殖性疾病;入院10天后死于大面积肺栓塞。组织学研究证实心外膜和心包存在三系造血。心包炎是原发性血小板增多症的一个不寻常特征,可能与异常细胞增殖直接相关。

https://cdn.ncbi.nlm.nih.gov/pmc/blobs/9c7c/1879711/59c21ba886d4/canmedaj01508-0055-c.jpg
https://cdn.ncbi.nlm.nih.gov/pmc/blobs/9c7c/1879711/d0230faedef6/canmedaj01508-0055-a.jpg
https://cdn.ncbi.nlm.nih.gov/pmc/blobs/9c7c/1879711/4b01c129f1cf/canmedaj01508-0055-b.jpg
https://cdn.ncbi.nlm.nih.gov/pmc/blobs/9c7c/1879711/59c21ba886d4/canmedaj01508-0055-c.jpg
https://cdn.ncbi.nlm.nih.gov/pmc/blobs/9c7c/1879711/d0230faedef6/canmedaj01508-0055-a.jpg
https://cdn.ncbi.nlm.nih.gov/pmc/blobs/9c7c/1879711/4b01c129f1cf/canmedaj01508-0055-b.jpg
https://cdn.ncbi.nlm.nih.gov/pmc/blobs/9c7c/1879711/59c21ba886d4/canmedaj01508-0055-c.jpg

相似文献

1
Pericarditis as a manifestation of essential thrombocythemia.心包炎作为原发性血小板增多症的一种表现。
Can Med Assoc J. 1977 Jul 23;117(2):154-6.
2
Pericardial synovial sarcoma mimicking pericarditis in findings of cardiac magnetic resonance imaging.心脏磁共振成像表现为类似心包炎的心包滑膜肉瘤
Int J Cardiol. 2007 Jun 12;118(3):e83-4. doi: 10.1016/j.ijcard.2007.01.029. Epub 2007 Mar 30.
3
[Recurrent autoreactive pericardial effusion. Impact of an aetiological classification of pericarditis].[复发性自身反应性心包积液。心包炎病因分类的影响]
Dtsch Med Wochenschr. 2006 Sep 29;131(39):2143-6. doi: 10.1055/s-2006-951342.
4
[Pericarditis caused by cholesterol. Apropos of a clinical case].
Rev Port Cardiol. 1989 Oct;8(10):715-9.
5
[A case of systemic sclerosis and Sjogren's syndrome with cardiac tamponade due to steroid-responsive pericarditis].[一例系统性硬化症合并干燥综合征伴类固醇反应性心包炎致心脏压塞]
Arerugi. 2006 Jul;55(7):827-31.
6
[A case of lung cancer (small cell carcinoma) occurring esophago-pericardial fistula and purulent pericarditis].[一例发生食管心包瘘和化脓性心包炎的肺癌(小细胞癌)]
Kyobu Geka. 1999 Oct;52(11):969-71.
7
[Toxoplasma pericarditis without immunosuppressant disorder detected by polymerase chain reaction of pericardial fluid: a case report].[通过心包液聚合酶链反应检测到无免疫抑制紊乱的弓形虫心包炎:病例报告]
J Cardiol. 2000 Jan;35(1):47-54.
8
[A case of myelodysplastic syndrome with pericarditis due to atypical Mycobacterium].
Nihon Kyobu Shikkan Gakkai Zasshi. 1994 Jan;32(1):101-5.
9
[Cholesterol pericarditis associated with rheumatoid arthritis].[与类风湿关节炎相关的胆固醇性心包炎]
Harefuah. 2001 Jan;140(1):10-2, 87.
10
[Megakaryocytic pseudomyelosis with severe thrombocytosis].[伴有严重血小板增多症的巨核细胞假性髓细胞化生]
Z Gesamte Inn Med. 1981 Oct 1;36(19):734-7.

引用本文的文献

1
Extramedullary haematopoiesis presenting with cardiac tamponade in a patient with polycythaemia vera.真性红细胞增多症患者出现心脏压塞的髓外造血。
BMJ Case Rep. 2017 Aug 10;2017:bcr-2017-221316. doi: 10.1136/bcr-2017-221316.
2
Spontaneous hemopericardium leading to cardiac tamponade in a patient with essential thrombocythemia.特发性血心包导致伴血小板增多症患者心脏压塞。
Cardiol Res Pract. 2011 Jan 18;2011:247814. doi: 10.4061/2011/247814.

本文引用的文献

1
Aleukemic Myelosis: Chronic Nonleukemic Myelosis, Agnogenic Myeloid Metaplasia, Osteosclerosis, Leuko-Erythroblastic Anemia, and Synonymous Designations.无白血病性骨髓组织增生:慢性非白血病性骨髓组织增生、原发性骨髓化生、骨硬化症、白红血细胞生成性贫血及同义命名。
Am J Pathol. 1947 May;23(3):327-65.
2
Extramedullary hemapoiesis; myeloid metaplasia.髓外造血;髓样化生。
Bull New Engl Med Cent. 1950 Aug;12(4):154-60.
3
Chronic marrow failure, myelosclerosis and extramedullary hematopoiesis.慢性骨髓衰竭、骨髓纤维化及髓外造血
Blood. 1950 Apr;5(4):329-47.
4
EXTRAMEDULLARY MYELOID TUMORS IN PRIMARY MYELOFIBROSIS.
Cancer. 1965 Jun;18:727-36. doi: 10.1002/1097-0142(196506)18:6<727::aid-cncr2820180610>3.0.co;2-8.
5
ROENTGEN MANIFESTATIONS OF THORACIC EXTRAMEDULLARY HEMATOPOIESIS.
Dis Chest. 1963 Aug;44:154-62. doi: 10.1378/chest.44.2.154.
6
Hemorrhagic thrombocythemia: a critical review.出血性血小板增多症:一篇批判性综述。
Blood. 1960 May;15:706-23.
7
Myelosclerosis with serosal myeloid metaplasia and fatal liver involvement.伴有浆膜髓外化生及致命性肝脏受累的骨髓纤维化。
Ann Intern Med. 1960 Nov;53:1075-88. doi: 10.7326/0003-4819-53-5-1075.
8
Spinal cord compression due to extramedullary hematopoiesis.髓外造血导致的脊髓压迫
Ann Intern Med. 1958 Feb;48(2):421-7. doi: 10.7326/0003-4819-48-2-421.
9
Myelonecrosis, extramedullary myelopoiesis, and leuko-erythroblastosis: a mesenchymal reaction to injury.脊髓坏死、髓外造血及幼稚粒-幼红细胞血象:一种对损伤的间充质反应。
Am J Pathol. 1953 Nov-Dec;29(6):1029-57.
10
Ascites in myeloid metaplasia due to ectopic peritoneal implantations.
Cancer. 1969 Jun;23(6):1408-12. doi: 10.1002/1097-0142(196906)23:6<1408::aid-cncr2820230623>3.0.co;2-f.