Suppr超能文献

原发性低丙种球蛋白血症时肠道的结节性淋巴组织增生:体内及体外淋巴细胞功能研究

Nodular lymphoid hyperplasia of the bowel in primary hypogammaglobulinaemia: study of in vivo and in vitro lymphocyte function.

作者信息

Webster A D, Kenwright S, Ballard J, Shiner M, Slavin G, Levi A J, Loewi G, Asherson G L

出版信息

Gut. 1977 May;18(5):364-72. doi: 10.1136/gut.18.5.364.

Abstract

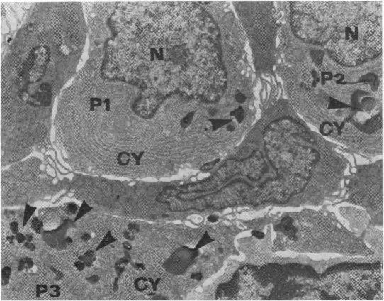
In vitro and in vivo lymphocyte function was studied in six patients with primary hypogammaglobulinaemia and nodular lymphoid hyperplasia (NLH) of the bowel. Lymphocyte transformation, numbers of circulating T and B lymphocytes, and delayed hypersensitivity skin tests did not significantly differ when compared with hypogammaglobulinaemic patients without NLH. However, patients with NLH had higher jejunal juice IgM concentrations and a tendency to higher serum IgM concentrations than those without NLH. The morphological features of NLH are similar to the germinal centres of lymph nodes but more closely resemble the follicle zone of Peyer's patches. These findings suggest that NLH represents a local immune response to antigens originating in the gut lumen.

摘要

对6例患有原发性低丙种球蛋白血症和肠道结节性淋巴组织增生(NLH)的患者进行了体外和体内淋巴细胞功能研究。与无NLH的低丙种球蛋白血症患者相比,淋巴细胞转化、循环T和B淋巴细胞数量以及迟发型超敏皮肤试验无显著差异。然而,与无NLH的患者相比,NLH患者的空肠液IgM浓度更高,血清IgM浓度也有升高趋势。NLH的形态学特征与淋巴结生发中心相似,但更类似于派伊尔结的滤泡区。这些发现表明,NLH代表了对源自肠腔抗原的局部免疫反应。

https://cdn.ncbi.nlm.nih.gov/pmc/blobs/b839/1411475/1f8c347f899e/gut00474-0043-a.jpg

文献检索

告别复杂PubMed语法,用中文像聊天一样搜索,搜遍4000万医学文献。AI智能推荐,让科研检索更轻松。

立即免费搜索

文件翻译

保留排版,准确专业,支持PDF/Word/PPT等文件格式,支持 12+语言互译。

免费翻译文档

深度研究

AI帮你快速写综述,25分钟生成高质量综述,智能提取关键信息,辅助科研写作。

立即免费体验