Suppr超能文献

锂相关性自身免疫性甲状腺炎

Lithium associated autoimmune thyroiditis.

作者信息

Shimizu M, Hirokawa M, Manabe T, Shimozuma K, Sonoo H, Harada T

机构信息

Department of Pathology, Kawasaki Medical School, Okayama, Japan.

出版信息

J Clin Pathol. 1997 Feb;50(2):172-4. doi: 10.1136/jcp.50.2.172.

Abstract

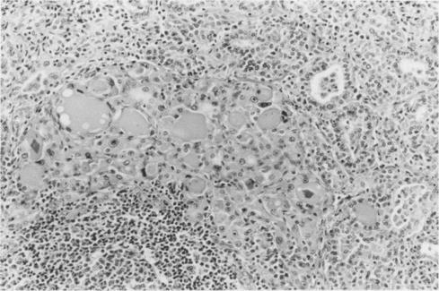
A case of autoimmune thyroiditis after long term treatment with lithium is described in a 29 year old Japanese woman with manic depression. Positive serum antithyroglobulin and antimicrosomal antibodies, diffuse goitre, and microscopic chronic thyroiditis, as well as the clinical history of long term lithium treatment were suggestive of lithium associated autoimmune thyroiditis. Microscopically, there was a mild degree of interstitial fibrosis and a moderate degree of lymphocytic infiltration. Some areas showed a moderate degree of stromal fibrosis and atrophic thyroid follicles. Lymphoid follicles with germinal centres, disrupted thyroid follicles with lymphocytic infiltration, and Hürthle cells were also observed. The differential diagnosis in patients presenting with these histological features includes painless (silent) thyroiditis, autoimmune thyroiditis and lithium associated autoimmune thyroiditis. A detailed clinical history is essential if the correct diagnosis is to be reached.

摘要

一名患有躁郁症的29岁日本女性,在长期接受锂治疗后出现了自身免疫性甲状腺炎。血清抗甲状腺球蛋白和抗微粒体抗体呈阳性、弥漫性甲状腺肿、显微镜下的慢性甲状腺炎以及长期锂治疗的临床病史提示为锂相关性自身免疫性甲状腺炎。显微镜下可见轻度间质纤维化和中度淋巴细胞浸润。部分区域显示中度间质纤维化和萎缩性甲状腺滤泡。还观察到有生发中心的淋巴滤泡、淋巴细胞浸润的破裂甲状腺滤泡以及许特莱细胞。具有这些组织学特征的患者的鉴别诊断包括无痛性(寂静性)甲状腺炎、自身免疫性甲状腺炎和锂相关性自身免疫性甲状腺炎。若要做出正确诊断,详细的临床病史至关重要。

https://cdn.ncbi.nlm.nih.gov/pmc/blobs/2e92/499749/30ad44d49079/jclinpath00251-0084-a.jpg

文献检索

告别复杂PubMed语法,用中文像聊天一样搜索,搜遍4000万医学文献。AI智能推荐,让科研检索更轻松。

立即免费搜索

文件翻译

保留排版,准确专业,支持PDF/Word/PPT等文件格式,支持 12+语言互译。

免费翻译文档

深度研究

AI帮你快速写综述,25分钟生成高质量综述,智能提取关键信息,辅助科研写作。

立即免费体验