• 文献检索
  • 文档翻译
  • 深度研究
  • 学术资讯
  • Suppr Zotero 插件Zotero 插件
  • 邀请有礼
  • 套餐&价格
  • 历史记录
应用&插件
Suppr Zotero 插件Zotero 插件浏览器插件Mac 客户端Windows 客户端微信小程序
定价
高级版会员购买积分包购买API积分包
服务
文献检索文档翻译深度研究API 文档MCP 服务
关于我们
关于 Suppr公司介绍联系我们用户协议隐私条款
关注我们

Suppr 超能文献

核心技术专利:CN118964589B侵权必究
粤ICP备2023148730 号-1Suppr @ 2026

文献检索

告别复杂PubMed语法,用中文像聊天一样搜索,搜遍4000万医学文献。AI智能推荐,让科研检索更轻松。

立即免费搜索

文件翻译

保留排版,准确专业,支持PDF/Word/PPT等文件格式,支持 12+语言互译。

免费翻译文档

深度研究

AI帮你快速写综述,25分钟生成高质量综述,智能提取关键信息,辅助科研写作。

立即免费体验

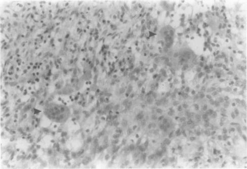
Giant cells in pigmented villo nodular synovitis express an osteoclast phenotype.

作者信息

Neale S D, Kristelly R, Gundle R, Quinn J M, Athanasou N A

机构信息

Department of Orthopaedics and Trauma, University of Adelaide, Australia.

出版信息

J Clin Pathol. 1997 Jul;50(7):605-8. doi: 10.1136/jcp.50.7.605.

DOI:10.1136/jcp.50.7.605
PMID:9306944
原文链接:https://pmc.ncbi.nlm.nih.gov/articles/PMC500074/
Abstract

AIM

To determine the cytochemical and functional phenotype of multinucleated giant cells in pigmented villo nodular synovitis (PVNS).

METHODS

Giant cells isolated from a patient with PVNS of the knee were assessed for a number of markers used to distinguish osteoclasts from macrophages/ macrophage polykaryons: evidence of tartrate resistant acid phosphatase (TRAP) activity; expression of CD11b, CD14, CD51, and calcitonin receptors; and the ability of the giant cells to carry out lacunar resorption.

RESULTS

Isolated giant cells expressed an osteoclast antigenic phenotype (positive for CD51, negative for CD11b and CD14) and were TRAP and calcitonin receptor positive. They also showed functional evidence of osteoclast differentiation, producing numerous lacunar bone resorption pits on bone slices in short term culture.

CONCLUSIONS

The giant cells in this case of PVNS express all the phenotypical features of osteoclasts including the ability to carry out lacunar resorption. This may account for the bone destruction associated with this aggressive synovial lesion.

摘要
https://cdn.ncbi.nlm.nih.gov/pmc/blobs/5e55/500074/7d6e06125233/jclinpath00256-0073-b.jpg
https://cdn.ncbi.nlm.nih.gov/pmc/blobs/5e55/500074/8f50d7d20be6/jclinpath00256-0072-a.jpg
https://cdn.ncbi.nlm.nih.gov/pmc/blobs/5e55/500074/17a0add0b45a/jclinpath00256-0072-b.jpg
https://cdn.ncbi.nlm.nih.gov/pmc/blobs/5e55/500074/e88c19213c31/jclinpath00256-0073-a.jpg
https://cdn.ncbi.nlm.nih.gov/pmc/blobs/5e55/500074/7d6e06125233/jclinpath00256-0073-b.jpg
https://cdn.ncbi.nlm.nih.gov/pmc/blobs/5e55/500074/8f50d7d20be6/jclinpath00256-0072-a.jpg
https://cdn.ncbi.nlm.nih.gov/pmc/blobs/5e55/500074/17a0add0b45a/jclinpath00256-0072-b.jpg
https://cdn.ncbi.nlm.nih.gov/pmc/blobs/5e55/500074/e88c19213c31/jclinpath00256-0073-a.jpg
https://cdn.ncbi.nlm.nih.gov/pmc/blobs/5e55/500074/7d6e06125233/jclinpath00256-0073-b.jpg

相似文献

1
Giant cells in pigmented villo nodular synovitis express an osteoclast phenotype.
J Clin Pathol. 1997 Jul;50(7):605-8. doi: 10.1136/jcp.50.7.605.
2
Osteoclast formation and function in pigmented villonodular synovitis.色素沉着绒毛结节性滑膜炎中破骨细胞的形成和功能。
J Pathol. 2011 Sep;225(1):151-6. doi: 10.1002/path.2937. Epub 2011 Jun 27.
3
Multinucleated cells in pigmented villonodular synovitis and giant cell tumor of tendon sheath express features of osteoclasts.色素沉着绒毛结节性滑膜炎和腱鞘巨细胞瘤中的多核细胞表达破骨细胞的特征。
Am J Pathol. 1997 Apr;150(4):1383-93.
4
Similarities between giant cell tumor of bone, giant cell tumor of tendon sheath, and pigmented villonodular synovitis concerning ultrastructural cytochemical features of multinucleated giant cells and mononuclear stromal cells.骨巨细胞瘤、腱鞘巨细胞瘤和色素沉着绒毛结节性滑膜炎在多核巨细胞和单核基质细胞超微结构细胞化学特征方面的相似性。
Ultrastruct Pathol. 2006 May-Jun;30(3):151-8. doi: 10.1080/01913120600689707.
5
Cell characterization of mononuclear and giant cells constituting pigmented villonodular synovitis.构成色素沉着绒毛结节性滑膜炎的单核细胞和巨细胞的细胞特征。
Hum Pathol. 2003 Jan;34(1):65-73. doi: 10.1053/hupa.2003.52.
6
CD14- mononuclear stromal cells support (CD14+) monocyte-osteoclast differentiation in aneurysmal bone cyst.CD14- 单核基质细胞支持动脉瘤样骨囊肿中(CD14+)单核细胞-破骨细胞分化。
Lab Invest. 2012 Apr;92(4):600-5. doi: 10.1038/labinvest.2012.5. Epub 2012 Feb 13.
7
The immunophenotype of osteoclasts and macrophage polykaryons.破骨细胞和巨噬细胞多核体的免疫表型。
J Clin Pathol. 2011 Aug;64(8):701-5. doi: 10.1136/jcp.2011.090852. Epub 2011 May 11.
8
Human osteoclast and giant cell differentiation: the apparent switch from nonspecific esterase to tartrate resistant acid phosphatase activity coincides with the in situ expression of osteopontin mRNA.人类破骨细胞和巨细胞分化:从非特异性酯酶到抗酒石酸酸性磷酸酶活性的明显转变与骨桥蛋白mRNA的原位表达相一致。
J Histochem Cytochem. 1995 Dec;43(12):1193-201. doi: 10.1177/43.12.8537635.
9
Bone resorption by macrophage polykaryons of giant cell tumour of tendon sheath.腱鞘巨细胞瘤中巨噬细胞多核体引起的骨吸收。
Br J Cancer. 1991 Apr;63(4):527-33. doi: 10.1038/bjc.1991.125.
10
Immunophenotypic distinction between pigmented villonodular synovitis and haemosiderotic synovitis.色素沉着绒毛结节性滑膜炎和含铁血黄素沉着滑膜炎的免疫表型鉴别。
J Clin Pathol. 2010 Jan;63(1):75-8. doi: 10.1136/jcp.2009.070342.

引用本文的文献

1
The value of morphology: osteoclast-like cells in soft tissue tumours.形态学的价值:软组织肿瘤中的破骨细胞样细胞
Pathol Oncol Res. 2025 Sep 12;31:1612175. doi: 10.3389/pore.2025.1612175. eCollection 2025.
2
Identification of potential diagnostic biomarkers for tenosynovial giant cell tumour by integrating microarray and single-cell RNA sequencing data.通过整合微阵列和单细胞 RNA 测序数据鉴定腱鞘巨细胞瘤的潜在诊断生物标志物。
J Orthop Surg Res. 2023 Nov 29;18(1):905. doi: 10.1186/s13018-023-04279-2.
3
Magnetic resonance imaging features of fibromas and giant cell tumors of the tendon sheath: differential diagnosis.

本文引用的文献

1
Human osteoclast formation and bone resorption by monocytes and synovial macrophages in rheumatoid arthritis.类风湿关节炎中单核细胞和滑膜巨噬细胞诱导的人破骨细胞形成及骨吸收
Ann Rheum Dis. 1996 Nov;55(11):816-22. doi: 10.1136/ard.55.11.816.
2
The human osteoclast precursor circulates in the monocyte fraction.人类破骨细胞前体在单核细胞部分中循环。
Endocrinology. 1996 Sep;137(9):4058-60. doi: 10.1210/endo.137.9.8756585.
3
Central giant cell granulomas of the jaws regress with calcitonin therapy.颌骨中心性巨细胞肉芽肿经降钙素治疗后可消退。
磁共振成像在腱鞘纤维瘤和腱鞘巨细胞瘤中的表现:鉴别诊断。
Eur Radiol. 2019 Jul;29(7):3441-3449. doi: 10.1007/s00330-019-06226-4. Epub 2019 Apr 30.
4
Evaluation of giant cell tumors by diffusion weighted imaging-fractional ADC analysis.弥散加权成像-分数 ADC 分析评价巨细胞瘤。
Skeletal Radiol. 2019 Nov;48(11):1765-1773. doi: 10.1007/s00256-019-03219-8. Epub 2019 Apr 19.
5
[CT imaging features of diffuse tenosynovial giant cell tumor of temporomandibular joint].[颞下颌关节弥漫性腱鞘巨细胞瘤的CT影像特征]
Hua Xi Kou Qiang Yi Xue Za Zhi. 2018 Jun 1;36(3):282-286. doi: 10.7518/hxkq.2018.03.010.
6
Surgical treatment for diffused-type giant cell tumor (pigmented villonodular synovitis) about the ankle joint.踝关节弥漫型巨细胞瘤(色素沉着绒毛结节性滑膜炎)的外科治疗
BMC Musculoskelet Disord. 2017 Nov 14;18(1):450. doi: 10.1186/s12891-017-1824-6.
7
Tenosynovial giant cell tumour (pigmented villonodular synovitis-)-like changes in periprosthetic interface membranes.人工关节周围界面膜中的腱鞘巨细胞瘤(色素沉着绒毛结节性滑膜炎样改变)
Virchows Arch. 2016 Feb;468(2):231-8. doi: 10.1007/s00428-015-1874-9. Epub 2015 Nov 9.
8
Paracrine-mediated differentiation and activation of human haematopoietic osteoclast precursor cells by skin and gingival fibroblasts.皮肤和牙龈成纤维细胞旁分泌介导的人造血破骨细胞前体细胞的分化和激活。
Cell Prolif. 2011 Jun;44(3):264-73. doi: 10.1111/j.1365-2184.2011.00751.x.
9
Intraarticular adalimumab in a patient with pigmented villonodular synovitis.关节内阿达木单抗治疗色素绒毛结节性滑膜炎患者。
Rheumatol Int. 2011 Feb;31(2):251-4. doi: 10.1007/s00296-009-1185-z. Epub 2009 Oct 10.
10
Mature and activated osteoclasts exist in the synovium of rapidly destructive coxarthrosis.成熟且活化的破骨细胞存在于快速破坏性髋关节病的滑膜中。
J Bone Miner Metab. 2007;25(6):354-60. doi: 10.1007/s00774-007-0761-0. Epub 2007 Oct 25.
Br J Oral Maxillofac Surg. 1993 Apr;31(2):89-94. doi: 10.1016/0266-4356(93)90168-v.
4
Pigmented villonodular synovitis. Monoclonality and metastasis--a case for neoplastic origin?
Acta Orthop Scand. 1995 Feb;66(1):64-8. doi: 10.3109/17453679508994643.
5
Bone acid phosphatase: tartrate-resistant acid phosphatase as a marker of osteoclast function.骨酸性磷酸酶:抗酒石酸酸性磷酸酶作为破骨细胞功能的标志物。
Calcif Tissue Int. 1982 May;34(3):285-90. doi: 10.1007/BF02411252.
6
Monoclonal antibodies to osteoclastomas (giant cell bone tumors): definition of osteoclast-specific cellular antigens.针对骨巨细胞瘤(巨细胞骨肿瘤)的单克隆抗体:破骨细胞特异性细胞抗原的定义
Cancer Res. 1985 Nov;45(11 Pt 2):5663-9.
7
Pigmented villonodular synovitis.
J Bone Joint Surg Am. 1987 Jul;69(6):942-9.
8
Abundant calcitonin receptors in isolated rat osteoclasts. Biochemical and autoradiographic characterization.分离的大鼠破骨细胞中存在丰富的降钙素受体。生化及放射自显影特征
J Clin Invest. 1986 Aug;78(2):355-60. doi: 10.1172/JCI112584.
9
The origin and nature of stromal osteoclast-like multinucleated giant cells in breast carcinoma: implications for tumour osteolysis and macrophage biology.乳腺癌中基质破骨细胞样多核巨细胞的起源与本质:对肿瘤骨溶解和巨噬细胞生物学的启示
Br J Cancer. 1989 Apr;59(4):491-8. doi: 10.1038/bjc.1989.102.
10
The multinucleate cells in giant cell granulomas of the jaw are osteoclasts.颌骨巨细胞肉芽肿中的多核细胞是破骨细胞。
Cancer. 1988 Sep 15;62(6):1139-45. doi: 10.1002/1097-0142(19880915)62:6<1139::aid-cncr2820620617>3.0.co;2-8.