Suppr超能文献

在小鼠中靶向删除PEX2过氧化物酶体组装基因,为人类神经元迁移障碍——泽尔韦格综合征提供了一个模型。

Targeted deletion of the PEX2 peroxisome assembly gene in mice provides a model for Zellweger syndrome, a human neuronal migration disorder.

作者信息

Faust P L, Hatten M E

机构信息

Laboratory of Developmental Neurobiology, The Rockefeller University, New York, New York 10021, USA.

出版信息

J Cell Biol. 1997 Dec 1;139(5):1293-305. doi: 10.1083/jcb.139.5.1293.

Abstract

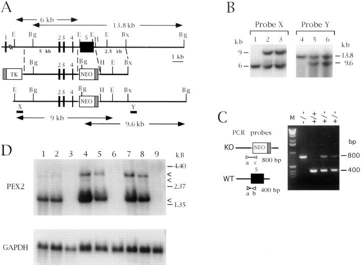
Zellweger syndrome is a peroxisomal biogenesis disorder that results in abnormal neuronal migration in the central nervous system and severe neurologic dysfunction. The pathogenesis of the multiple severe anomalies associated with the disorders of peroxisome biogenesis remains unknown. To study the relationship between lack of peroxisomal function and organ dysfunction, the PEX2 peroxisome assembly gene (formerly peroxisome assembly factor-1) was disrupted by gene targeting. Homozygous PEX2-deficient mice survive in utero but die several hours after birth. The mutant animals do not feed and are hypoactive and markedly hypotonic. The PEX2-deficient mice lack normal peroxisomes but do assemble empty peroxisome membrane ghosts. They display abnormal peroxisomal biochemical parameters, including accumulations of very long chain fatty acids in plasma and deficient erythrocyte plasmalogens. Abnormal lipid storage is evident in the adrenal cortex, with characteristic lamellar-lipid inclusions. In the central nervous system of newborn mutant mice there is disordered lamination in the cerebral cortex and an increased cell density in the underlying white matter, indicating an abnormality of neuronal migration. These findings demonstrate that mice with a PEX2 gene deletion have a peroxisomal disorder and provide an important model to study the role of peroxisomal function in the pathogenesis of this human disease.

摘要

泽韦格综合征是一种过氧化物酶体生物发生障碍疾病,可导致中枢神经系统中神经元迁移异常及严重的神经功能障碍。与过氧化物酶体生物发生障碍相关的多种严重异常的发病机制尚不清楚。为了研究过氧化物酶体功能缺失与器官功能障碍之间的关系,通过基因打靶破坏了PEX2过氧化物酶体组装基因(以前称为过氧化物酶体组装因子-1)。纯合PEX2缺陷小鼠在子宫内存活,但出生后数小时死亡。突变动物不进食,活动减少且明显张力减退。PEX2缺陷小鼠缺乏正常的过氧化物酶体,但确实组装了空的过氧化物酶体膜空壳。它们表现出过氧化物酶体生化参数异常,包括血浆中极长链脂肪酸的积累和红细胞缩醛磷脂的缺乏。肾上腺皮质出现明显的脂质储存异常,有特征性的板层状脂质包涵体。在新生突变小鼠的中枢神经系统中,大脑皮质出现分层紊乱,其下方白质中的细胞密度增加,表明神经元迁移异常。这些发现表明,PEX2基因缺失的小鼠患有过氧化物酶体疾病,并为研究过氧化物酶体功能在这种人类疾病发病机制中的作用提供了一个重要模型。

https://cdn.ncbi.nlm.nih.gov/pmc/blobs/d45b/2140200/3a0a04ca1c52/JCB.29324f1.jpg

文献检索

告别复杂PubMed语法,用中文像聊天一样搜索,搜遍4000万医学文献。AI智能推荐,让科研检索更轻松。

立即免费搜索

文件翻译

保留排版,准确专业,支持PDF/Word/PPT等文件格式,支持 12+语言互译。

免费翻译文档

深度研究

AI帮你快速写综述,25分钟生成高质量综述,智能提取关键信息,辅助科研写作。

立即免费体验