• 文献检索
  • 文档翻译
  • 深度研究
  • 学术资讯
  • Suppr Zotero 插件Zotero 插件
  • 邀请有礼
  • 套餐&价格
  • 历史记录
应用&插件
Suppr Zotero 插件Zotero 插件浏览器插件Mac 客户端Windows 客户端微信小程序
定价
高级版会员购买积分包购买API积分包
服务
文献检索文档翻译深度研究API 文档MCP 服务
关于我们
关于 Suppr公司介绍联系我们用户协议隐私条款
关注我们

Suppr 超能文献

核心技术专利:CN118964589B侵权必究
粤ICP备2023148730 号-1Suppr @ 2026

文献检索

告别复杂PubMed语法,用中文像聊天一样搜索,搜遍4000万医学文献。AI智能推荐,让科研检索更轻松。

立即免费搜索

文件翻译

保留排版,准确专业,支持PDF/Word/PPT等文件格式,支持 12+语言互译。

免费翻译文档

深度研究

AI帮你快速写综述,25分钟生成高质量综述,智能提取关键信息,辅助科研写作。

立即免费体验

组织学正常的乳腺组织中的基因异常克隆。

Genetically abnormal clones in histologically normal breast tissue.

作者信息

Larson P S, de las Morenas A, Cupples L A, Huang K, Rosenberg C L

机构信息

Cancer Research Center, Boston University School of Medicine, Massachusetts 02118, USA.

出版信息

Am J Pathol. 1998 Jun;152(6):1591-8.

PMID:9626062
原文链接:https://pmc.ncbi.nlm.nih.gov/articles/PMC1858443/
Abstract

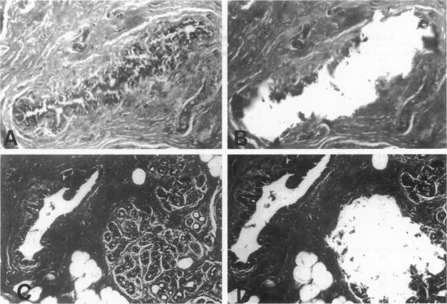
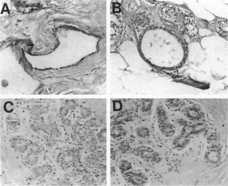
Breast cancer is believed to develop as multiple genetic abnormalities accumulate, each conferring some growth advantage, but the timing and nature of the earliest steps in this progression are not yet elucidated. Proliferative breast lesions, associated with an increased risk of breast cancer although considered benign, recently were shown to contain clonal genetic abnormalities. Therefore, we hypothesized that clonal genetic abnormalities might be detectable before any phenotypic abnormalities are evident, ie, in histologically normal breast tissue. We examined DNA extracted from 95 normal-appearing breast ducts or terminal ductal-lobular units from 20 individuals at varying degrees of risk (those undergoing reduction mammoplasties, those with atypical hyperplastic proliferative lesions, and those already diagnosed with breast cancer). Using nine microsatellite markers, we sought evidence of genetic instability or of allelic imbalance (most likely representing loss of heterozygosity). We found genetically abnormal clones in 21/95 (22%) seemingly normal samples from 10/20 (50%) women from all three risk groups. In women under age 50, trends toward increased rates of abnormalities were noted with increased cancer risk. The abnormalities identified were more likely to be at sites of known or postulated tumor suppressor genes rather than at random or neutral loci. Our data indicate that genetic abnormalities potentially critical to breast tumorigenesis accumulate before pathological detection even of high-risk lesions and are detectable in tissue that is not only histologically benign but also completely normal.

摘要

乳腺癌被认为是随着多种基因异常的积累而发展的,每一种异常都赋予一定的生长优势,但这一进程中最早步骤的时间和性质尚未阐明。增殖性乳腺病变虽被认为是良性的,但与乳腺癌风险增加相关,最近研究表明其含有克隆性基因异常。因此,我们推测在任何表型异常出现之前,即组织学正常的乳腺组织中,可能检测到克隆性基因异常。我们检测了来自20名处于不同风险程度个体(接受乳房缩小整形术者、有非典型增生性增殖性病变者以及已被诊断为乳腺癌者)的95个外观正常的乳腺导管或终末导管小叶单位提取的DNA。使用9个微卫星标记,我们寻找基因不稳定或等位基因失衡的证据(最可能代表杂合性缺失)。我们在来自所有三个风险组的10/20(50%)女性的21/95(22%)看似正常的样本中发现了基因异常克隆。在50岁以下女性中,随着癌症风险增加,异常率有上升趋势。所识别的异常更可能出现在已知或推测的肿瘤抑制基因位点,而非随机或中性位点。我们的数据表明,对乳腺肿瘤发生可能至关重要的基因异常在病理检测出高危病变之前就已积累,并且在不仅组织学上为良性而且完全正常的组织中也可检测到。

https://cdn.ncbi.nlm.nih.gov/pmc/blobs/b744/1858443/fc468804670b/amjpathol00018-0193-a.jpg
https://cdn.ncbi.nlm.nih.gov/pmc/blobs/b744/1858443/0f0a5ecf8832/amjpathol00018-0190-a.jpg
https://cdn.ncbi.nlm.nih.gov/pmc/blobs/b744/1858443/235a5ed91d27/amjpathol00018-0192-a.jpg
https://cdn.ncbi.nlm.nih.gov/pmc/blobs/b744/1858443/fc468804670b/amjpathol00018-0193-a.jpg
https://cdn.ncbi.nlm.nih.gov/pmc/blobs/b744/1858443/0f0a5ecf8832/amjpathol00018-0190-a.jpg
https://cdn.ncbi.nlm.nih.gov/pmc/blobs/b744/1858443/235a5ed91d27/amjpathol00018-0192-a.jpg
https://cdn.ncbi.nlm.nih.gov/pmc/blobs/b744/1858443/fc468804670b/amjpathol00018-0193-a.jpg

相似文献

1
Genetically abnormal clones in histologically normal breast tissue.组织学正常的乳腺组织中的基因异常克隆。
Am J Pathol. 1998 Jun;152(6):1591-8.
2
Loss of heterozygosity or allele imbalance in histologically normal breast epithelium is distinct from loss of heterozygosity or allele imbalance in co-existing carcinomas.组织学正常的乳腺上皮中的杂合性缺失或等位基因失衡与共存癌中的杂合性缺失或等位基因失衡不同。
Am J Pathol. 2002 Jul;161(1):283-90. doi: 10.1016/S0002-9440(10)64180-6.
3
Loss of heterozygosity in normal breast epithelial tissue and benign breast lesions in BRCA1/2 carriers with breast cancer.携带乳腺癌相关基因BRCA1/2的乳腺癌患者正常乳腺上皮组织和良性乳腺病变中的杂合性缺失
Cancer Genet Cytogenet. 2004 Feb;149(1):38-43. doi: 10.1016/S0165-4608(03)00282-6.
4
Loss of heterozygosity at 3p in benign lesions preceding invasive breast cancer.浸润性乳腺癌之前的良性病变中3p杂合性缺失
J Surg Res. 1999 May 1;83(1):13-8. doi: 10.1006/jsre.1998.5549.
5
Quantitative analysis of allele imbalance supports atypical ductal hyperplasia lesions as direct breast cancer precursors.等位基因不平衡的定量分析支持非典型导管增生性病变作为直接的乳腺癌前体。
J Pathol. 2006 Jul;209(3):307-16. doi: 10.1002/path.1973.
6
Microsatellite instability and loss of heterozygosity in primary and secondary proliferative lesions of the parathyroid gland.
Lab Invest. 1999 Sep;79(9):1051-8.
7
Allele imbalance, or loss of heterozygosity, in normal breast epithelium of sporadic breast cancer cases and BRCA1 gene mutation carriers is increased compared with reduction mammoplasty tissues.与乳房缩小成形术组织相比,散发性乳腺癌病例和BRCA1基因突变携带者的正常乳腺上皮中的等位基因失衡或杂合性缺失增加。
J Clin Oncol. 2005 Dec 1;23(34):8613-9. doi: 10.1200/JCO.2005.02.1451.
8
Timing of critical genetic changes in human breast disease.人类乳腺疾病关键基因变化的时间
Ann Surg Oncol. 2005 Dec;12(12):1054-60. doi: 10.1245/ASO.2005.03.522. Epub 2005 Oct 10.
9
Loss of heterozygosity and microsatellite instability in male breast cancer.男性乳腺癌中的杂合性缺失和微卫星不稳定性
Oncol Rep. 2002 Mar-Apr;9(2):417-21.
10
Genome-wide search for loss of heterozygosity using laser capture microdissected tissue of breast carcinoma: an implication for mutator phenotype and breast cancer pathogenesis.利用激光捕获显微切割的乳腺癌组织进行全基因组杂合性缺失检测:对突变体表型和乳腺癌发病机制的启示
Cancer Res. 2000 Jul 15;60(14):3884-92.

引用本文的文献

1
Mapping genomic and transcriptomic alterations spatially in epithelial cells adjacent to human breast carcinoma.在人类乳腺癌旁的上皮细胞中空间定位基因组和转录组的改变。
Nat Commun. 2017 Nov 1;8(1):1245. doi: 10.1038/s41467-017-01357-y.
2
DFNA5 promoter methylation a marker for breast tumorigenesis.DFNA5基因启动子甲基化是乳腺肿瘤发生的一个标志物。
Oncotarget. 2017 May 9;8(19):31948-31958. doi: 10.18632/oncotarget.16654.
3
Genomic Changes in Normal Breast Tissue in Women at Normal Risk or at High Risk for Breast Cancer.正常风险或高风险乳腺癌女性正常乳腺组织中的基因组变化。

本文引用的文献

1
Loss of heterozygosity and microsatellite instability in breast hyperplasia. No obligate correlation of these genetic alterations with subsequent malignancy.乳腺增生中的杂合性缺失和微卫星不稳定性。这些基因改变与后续恶性肿瘤之间不存在必然关联。
Am J Pathol. 1997 Jun;150(6):1925-32.
2
Microsatellite alterations indicating monoclonality in atypical hyperplasias associated with breast cancer.微卫星改变表明与乳腺癌相关的非典型增生中的单克隆性。
Hum Pathol. 1997 Feb;28(2):214-9. doi: 10.1016/s0046-8177(97)90109-x.
3
The TSG101 tumor susceptibility gene is located in chromosome 11 band p15 and is mutated in human breast cancer.
Breast Cancer (Auckl). 2016 Aug 17;10:109-46. doi: 10.4137/BCBCR.S39384. eCollection 2016.
4
Molecular Portrait of the Normal Human Breast Tissue and Its Influence on Breast Carcinogenesis.正常人类乳腺组织的分子图谱及其对乳腺癌发生的影响。
J Breast Cancer. 2016 Jun;19(2):99-111. doi: 10.4048/jbc.2016.19.2.99. Epub 2016 Jun 24.
5
Computational Cancer Biology: An Evolutionary Perspective.计算癌症生物学:进化视角
PLoS Comput Biol. 2016 Feb 4;12(2):e1004717. doi: 10.1371/journal.pcbi.1004717. eCollection 2016 Feb.
6
Spontaneous slow replication fork progression elicits mitosis alterations in homologous recombination-deficient mammalian cells.自发的慢复制叉进展会引起同源重组缺陷的哺乳动物细胞有丝分裂的改变。
Proc Natl Acad Sci U S A. 2014 Jan 14;111(2):763-8. doi: 10.1073/pnas.1311520111. Epub 2013 Dec 17.
7
Nuclear nano-morphology markers of histologically normal cells detect the "field effect" of breast cancer.组织学正常细胞的核纳米形态标志物可检测乳腺癌的“场效应”。
Breast Cancer Res Treat. 2012 Aug;135(1):115-24. doi: 10.1007/s10549-012-2125-2. Epub 2012 Jun 16.
8
Novel molecular markers of malignancy in histologically normal and benign breast.组织学正常及良性乳腺中恶性肿瘤的新型分子标志物
Patholog Res Int. 2011;2011:489064. doi: 10.4061/2011/489064. Epub 2011 Jul 10.
9
AKT1/BRCA1 in the control of homologous recombination and genetic stability: the missing link between hereditary and sporadic breast cancers.AKT1/BRCA1对同源重组和遗传稳定性的调控:遗传性和散发性乳腺癌之间缺失的环节
Oncotarget. 2010 Dec;1(8):691-699. doi: 10.18632/oncotarget.203.
10
Gene expression profiles of estrogen receptor-positive and estrogen receptor-negative breast cancers are detectable in histologically normal breast epithelium.雌激素受体阳性和雌激素受体阴性乳腺癌的基因表达谱可在组织学上正常的乳腺上皮中检测到。
Clin Cancer Res. 2011 Jan 15;17(2):236-46. doi: 10.1158/1078-0432.CCR-10-1369. Epub 2010 Nov 8.
Cell. 1997 Jan 10;88(1):143-54. doi: 10.1016/s0092-8674(00)81866-8.
4
Loss of heterozygosity in human breast carcinomas in the ataxia telangiectasia, Cowden disease and BRCA1 gene regions.人类乳腺癌中共济失调毛细血管扩张症、考登病和BRCA1基因区域杂合性缺失。
Oncogene. 1997 Jan 23;14(3):339-47. doi: 10.1038/sj.onc.1200818.
5
Field cancerisation and polyclonal p53 mutation in the upper aero-digestive tract.上呼吸消化道的场癌化与多克隆p53突变
Oncogene. 1997 Jan 16;14(2):163-9. doi: 10.1038/sj.onc.1200812.
6
Analysis of loss of heterozygosity on chromosome 11q13 in atypical ductal hyperplasia and in situ carcinoma of the breast.乳腺非典型导管增生及原位癌中11q13染色体杂合性缺失的分析。
Am J Pathol. 1997 Jan;150(1):297-303.
7
Deletion map of chromosome 16q in ductal carcinoma in situ of the breast: refining a putative tumor suppressor gene region.乳腺导管原位癌中16号染色体长臂的缺失图谱:细化一个假定的肿瘤抑制基因区域。
Cancer Res. 1996 Dec 15;56(24):5605-9.
8
Loss of heterozygosity in normal tissue adjacent to breast carcinomas.乳腺癌旁正常组织中的杂合性缺失
Science. 1996 Dec 20;274(5295):2057-9. doi: 10.1126/science.274.5295.2057.
9
Microsatellite instability in sporadic human breast cancers.散发性人类乳腺癌中的微卫星不稳定性
Int J Cancer. 1996 Nov 15;68(4):447-51. doi: 10.1002/(SICI)1097-0215(19961115)68:4<447::AID-IJC8>3.0.CO;2-0.
10
Frequent clones of p53-mutated keratinocytes in normal human skin.正常人皮肤中p53突变角质形成细胞的频繁克隆。
Proc Natl Acad Sci U S A. 1996 Nov 26;93(24):14025-9. doi: 10.1073/pnas.93.24.14025.